现在社会上的好多人喜欢没事在自己的体内放一些什么东西玩,或者出现各种意外残留在体内,反正不管是什么,这里有各种X光下的异物盘点,大家看看可千万小心了

这里面装的*品毒**

这是儿童用的玻璃杯,也能塞里面

一支圆珠笔,话说这么细会舒服么?

恐怖分子走投入路的时候想要吞下*雷手**同归于尽,结果发现吞下去不能拉环了

酒吧里面打架被人插得刀子

*弹子**壳

这个工人老说自己牙疼,检查后才发现这玩意儿

自杀吞入了很多钉子,大夫也不用救了

一只混在蛋糕里面的戒指被一起吃下去了

这玩意儿是自己插进去的

又是打架时候干的,不过这人现在康复了

这是剔牙时候掉进去的,还有这操作

有时候大夫也会留下点什么东西在里面

这是机器人在玩探险游戏吗?

外国人体内的棒棒糖,真会玩

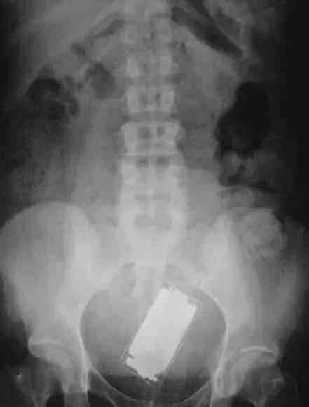
手机也可以塞进去

手机不够了,录音带也可以

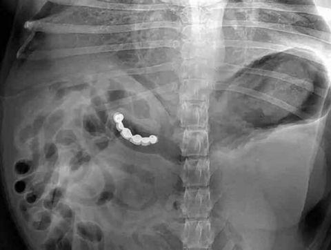
吃个饭连假牙一起吞

千万别把勺子放在地板上

一把钥匙

没有头的芭比娃娃探险记

这是个吞别针自杀的

这个刀片是混在面包里的

一把搅拌器

海绵宝宝?
本片及图片来源于网络,如有侵权请联系删除