鍖椾含鍗忓拰鍖婚櫌濡囩鍚戦槼鏁欐巿 (鍖椾含鍗忓拰鍖荤敓鍚戦槼璁插瓙瀹唴鑶滅檶)

《少见妇科恶性肿瘤》

原著:Marcela G.del Carmen 等

主译:向阳

2018

4月

11日

宜:买买买

当当

扫码购买

¥ 70.3

内 容 简 介

本书原著由哈佛医学院麻省总医院等机构的28位妇科肿瘤专家结合多年临床经验及最新文献编写而成。根据肿瘤发生部位分别介绍了卵巢、子宫、子宫颈、外阴、阴道的少见恶性肿瘤,每种疾病从流行病学、病理特征、发病机制、临床表现、诊断、治疗前评估、治疗方案、随访等多个方面进行了系统阐述,并特意对每种疾病进行总结。本书提供了大量的组织病理学图片,介绍了对于疾病评估十分重要的影像学方法和近年来取得明显进展的肿瘤分子生物学,书末附有妇科肿瘤相关名词英汉对照。

编 辑 推 荐

☆ 原著由哈佛医学院麻省总医院、哈佛大学布莱根妇女医院、约翰·霍普金斯医院等28位妇科肿瘤专家编写而成

☆ 由北京协和医院、北京大学人民医院、上海交通大学附属仁济医院、四川省肿瘤医院等30位专家翻译而成

根据 肿瘤发生部位系统阐述,并对每种疾病进行总结

☆ 大量的组织病理学图片和影像学方法

肿瘤分子生物学等最新进展

主译简介

向阳,中国医学科学院中国协和医科大学北京协和医院妇产科学系副主任、教授、博士研究生导师、首批协和学者特聘教授。担任国际滋养细胞肿瘤学会执行主席,中华医学会妇科肿瘤分会副主任委员等。主要致力于妇科肿瘤的临床及基础研究。2006年获得国家科技进步二等奖,2016年获得北京市医学科技奖一等奖,2017年获得华夏医学科技奖二等奖。于2004年获得由人事部等七部委授予的“首批新世纪百千万人才工程国家级人选”称号,并享受国务院政府特殊津贴。在国内外学术刊物共发表论文400余篇,其中SCI收录70余篇。主编主译多部专著,参与编写医学著作数十部,并著有多部科普图书。

……

……

精 彩 文 摘

……

……

……

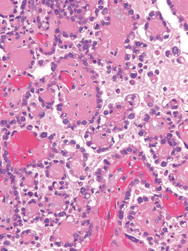
彩图4-2 卵巢透明细胞癌呈现典型管状囊性结构

彩图4-3 卵巢透明细胞癌

乳头状结构中基质玻璃样变是许多透明细胞癌乳头中的典型特征

彩图4-4 典型混合细胞类型卵巢透明细胞癌,少量管状囊性结构(右上)与大量含透明细胞质的细胞结节样生长共存(左下)

……

……

目 录

第一部分 总则

第1章 妇科肿瘤的分子靶标 3

第2章 少见类型妇科肿瘤的影像学表现 21

第3章 少见妇科肿瘤的病理概述 36

第二部分 少见卵巢恶性肿瘤

第4章 卵巢透明细胞癌 51

第5章 黏液性上皮性卵巢癌 63

第6章 腹膜假黏液瘤 71

第7章 卵巢鳞状细胞癌 82

第8章 子宫内膜异位症相关的卵巢癌 96

第9章 卵巢癌肉瘤 113

第10章 卵巢恶性生殖细胞肿瘤 125

第11章 卵巢恶性性索间质肿瘤 138

第12章 卵巢小细胞和神经内分泌癌 146

第13章 卵巢类癌 155

第三部分 少见子宫恶性肿瘤

第14章 子宫癌肉瘤 165

第15章 子宫平滑肌肉瘤 174

第16章 子宫体黏液肿瘤 188

第17章 子宫透明细胞癌 196

第18章 子宫浆液性癌诊疗进展 206

第19章 子宫内膜间质肉瘤 217

第四部分 少见子宫颈、外阴、阴道恶性肿瘤

第20章 宫颈的小细胞神经内分泌癌 233

第21章 阴道和外阴原发性恶性黑色素瘤 242

第22章 外阴和阴道肉瘤 251

第23章 妊娠滋养细胞疾病 259

附录 妇科肿瘤相关名词英汉对照 275

彩图 281

科学出版社赛医学(sci_med)

科学出版社医药卫生分社订阅号