多发肝脓肿是什么原因引起的 (肝脓肿为什么会反反复复)

开了外挂的克雷伯氏杆菌好强大……

者|昆明医科大学附属延安医院 姜华

来源|医学界消化肝病频道

2016年肝左叶脓肿,行经皮肝脏脓肿引流,引流液培养和血培养均为克雷伯杆菌肺炎;

2018年肝右前叶多发实性占位病变,血培养革兰氏阴性杆菌-克雷伯杆菌肺炎;

患者反复发生肺炎克雷伯氏杆菌肝脓肿,潜在的病因是什么?

病史摘要

患者女性,75岁,因“发热3天”入院。

患者于2018年2月17日无明显诱因出现发热,体温最高达38.9 ℃,伴畏寒、寒战、出汗不适,无抽搐,自服“退热药物”后体温可逐渐下降至正常,伴恶心、呕吐胃内容物,感乏力、头晕不适,无腹胀、腹痛、腹泻。

体格检查:一般情况稍差,全身皮肤无黄染、皮疹及出血点,全身浅表淋巴结无肿大。双肺呼吸音粗,未闻及明显干湿啰音;心率85次/分,律齐,心脏各瓣膜区未闻及病理性杂音。腹平软,无压痛,无反跳痛及肌紧张,肝脾肋下未触及,莫非氏征阴性,未扪及异常包块,移动性浊音阴性,肠鸣音正常。

既往无糖尿病病史,2016年曾出现肝左叶脓肿,曾行经皮肝脏脓肿引流,引流液培养和血培养均为克雷伯杆菌肺炎,给与美罗培南、奥硝唑联合抗感染抗感染对症治疗后,好转出院。

辅助检查

血细胞分析+CRP:白细胞8.23 10^9 /L、中性粒细胞百分比91.0 %、淋巴细胞百分比4.0 %、淋巴细胞绝对值0.33 10^9/L;

肝功:总胆红素33.6 umol/L、直接胆红素20.8 umol/L、丙氨酸氨基转移酶97 U/L、天门冬氨酸氨基转移酶128 U/L;

电解质:钠131.0 mmol/L、氯93.4 mmol/L、磷0.46 mmol/L;

降钙素原:4.58 ug/L;

腹部B超:肝右前叶多发实性占位病变——性质待查,血管瘤?转移Ca不能完全除外。

血培养:革兰氏阴性杆菌-克雷伯杆菌肺炎

治疗经过

患者入院后出现寒战发热,纳差,无腹痛、腹泻等不适,抗感染治疗(治疗方案同前)1天后,未再出现发热、寒战。

治疗4天后复查

  • 血细胞分析+CRP:白细胞10.35 10^9/L、单核细胞百分比15.5 %、嗜酸性粒细胞百分比0.4 %、单核细胞绝对值1.60 10^9/L、血红蛋白107 g/L、红细胞压积0.310 L/L、超敏C反应蛋白>200.0 mg/L;

  • 大便RT:黄色,OB+;

  • 肝功:总蛋白49.2 g/L、白蛋白26.7 g/L、白球比1.19 、谷氨酰转肽酶83 U/L、胆碱酯酶2951 U/L、谷氨酸脱氢酶18.2 U/L;降钙素原7.53 ug/L。

  • 复查腹部B超:肝右前叶脓肿形成--超声造影提示:大于50%区域呈蜂窝状液化。患者在B超引导下行肝脓肿穿刺引流出,共引流出100 ml褐色液体。

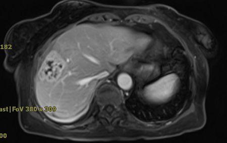
  • 上中腹部MRI:肝右前叶VIII段肝脓肿穿刺术后改变,大小约3.8 cm×3.0 cm。范围内见结肠肝曲局限性增粗肿块影大小约3.2 cm×3.2 cm,周围界限清晰,周围未见增大淋巴结,占位病变可能(见图1)。

图1腹部MRI

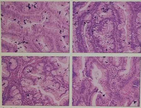
  • 肠镜:结肠癌,结肠黑变病,痔疮(见图2),病理回报:结肠肝曲绒毛状腺瘤伴高级别上皮内瘤变(见图3)

图2 肠镜检查

图 3病理检查

患者转入普外科行右半结肠癌切除术,并送检。

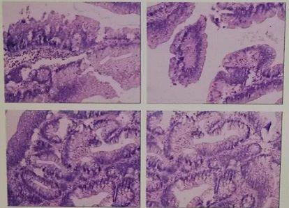
病理回报:绒毛状腺瘤伴高级别上皮内瘤变,部分区域癌变为高分化腺癌,肿瘤侵深肌层,肠系膜肿大淋巴结3枚(见图4)。

图 4 病理检查

病案思考

回到开头的问题:患者反复发生肺炎克雷伯氏杆菌肝脓肿,潜在的病因是什么?

1

克雷伯氏病原体的特征:肺炎克雷伯氏杆菌是肠杆菌科克雷伯氏菌属中最为重要的一类菌,存在于人体上呼吸道和肠道,大部分引起肝脓肿的克雷伯氏杆菌属于高毒力株,荚膜分型主要为K1、K2 型,常携带黏液表型调节基因(rmpA)、气杆菌素等毒力基因。不伴其他肝胆疾病的肝脓肿中K1和K2 型的比例较高。

动物模型显示,气杆菌素可使肺炎克雷伯氏杆菌的毒力增强100倍。有研究显示,rmpA和气杆菌素在不伴其他肝胆疾病组的阳性率高于伴有其他肝胆疾病组的阳性率。可以推测,普通的肺炎克雷伯氏杆菌由于毒力有限,仅能在患者有胆囊炎或接受肝胆手术的前提下引起感染,而高毒力株则可在无其他肝胆疾病的情况下引起原发感染。

2

因结肠肿瘤引起粘膜破坏和血管暴露,为肝脓肿提供致病前提及诱因。结肠黏膜缺陷可能是细菌入侵到门脉系统的途径,随后的血液向肝脏扩散。根据此病例考虑患者肝脓肿可能为结肠肿瘤的外在表现。

3

所以在肺炎克雷伯氏杆菌肝脓肿患者中,积极的结肠镜检查可能是有必要的,以检测隐藏的结肠恶性病变。