蛀牙,还有前面的牙齿拥挤不齐,不知道能不能矫正?一般来说,是可以通过正畸解决的。那么具体要怎么操作呢?接下来我们详细了解一下。

4颗蛀牙加牙齿拥挤不齐,要怎么矫正
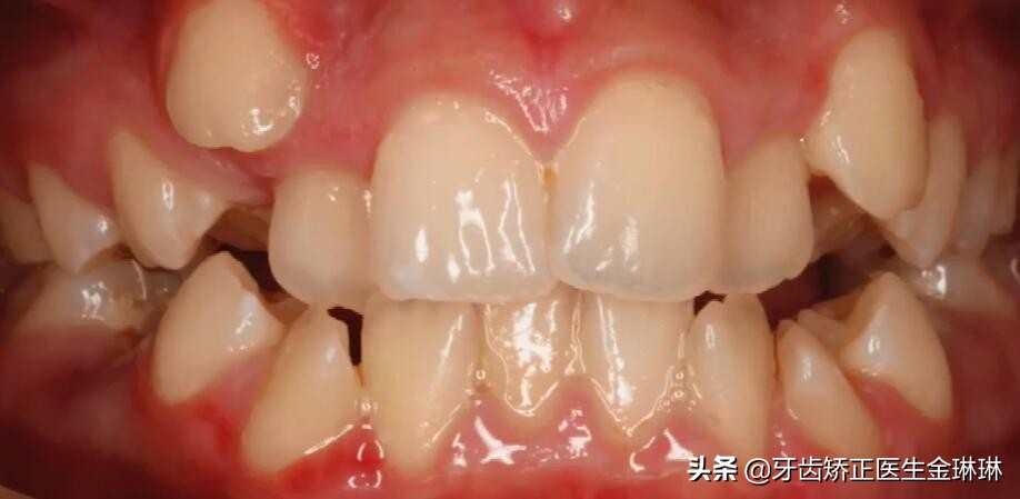
1、先拍片查看4颗蛀牙的龋坏情况,处理蛀牙的问题。
蛀牙的问题说简单也简单,但是说难也难。如果4颗龋坏都很轻,都没有到牙神经的话,治疗起来就比较简单,把牙齿钻个洞,把里面坏的去掉,再用树脂等充填材料把牙齿填好,调整咬合就完成了。
要是都坏到牙根,或者是龋坏到牙神经了,日常有自发性疼痛,晚上疼痛加剧等症状,则多半需要做复杂的根管治疗了。根管治疗则通常需要就诊2-3次,每次间隔5-7天左右。需要先把牙齿神经去除,对牙齿内部的根管等进行清洗杀菌,无异常反应后再充填好牙齿。
2、再做牙齿拥挤的矫正。
那么4颗蛀牙治疗后会影响牙齿拥挤的矫正吗?一般来说,不会有影响的。
如果蛀牙很轻的话,普通的充填补牙,对牙齿矫正没有多大影响。如果蛀牙比较严重,需要根管治疗以及做牙冠,这时候,就需要拍牙片,根据蛀牙的位置、是否做牙冠、牙周情况等因素来确定。
不仅没有影响,部分严重到需要拔牙的蛀牙,可能还能替代健康的牙齿进行拔除,从而提供牙齿拥挤矫正需要的空隙呢,这样一来,就是一举两得的好事了。不过蛀牙能保留就要尽量保留,不能轻易拔牙,而且不用担心,通常只有严重的牙齿拥挤通常才需要拔牙呢~

一般口内有蛀牙都需要先治疗处理后再考虑做牙齿矫正。有牙周病等其他情况也是一样的道理。如果有更多问题,可以直接在线咨询。我院(淄博诺尔漫齿科)在看诊定价收费上一直按照物价标准定价以及坚持透明化收费,所有费用一目了然,不存在隐形消费,患者只花该花的钱,看牙就诊更明细清楚。
关注我了解牙齿各方面知识,有什么疑问欢迎评论和私信!祝大家有一口健康整齐、靓白美观的好牙。