现在,40~50多岁的一代年轻的时候,“阴道”这个词很少在公共场合说话。 那是一个既没有骨盆底这个概念,也没有记住手指区域的接触方法和按摩方法的时代。 研究已经进步,健康信息也传播开来,能实践的人也增加了。
但是,预防疾病的基础只有医疗。 没有检查是不可能的。 积极检查妇科,毫不畏惧地登上内诊台的人,才能保护未来的健康。 这次,关于保持子宫、卵巢、阴道周围健康的“检查”,我们请教了妇产科医生对马吕利子和八田真理子。

如果你是40岁或以上的人,你应该做哪些最低限度的检查?
为了保持子宫、卵巢、阴道周围的健康,重要的是能注意到包括阴道周围在内的异常情况的必须进行仔细的 "检查"。 也要事先确认一下进行的“健康诊断”选项和综合性健康检查是否有以下项目。 另外,要找到经常就诊的医生,首先,利用子宫癌检查也许也不错。
【一年一次的检查】
●内诊和经阴道超声检查(超声检查):从阴道到子宫的触诊和图像,子宫内膜的厚度和卵巢。 当然,卵巢不能被触摸到,但肿胀可以通过图像来确认。 阴道周围的异常情况也在这个时候被检查出来。
●宫颈癌筛查:宫颈细胞学检查+HPV (人乳头瘤病毒)检查。 虽然也可以进行集体体检等,但如果是自己采集宫颈组织提交给检查机构的方法,误诊率会很高。
●子宫癌筛查:子宫内膜的细胞学检查,可与HPV检测同时进行。 如果你每年做一次超声检查,你可以不做。
【40多岁以后的话最低限度想考! 检查清单】
□子宫癌检查(颈部内膜的内诊和细胞诊) *1
□阴道超声(回声)检查(子宫和卵巢检查) *2
□ HPV检查(调查宫颈癌原因HPV的细胞诊断) *3
□乳房x线摄片(乳房专用检查)
□乳腺超声(回声)检查(有利于发现高浓度乳腺的癌症)
□乳房触诊(医生通过触诊确认乳房异常)
□ 血细胞计数(验血检查贫血、免疫力等)。
□生化检查(血常规检查肝功能、肾功能、血脂、糖等)
□甲状腺功能(调查女性多甲状腺功能异常的血液检查)
□抗核抗体(血液检查,调查有无女性多的胶原病的原因)
□类风湿因子(血液检查,调查有无类风湿性关节炎的原因)
□炎症反应(血液检查,调查有无感染或组织炎症)
□ 荷尔蒙检查(验血检查女性荷尔蒙水平是否平衡)。
□骨密度(调查骨质疏松症风险的检查)
□压力检查(血液检查,调查抑郁倾向和压力程度)
□更年期指数(调查更年期症状程度的问诊票填写)
标有星号(*)的项目专门涉及子宫、卵巢和阴道区域。

习惯吧,跟医生说说! 妇科内诊和超声检查
许多人仍然*制抵**妇科医生的内部检查表,无论建议进行多少次检查和视察。 但说实话,这是你习惯的事情。 如果你是第一次去诊所,你会很紧张,但如果它成为你的家庭医生,你一定会在做检查时与医生交谈并一起看图像。 现在,内部检查表已经变成了一个非常开放的形象。
●内诊是用手指触诊
医生将手指插入阴道以检查病情。 如果妇女从未发生过*行为性**,可以从肛门或肚子上进行检查。
● 卵巢也可以通过经阴道超声检查。
卵巢是通过经阴道超声图像确认的。 一个棍状探针(大约拇指大小)被插入阴道进行检查。

世界卫生组织在新的报告中,对世界各国的医疗体系进行了综合比较。
日本因为“高品质的医疗服务”和“医疗负担的平等程度”、“国民平均寿命高”等原因再次蝉联一位。
这个排名,很大程度取决于日本完善的“精密体检”体系。
日本精密体检

什么是日本精密体检?
日本精密体检(人間ドックNigenDock)是指以不管有无自觉症状,定期地通过CT,MRI,超声波等精密仪器,对身体各部位进行的一种精密检查。主要目的是为了检查癌症,其次是各种生活习惯病。它是一项对自我近期健康度检测的重要标准。
检查对象主要分胃、肝脏、肺、肠、心脏、血压、糖尿病、前列腺、甲状腺、子宫、乳房、卵巢等、检查项目多种多样。部分项目的检查需要前一天晚上开始控制饮食,具体内容需要与医院事先确认。精密体检Ningen Dock是日本最标准的癌症检查手段,每年大约有200多万人接受检查。

精密体检为什么去日本
1、彻底排除筛查癌症,以及可能危及生命的重大疾病,如脑血管、心血管、糖尿病等让客户了解自己的健康状况。
2、通过早发现早治疗,挽救生命。就现在世界医疗水平来说,早期治疗是挽救癌症病人生命的关键。而早期治疗必须建立在早期发现的基础上。日本30年成功防癌的经验告诉我们,定期专业的癌症检查是人类现今抵御癌症的最佳方法。
3、最后也是最重要的,日本对早初期癌细胞检测能力世界第一,日本开创了精密防癌检查新时代,日本是全世界癌症防治最先进的国家。在日本进行国际最尖端的早期防癌健康检查,能发现和筛查已知的300多种癌症,能最大程度给生命以保障。

日本精密体检项目

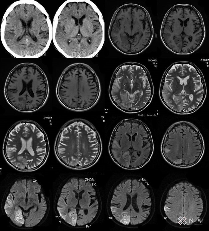
头颅mr影像
脑精密检查:头部MRI・MRA、颈部MRA,可发现造成蛛网膜下腔出血原因的动脉瘤,检查是否有较小的脑梗塞病灶,通过磁场产生图像,人体不会受到放射线的辐射。颈动脉超声波检查,可以发现动脉硬化的进展及管壁的肥厚和狭窄的情况。

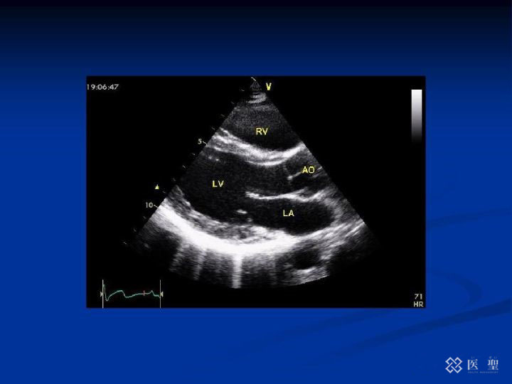
心脏超声波影像
心脏精密检查:心脏超声波检查,通过超声波观察心脏活动的检查;颈动脉超声波检查进行颈动脉成像的检查;PWV(脉搏波传播速度)检查传播到动脉的脉搏波的速度;BNP是从心脏分泌出的一种激素,心脏负担加重时呈高值,可以找出心电图检查无法查到的心脏疾病。

PET-CT
肺部精密检查:痰液细胞学检查、胸部CT检查、PET-CT,主要目的是早期肺癌的发现。
肝脏精密检查:除常规测定的肝胆道分泌的酶之外,还进行纤维化标志物、有关免疫等的检查,本项精密检查除以上多种血液检查之外,还检测肝脏的硬度。
胰腺精密检查:通过MRI检查可拍摄到胰腺分泌的消化液在主胰管中的流动状况。有肿瘤的话,大多就会引起胰管的变化,若主胰管变窄或显示扩张,就需要做进一步的精密检查。

大肠精密检查:大肠内窥镜检查,是从肛门插入内窥镜,直接观察大肠粘膜,为当前诊断早期大肠癌最可信赖的检查法。不单是大肠癌,也是发现溃疡和息肉的有效检查。
妇科精密检查:宫体部内膜细胞学检查,刮片检查就是用采集细胞的器具插入子宫深处取出细胞进行检查;乳房精密检查(外科诊察、乳腺钼靶、乳房超声波检查),使用X光的乳腺钼靶与乳房超声波检查,发现触诊难以发现的小乳癌灶。
骨骼精密检查:骨盐定量检查、骨代谢标志物,目的就是测定骨骼中钙含量,起到预防骨质疏松症的作用,并且,测定骨骼代谢标志物,掌握目前骨骼的代谢状况,一旦患上骨质疏松症时则可对症选择合适的治疗方案。

据日本国立癌症研究中心发布的《2008-2009年5年生存率结果》显示,日本在10年前的整体癌症5年生存率,就达到了65.8%,这个数据即便在全球范围也十分卓越。
长期以来,日本的医疗机构秉持 “提供高质量医疗服务”、“尊重客户的尊严和隐私”、“给予客户充分、清楚的说明”、“尊重客户选择的自由”以及“守护客户健康生活”的五大理念,给予客户更好的就医体验。
发现问题后, 还可以快速集合院内各科室专家进行会诊,跟进客户后续治疗,让客户全程无后顾之忧。
关注我们,带你了解更多干细胞再生前沿资讯,私信获取更多信息。
ISEI HEALTH
