【文献解读】
骨骼肌在整个生命周期中都发挥着不可替代的作用,但是其功能和质量在衰老过程中会逐渐下降,这坑是由自噬缺陷和细胞凋亡过度导致。亚精胺和运动对自噬和细胞凋亡的作用都已得到广泛研究,2017年《Oncotarget》杂志发表了一篇文章,针对亚精胺联合运动干预对骨骼肌萎缩的改善作用及相关机制进行了探讨,结果可观。

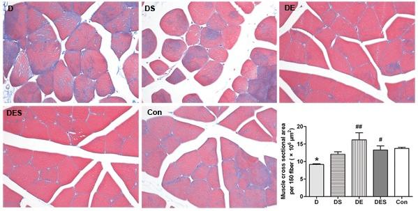
研究人员通过腹腔注射D-半乳糖诱导骨骼肌质量下降,建立衰老相关骨骼肌萎缩的大鼠模型,后给予亚精胺或游泳干预,持续6周。结果发现,亚精胺联合运动干预对D-半乳糖引起的骨骼损伤有明显的保护作用(图1)。作为骨骼肌衰老的重要特征标志之一,注射D-半乳糖的大鼠腓肠肌纤维化程度较正常大鼠更为严重,每日给予亚精胺和运动干预后,纤维化程度有所缓解。此外,通过电子显微镜检查,亚精胺联合运动干预组骨骼肌中观察到椎间盘两侧明显有更多自噬体,减轻了骨骼肌衰老和损伤(图2)。

图1亚精胺联合运动训练可减轻D-半乳糖对骨骼肌损伤,抑制骨骼肌纤维截面积下降

图2亚精胺和运动改善了无序的纤维排列,并减少了D-半乳糖诱导的衰老骨骼肌纤维受损或融合线粒体的数量。白色箭头代表线粒体区域,黑色箭头指向腓肠肌中的自噬体。
在社区居住的老人中,肌肉减少症的患病率高达33%。这项研究表明,规律运动结合亚精胺干预可通过激活自噬来减轻D-半乳糖诱导的衰老细胞凋亡,从而减缓骨骼肌的衰老过程。这可能会成为临床降低老年人跌倒风险的重要策略。