病例资料:
患者韩XX,女性,43岁。主因间断性头痛、头晕5年,加重伴抽搐2天入院。既往“癫痫”病史35年,长期口服“丙戊酸钠、卡马西平”控制。无“高血压、糖尿病及冠心病”史。查体:Bp144/78mmHg 神清,语利。双瞳孔正大等圆,对光反射灵敏。四肢肌力5级,肌张力正常。双侧肱二、三头肌腱反射(++),双侧跟膝腱反射(++),双侧Babinski's征(-)。
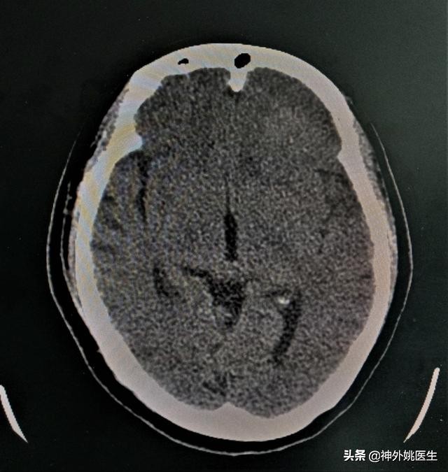
头CT检查:左额部占位,考虑脑膜瘤。(图1、2)

图1 左额部可见类圆形等密度影,大小约3.6cm x 3.9cm。

图2 左前颅底骨质凹凸不平,未见骨质明显破坏。
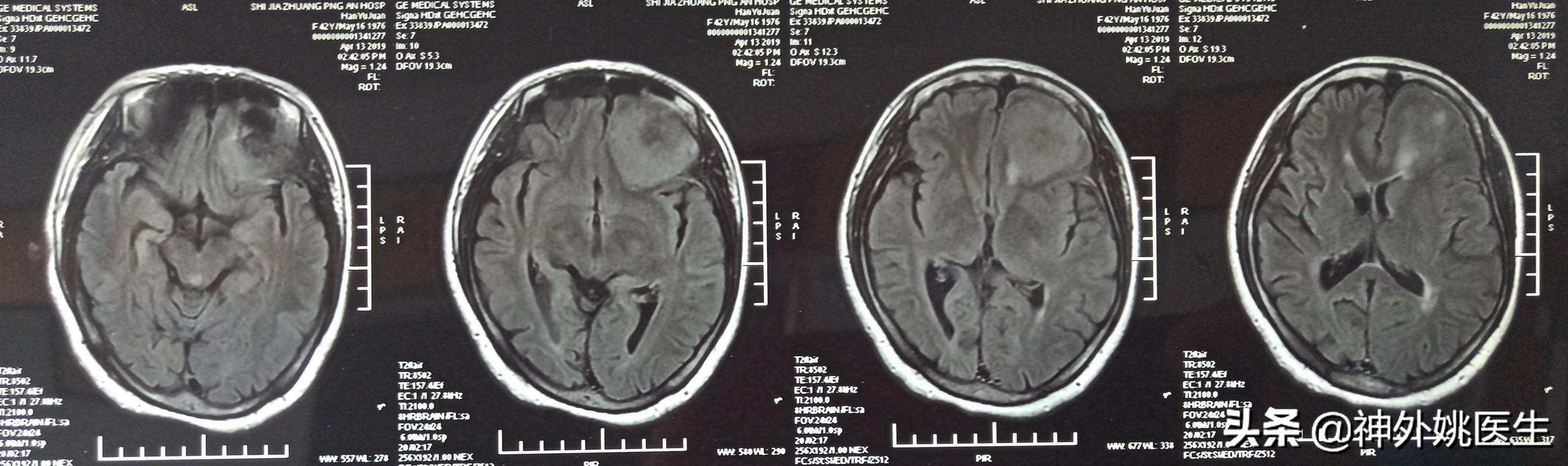
头MRI检查:1、左额部脑膜瘤。2、左侧放射冠区腔隙性脑梗死。(图3-7)

图3 T1像病变呈稍长T1信号。

图4 T1像病变呈稍长T2信号。

图5 T2Flair像病变呈稍高T2信号。

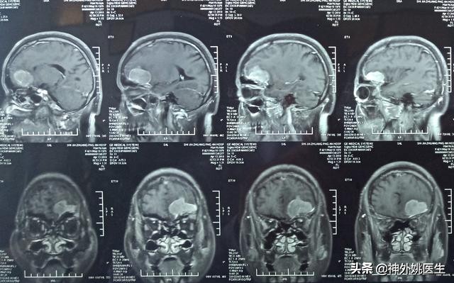
图6 增强扫描可见病变呈不均匀强化。

图7 病变基底位于颅底硬膜,可见脑膜尾征,病变大小约3.8cm x 4.1cm x 2.9cm。
入院诊断:
1、左额部前颅底脑膜瘤
2、左侧放射冠区腔隙性脑梗死
3、癫痫
治疗策略:
显微镜下行脑膜瘤切除术
手术过程:
1、额外侧入路,显露肿瘤。(图8)

图8 肿瘤位于右额下,与脑组织分界清楚(红色箭头所示),血运丰富(特殊处理)。
3、切断肿瘤基底,阻断肿瘤血供:(图9)

图9
4、分块切除肿瘤:(图10)

图10
5、进一步电灼处理颅底硬膜。(图11)

图11
6、肿瘤全部切除:(图12)

图12
术后病理:
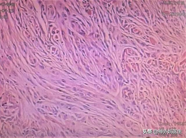
脑膜瘤。免疫组化:GFAP(-),S-100(+),Ki-67(热点区8%+),Vimentin(+),EMA(+),CD34(血管+),支持脑膜瘤(WHO I级),部分区域增生活跃。(图13、14)

图13 HE染色

图14 免疫组化
术后复查:(图15)

图15