

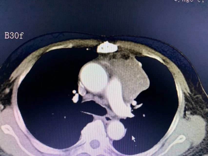
一位来自印尼患者,冠脉搭桥手术后患胸腺癌不适宜再手术,半年前已在我院行冷冻消融治疗,效果非常好。这次复查还有少许肿瘤残留,再次行冷冻消融治疗。





对不适宜手术的胸腺肿瘤,冷冻消融是一个非常好的选择。目前国际上发表的相关临床论文有四篇,分别是美国(25例)、日本(个案)、中国台湾(个案)、及中国!至今我院已经完成50多例的胸腺肿瘤冷冻消融,是国际上经验最多的医院之一。


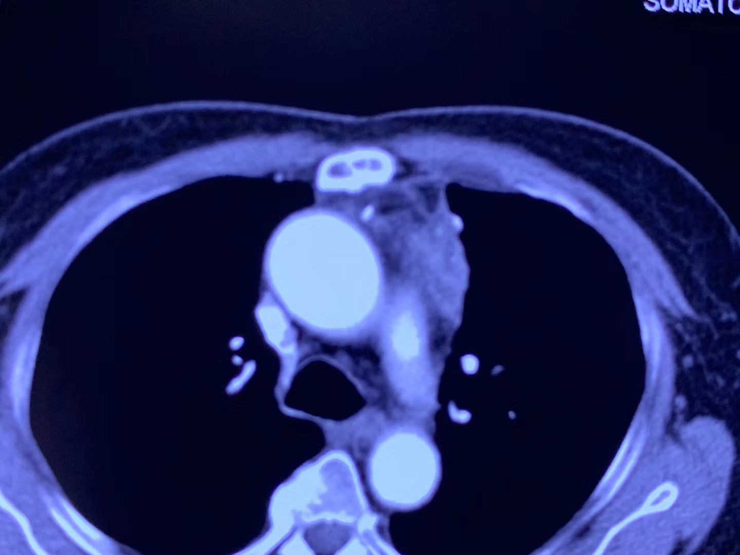
一位来自印尼患者,冠脉搭桥手术后患胸腺癌不适宜再手术,半年前已在我院行冷冻消融治疗,效果非常好。这次复查还有少许肿瘤残留,再次行冷冻消融治疗。





对不适宜手术的胸腺肿瘤,冷冻消融是一个非常好的选择。目前国际上发表的相关临床论文有四篇,分别是美国(25例)、日本(个案)、中国台湾(个案)、及中国!至今我院已经完成50多例的胸腺肿瘤冷冻消融,是国际上经验最多的医院之一。