病历描述:3天前无明显诱因出现咳嗽、咳痰,白色粘液痰,伴右侧胸痛,无放射,未予重视。1天前无明显诱因出现发热,体温最高达39.4度,发热前伴有寒战,伴有间断咯血,痰中带血,鲜红色,量不多。
冯XX,男,59岁
【主诉】
咳嗽、咳痰伴胸痛3天,发热、咯血1天
【现病史】
3天前无明显诱因出现咳嗽、咳痰,白色粘液痰,伴右侧胸痛,无放射,未予重视。1天前无明显诱因出现发热,体温最高达39.4度,发热前伴有寒战,伴有间断咯血,痰中带血,鲜红色,量不多。
【既往史】
既往体健,1月前曾因外伤行左侧肩关节置换手术,腰椎修补术,术后恢复良好,无药物及食物过敏史。
【查体】
体温39.3℃,脉搏120次/分,呼吸22次/分,血压100/59mmHg。
胸廓对称,双侧呼吸动度对称,右下稍叩浊,左肺呼吸音清,右下肺呼吸音低,未闻及干、湿性罗音。
【辅助检查】
血气:ph 7.475,PCO2 27.9mmHg,PO2 68.2mmHg,SO2 95.2%。
血常规:白细胞计数 WBC 12.10* 10^9/L、中性粒细胞百分比 NEUT% 82.24 %。
凝血6项:纤维蛋白原 FIB 565 mg/dL、D-二聚体 1430.00 ug/L、纤维蛋白(原)降解产物 PFDP 8.47 mg/L,余各项正常。
【生化全套】
总胆红素26.02umol/L,直接胆红素10.03umol/L,间接胆红素15.99umol/L,谷丙转氨酶58.52U/L,低密度脂蛋白3.51mmol/L。
尿常规:隐血+-,白细胞+-,尿蛋白2+,尿胆原+-,酮体+-。
红细胞沉降率: 59 mm/h。
肌钙蛋白、BNP、心肌酶正常。
C反应蛋白19.70mg/dl
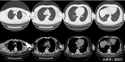
【 胸部 CT】2016.10.05

结果示:

本病例表现很普通,在临床上经常会碰到这种类型的,拿到这个病例首先可能会考虑是肺炎,但是真的是肺炎吗?为了明确诊断,再次详细问了患者的病史,下面来看看患者的病史特点,然后进行分析:

因为发现患者1 个月前有外伤手术史,那么是否可能有其他可能?所以我们给患者做了一个CTPA。

【注意】
每一个层面都有肺动脉的充盈缺损。

为明确患者肺栓塞的原因,所以做了彩超,结果如下图:


【最终诊断】
肺栓塞
【治疗】
抗凝
【预后】
治疗后复查胸部CT(2011.11.18)

