胚胎停育:
胚胎停育是指妊娠早期胚胎发育自然终止、胚胎丢失的病理过程,其妊娠结局通常为稽留流产和不全流产。超声学检查表现为子宫增大多发无回声光点或光团、无妊娠囊、孕囊不完整、无胚胎组织或无胎心、胎动。

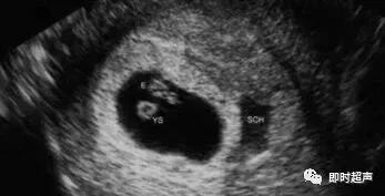
胚胎停育可分为2类: 一是受精卵着床后未发育出胎芽,彩色超声表现为孕7周后仍未见胎芽只见一空(胎)囊;
二是曾有胎芽发育但不久停育死亡,超声结果胎囊中有胎芽但发育明显落后于孕周,同时没有胎心管搏动,胎囊大小符合孕周或萎陷变形,称为孕囊枯萎。
胚胎停育原因分析:
胚胎停育病因复杂,包括染色体因素、感染因素、免疫因素、内分泌因素、环境因素、心理因素、母体因素及环境因素以及孕妇高龄等,此外,仍 50% 的胚胎停育原因不明。对于有危险因素的孕早期妇女及出现先兆流产等临床表现的患者及早采取相应措施,为胚胎停育早期诊断和早期干预提供依据,避免进一步的检查和不必要的干预,改善预后。
1、染色体异常
孕早期染色体异常是引起胚胎停止发育的主要原因,夫妻双方及胚胎染色体异常以及基因多态性、基因突变等均属于遗传异常。夫妻任一方染色体异常均可导致下一代遗传物质改变。染色体异常可分为染色体的数目异常和结构异常,其中数目异常多见,尤以非整倍体的发生最多见,常见于多倍体、三倍体、单倍体及三体型等,最常见为16 三体异常与21 三体异常。
2、感染因素
感染因素包括阴道内致病菌感染、病毒感染等。妊娠期妇女内分泌水平发生一定的改变,使机体免疫力降低对病原体的防御能力减弱,免疫缺陷为其感染的主要原因。
阴道内致病菌感染包括支原体、沙眼衣原体、阴道加德纳菌及某些厌氧菌。其中最主要为支原体,支原体感染可以经胎盘垂直传播至宫腔或孕妇下生殖道感染上行感染扩散至宫腔,引起宫腔内感染,导致流产、胎儿宫内发育迟缓、胎膜早破以及胎死宫内等后果。有研究表明:生殖道支原体与衣原体感染均与胚胎停育有关,如为两者混合感染则发生胚胎停育风险更大。
病毒感染包括:风疹病毒、巨细胞病毒、微小病毒、单纯疱疹病毒、肝炎病毒等。近年来有研究表明,人免疫缺陷病毒(HIV)、人乳头瘤状病毒(HPV)亦与胚胎停育有关,故孕前病毒感染的筛查对于预防胚胎停育有意义。
3、免疫因素
受精卵在母体的种植可认为是一种半同种移植现象,胚胎着床时,母体的免疫细胞在母胎交界面聚集,胚胎和母体之间通过复杂的免疫机制,使母体免疫细胞对胚胎产生免疫耐受,发挥对妊娠的免疫调节作用,避免发生排斥反应。免疫因素主要包括:人类白细胞抗原(HLA),血型抗体不合、滋养细胞膜抗原、封闭抗体、抗生殖免疫抗体及细胞因子等。
抗生殖免疫抗体为常见的免疫因素,稽留流产患者血清中抗心磷脂抗体(ACA)、抗子宫内膜抗体(EMA)、抗透明带抗体(ASA)、抗卵巢抗体(AOA)、抗绒毛膜促性腺激素抗体(AhCGA)明显升高。有研究数据表明,在五种生殖抗体中抗心磷脂抗体与子宫内膜抗体与胚胎停育相关性较大,在实验组中阳性表达率较高。
4、内分泌因素
内分泌异常因素主要原因为相关疾病直接或间接导致下丘脑一垂体一卵巢轴功能异常,使得性激素分泌紊乱影响胚胎发育。主要包括:黄体功能不全、多囊卵巢综合征、甲状腺疾病、糖尿病等,该原因约占内分泌异常导致胚胎停育的23%-67%。
孕酮为维持早期妊娠的重要激素,早孕期黄体分泌足够数量的孕酮,是受精卵着床的必备条件,孕酮可降低子宫平滑肌的兴奋性及其对缩宫素的敏感性,抑制子宫收缩,维持正常胚胎发育。有研究表明:孕妇体内类固醇水平偏低可能导致子宫免疫细胞异常增多,子宫内脂肪和维生素产生不足,不能给予胚胎提供足够营养。近年来有研究提出:当早孕期妇女出现腹痛及阴道出血时,单查孕酮可预测妊娠结局。孕酮值为15-25μg/L时,其妊娠结局可发展为宫内妊娠,但出现早期先兆流产几率较大;孕酮值小于15μg/L时,其妊娠结局多为异位妊娠或稽留流产;孕酮值大于25μg/L 时,其妊娠结局多为宫内正常妊娠。单一孕酮值测定对妊娠结局有预测作用,故早孕期可根据不同孕酮值可采取相应措施,避免过度的检查和不必要的药物干预,提高妊娠质量。
甲状腺功能异常:目前妊娠合并甲状腺功异常可增加妊娠不良结局这一观点已得到公认,有研究表明:甲状腺功能正常的早孕期妇女如果其甲状腺抗体(ATA)阳性(包括抗甲状腺过氧化物酶抗体(TPOAb)或甲状腺球蛋白抗体(TgAb)阳性),会增加胚胎停育发生的风险。当孕妇甲状腺自身抗体阳性时发生流产的几率增加3倍以上,如果在孕6周之前发现并给予左旋甲状腺素治疗后其发生流产的相对危险度降低了52%。
5、母体因素及环境因素
胚胎停育的发生与妇女怀孕时的身体状况、接触的工作及环境危险因素等有关。母体因素包括先天性子宫发育不全、子宫肌瘤、子宫内膜异位症、不良生活习惯以及孕期用药等。孕妇孕早期使用某些药如:非甾体类抗炎药、抗凝药等也可导致胚胎停育致流产。
尚有大量文献报道孕妇肥胖、孕早期负面情绪、工作压力较大、被动吸烟、孕期使用手机、电脑、长期暴露于电磁辐射中以及室内装修污染可能是孕妇发生胚胎停育、流产的危险因素。
6、胎盘植入异常及绒毛血管形成异常
胎盘作为连接母体与胎儿的特殊器官,具有物质交换、合成、代谢及防御功能。孕早期胎盘植入异常可能为胚胎停止发育原因之一,主要为炎症因子与细胞因子的作用。研究表明:绒毛滋养细胞分泌有活性的基质金属蛋白酶2不足,导致滋养细胞侵入不良,导致早期绒毛血管形成障碍,子宫螺旋动脉重塑障碍,早期胎盘局部缺血缺氧,造成胚胎停育。
7.心理因素情绪紧张使机体处于一种应激状态,破坏了原来的稳定状态,使体内神经免疫及内分泌发生紊乱,特别是孕激素的改变。体内孕激素水平下降,胚胎发育不良,造成胎儿停育。8、创伤刺激子宫创伤如手术、直接撞击、*交性**过度亦可导致胎停。
9、男方精液异常
近些年通过对稽留流产及胚胎停止发育相关病例分析发现男方因素逐渐增多,例如男方精液活性异常、精子核蛋白异常等,精子核蛋白不成熟是导致自发性流产和胚胎停止发育的危险因素。

“新英格兰医学杂志”胚胎停育超声诊断标准:
1、头臀长度至少为7毫米,无心跳;2、平均孕囊直径至少25毫米,无胚胎;3、超声检查没有卵黄囊的孕囊,2周后,仍然没有发现有心脏搏动的胚胎;4、超声检查有卵黄囊的孕囊至少11天后,没有发现有心脏搏动的胚胎;超声检查满足以上任何一个标准的情况下,即可诊断胚胎停育。
此外,超声检查怀疑流产,但不能明确诊断的声像图如下:1、头臀长度小于7毫米,无心跳;2、平均孕囊直径16-24毫米,无胚胎;3、超声检查孕囊里没有卵黄囊7-13天后,未发现有心脏搏动的胚胎;4、超声检查有卵黄囊的孕囊7-10天后,没有发现有心脏搏动的胚胎;5、末次月经后至少6周没有发现胚胎;6、羊膜囊与卵黄囊相邻,未见胚胎;7、卵黄囊超过7毫米;8、孕囊与胚胎大小相比(平均孕囊直径和头臀长之间的差异小于5mm)。

胚胎停育时间长的不良影响:
1.造成孕妇凝血功能障碍。
2.妊娠物与子宫壁机化包裹,紧密粘连,不易清宫。
MSD:孕囊平均直径=(长径+横径+前后径)÷3
说明:1、建议在阴道B超下测量。
2、测量孕囊的内径。
2006年英国皇家妇产科学会(RCOG)指出:当孕囊平均直径小于20mm,或胚芽长度小于6mm,很难判断胚胎活性。需定期随访至少一周。
近几年研究表明:
当MSD为16mm时,判断胚胎活力假阳性率为4.4%
当MSD为20mm时,判断胚胎活力假阳性率为0.5%
当MSD为21mm时,判断胚胎活力假阳性率为0%
胚胎停育如何处理?
第八版《妇产科学》提出[23]:子宫<12孕周者,可行刮宫术,术中肌内注射缩宫素,手术应特别小心,避免子宫穿孔,一次不能刮净,于5-7日后再次刮宫。子宫>12孕周者,可使用米非司酮加米索前列醇,或静脉滴注缩宫素,促使胎儿、胎盘排出。
如何预防胚胎停育?
针对不同的病因采取不同的治疗方法。
① 染色体异常:胚胎染色体异常的发生率与母亲年龄有关,建议35岁之前怀孕生育。如果超过35岁欲生育,孕前应进行遗传学检查,确定是否可以怀孕。对于染色体异常的夫妇,理论上均有分娩正常核型及携带者婴儿的机会;有部分夫妇染色体都正常,但胚胎发育过程中出现染色体异常,建议备孕夫妇调节心理及身体,远离不良环境。
② 内分泌及免疫异常:治疗原发病,如甲状腺功能亢进或减退,糖尿病,系统性红斑狼疮等;如果确诊为黄体功能不足,可以应用黄体酮制剂,或绒毛膜促性腺激素。如果为自身免疫异常所致,尤其是对于有血栓史和死胎史的复发性流产患者,目前主张应用低分子肝素,肾上腺皮质激素(泼尼松、地塞米松),大剂量丙种球蛋白。
③ 子宫异常者,针对不同原因给予药物或手术治疗。
④ 生殖道感染:针对不同的致病微生物,选择A类或B类药物治疗。
来源: 即时超声
【版权声明】本平台属公益学习平台,转载系出于传递更多学习信息之目的,且已标明作者和出处,如不希望被传播的老师可与我们联系删除
更多影像内容请*载下**放射沙龙APP,免费读片线上交流学习