众所周知,肾脏在人体生理机能中有十分重要的功能,肾脏血流灌注在此过程中起着关键作用。为此,河北医科大学第四医院重症医学科副主任刘丽霞教授在河北省医师协会重症医学医师分会2022学术会议上,进行了“肾脏血流动力学监测实施路径”的主题分享,本文将对刘教授的报告内容进行梳理。

一 、 肾脏血流的重要性
刘教授在报告伊始指出,肾功能很重要,如果肾功能不好,肾脏排水则会减少,最终导致液体过负荷。肾脏如果对电解质的调节出现问题,会出现酸碱代谢紊乱,导致内环境失衡,这些是ICU中比较常见的临床问题。肾功能不好时,可能还会导致免疫功能抑制。因此,肾功能不好的患者更容易出现感染,甚至导致脓毒症的发生。当急性肾损伤(AKI)出现时,会导致患者生活质量进一步下降。即使患者出现短暂性AKI,出院以后完全恢复,但发生慢性肾脏病、终末期肾脏病和病死的风险仍然很高。
肾功能之所以重要,与肾脏血流灌注密切相关。 实际上,所有器官的血流动力学都与器官功能密切相关,肾脏尤为特殊,原因在于肾脏本身会将人体水电解质代谢产物进行调节。肾脏血流足够多,才能够对这些物质进行有效调整。
二 、 肾脏组织结构评估
结构是功能的基础,刘教授提出,肾脏组织结构评估内容包括2个基本切面、3个周径、3个内测量、1个回声以及肾囊肿等其他情况。在探头的选择上,肾脏超声检查一般选用低频凸阵探头。但针对皮下肾移植的患者,使用此类相对低频的探头则观察不够清晰,此时可以选择一些高频探头。对于血流评估,还要看超声探头是否能够识别肾脏中相对低流速的血流。
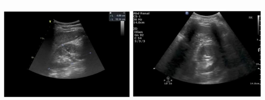
1.2个基本切面
包括最大的长轴(冠状)切面与短轴(水平)切面。
长轴切面超声图(左)、短轴切面超声图(右)
2.3个周径
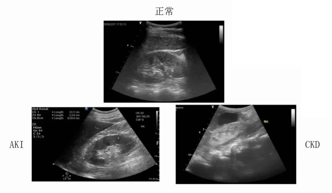
通过评估肾脏周径,可以有效监测肾脏功能。正常情况下,肾脏长10~12 cm,宽5~6 cm,厚3~4 cm。
肾脏正常大小超声图
3.3个内测量
评估内测量与评估周径作用相似,包括肾实质厚度(1~2 cm,通常1.5 cm)、肾皮质厚度(8~10 mm)、管状液暗区内径(<1 cm)、肾窦大小(约占肾脏的1/2~2/3)。
4.1个回声
正常情况下,肾脏回声应低于其周围组织(肝脏和脾脏)回声。 脾脏回声高于肝脏,因此,应以肝脏为参照。
肾脏正常回声与异常情况回声图
三、肾脏血流评估
刘教授认为,结构是功能的基础,血流灌注则是器官功能的保障。肾脏血流评估主要包括动脉、静脉、微循环这三方面,在本次报告中,刘教授主要介绍了动脉的血流评估。
1.肾脏灌注对压力依赖
肾脏灌注对压力变化较其他器官更为敏感,因为肾脏微循环系统负责滤过,需要较高压力。在前向灌注压力上,其他器官大约在10~15 mmHg(1 mmHg=0.133 kPa),肾脏则在60 mmHg左右。因此,如果想形成有效的灌注压力,平均动脉压应该>60 mmHg。在脓毒症治疗上,初始的压力选择就要>65 mmHg。
另外,一些高血压的患者平时血压较高,肾脏内皮细胞血流冲击则较高,因此需要相对较高的灌注压力。高血压患者的肾脏内皮细胞相较于其他普通人,受损可能性更大。当出现血流波动时,高血压患者更容易发生肾功能下降,需要临床额外关注。除了高血压患者,糖尿病患者肾脏毛细血管受损的概率也较高,因此也可能会导致对前向灌注压力有更多依赖。
中心静脉压(CVP)可作为肾脏回流的后向阻力,CVP增高,则回流出现阻碍,则可能出现瘀滞。
2.肾脏受神经内分泌影响较多
肾脏本身是有优秀的血流自我调节能力的器官,与大脑、心脏、脊髓水平相当。但肾脏血管上分布了大量的α受体,在应激因素作用下,α受体被激活,肾血管收缩,导致肾血流量减少。
3.肾动脉超声评估
评估患者是否发生肾血管收缩,首先要进行肾动脉超声评估。肾血流灌注半定量分级采用4级法。
(1)0级:未检测到肾脏血管。
(2)1级:肾门可见少许血管。
(3)2级:可见肾门及大部分肾实质内的叶间动脉。
(4)3级:可见肾血管至弓状动脉水平。

肾脏血流灌注的半定量评估手段
针对ICU患者,观察肾内叶间动脉十分重要,因为它负责支配远端微循环的血管。正常肾动脉血流频谱应为低阻型,表现为收缩早期频谱上升陡直,后缓慢下降, 其正常肾脏动脉阻力指数(RRI)应在0.58(±0.05)~0.64(±0.04)。 异常肾动脉血流频谱主要包括高阻血流、小慢波。
RRI在临床应用时,可以反映病理生理机制、识别病因、帮助制定治疗策略。 RRI的影响因素有很多,其中血管顺应性是影响肾血管阻力的关键因素。
肾内小慢波较为少见,因为肾脏本身有非常好的自我调节能力,当灌注减少,肾血管首先会收缩。因此,虽然血量减少,但血管内径更细,血液流速反而可能增快。高阻波表现为肾舒张期血流速度明显降低,峰值速度根据血流量呈现降低或增多的改变。
肾动脉血流频谱不同波形超声图
刘教授介绍,RRI在临床上除了用来预测患者预后,还常用来滴定血压。
4.肾静脉超声评估
肾静脉超声评估非常重要,能够反映肾静脉回流的状态。CVP是肾脏回流的阻力,CVP如果超过8 mmHg,肾脏回流会出现瘀滞。刘教授指出,在临床中,很多患者CVP<8 mmHg时,也发生了瘀滞。在这种情况下,要进一步评估肾脏回流。肾静脉波形能够反映肾静脉瘀滞的程度及其可能机制。
四、重症超声指导下的AKI评估流程
刘教授介绍,A、B、C、D分别代表AKI的诊断以及AKI发生和进展的高危因素、二维超声、彩色多普勒血流成像、动静脉血流波形和相应的RRI与VII【(峰值流速-舒张末期流速)/峰值流速】。E代表Evaluation,方法采用增强超声造影/弹性成像,无论在流程的哪一步,均要进行相关评估,如果条件具备,可以选择肾脏超声造影和肾脏弹性成像来进一步评估。通过践行A(KI)BCDE流程,可以对患者情况有更清晰和深层次的理解。
CCUSG-A(KI)BCDE流程图
五 、 小结
AKI发病率高、预后差,肾脏血流动力学在其中起到关键作用,建议应用基于AKI病理生理机制为基础的肾脏血流动力学评估流程——CCUSG-A(KI)BCDE流程进行有效监测和评估。
审稿丨河北医科大学第四医院刘丽霞
采排丨杨怡宁