髌骨挫伤在临床上是相对来讲比较常见的,这种损伤机制多见于在运动过程当中摔倒膝盖着地,髌骨与地面相撞的过程当中虽然*力暴**没有导致整个髌骨的离断,但是导致髌骨内发生了细小的骨折,我们称之为微骨折,这种情况在核磁上表现出来的影像学表现称之为骨挫伤,下图就是典型的髌骨挫伤的影像学表现。

骨挫伤 箭头所指为明显挫伤区域,瘀血和水肿核磁表现
虽然*力暴**没有导致整个髌骨的骨折,但是*力暴**传导到髌骨内部以后,造成了髌骨内骨小梁的细小骨折,这样骨折以后就会有水肿、有出血,所以在核磁眼镜上是高亮的表现,在上图当中箭头所指的部位就是骨损伤的部位。
不同于髌骨骨折,这种情况一般在x线上是无法看出来的,核磁是发现骨挫伤最佳的手段之一。因为骨折以后在x线上会有明显的骨折,形态改变,但是在骨挫伤的情况下,整体的髌骨形态是完整的,X线并不能很好的表现出髌骨内部的损伤情况,所以此时我们要动用核磁出场。

髌骨骨折
那么什么情况下要进行膝关节核磁检查,明确是否存在骨挫伤呢?
受伤机制往往是第1位的,如患者的受伤机制是前面所提到的,在运动的过程当中单膝或者是双膝着地,髌骨与地面直接相撞,这样就会导致骨头的挫伤。另外骑摩托的时候,膝关节与前方的物体相撞也是同样的受伤机制。

当髌骨发生骨折以后,患者的膝关节活动会有明显的受限,即使是被动活动也会导致剧烈的疼痛,然而骨挫伤不同,患者往往能轻度的进行膝关节的活动,症状在皮肤上来看可以表现为皮肤的擦伤,可以表现为皮下淤血,但是并没有骨折以后导致的严重的骨撕裂感、骨擦音等情况。
一般情况下,髌骨受伤以后在医院进行x线检查,没有明确的骨折表现,在受伤以后3~7天左右,仍然明显的关节疼痛,膝关节伴或不伴有活动受限就需要进行核磁检查。

皮下淤血
髌骨受伤以后没有骨折,应该怎样正确处理呢?骨挫伤又应该如何处理呢?
在筋骨受伤的前三天也就是72小时之内,如果皮肤没有明显的破口,可以进行局部的冰敷、可以给予进行弹力带加压包扎,这样可以很好的控制住局部的肿胀。如果疼痛比较明显,可以考虑在髌骨周边外用非甾体抗炎药膏,可以帮助患者减轻疼痛。

弹力绷带加压包扎,以能放进一个小手指为准

一定要冰水混合物,不要冰块直接冰敷,最好要隔着织物
超过72天以上患者的关节仍然有明显的疼痛,那么建议进行膝关节核磁检查,明确关节腔是否有积液,明确髌骨后方的软骨是否存在损伤,明确髌骨是否存在着骨挫伤。
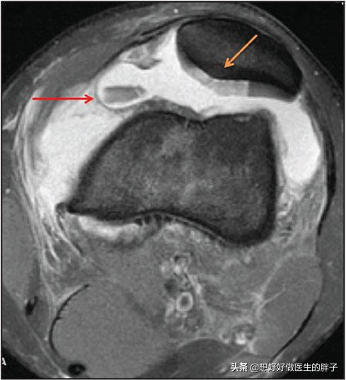
大家一定要知道,在髌骨的后方有非常重要的一层软骨结构,这种结构可以起到非常重要的缓冲髌骨承受的压力,增加关节腔的润滑的作用,这层结构我们称之为髌骨后方的关节软骨。当膝关节受到迎面而来的*力暴**伤害时,这人有时候并不能导致髌骨发生骨折,有可能会造成髌骨的内部骨挫伤,也有可能在*力暴**伤害的过程当中导致髌骨后方的软骨发生碎裂脱落,这种情况其实并不少见。
大家看下图的核磁影像当中,红色箭头所指的部位就是受外伤以后掉落下来的关节软骨,而黄色箭头所指的是这块软骨原来所附着的位置,另外一张图是是髌骨碎裂以后术中的影像资料。

红色箭头所指为脱落软骨碎块

髌骨软骨缺损
●如果经过核磁检查关节腔内的软骨没有问题,仅仅是单纯的骨挫伤,那么超过72小时以后就不需要太特殊的进行处理了。因为即使经过多复杂的处理,骨挫伤的恢复时间都是比较慢的,一般都要3~6个月左右的时间。如果疼痛对患者影响比较大,可以外用一些药物帮助患者缓解疼痛。可以适当的进行一些膝关节的康复锻炼,促进关节功能的恢复。
为什么骨挫伤以后恢复慢呢?大家可以想象骨头的外壳是非常致密的,这一层我们称之为骨皮质,而骨骼伤往往是髌骨里面的瓤出现了问题,我们称之为骨松质,如果您想通过致密的保护壳将药物输送入,有损伤的里面,这个难度有多大,大家可想而知。所以对于骨挫伤的治疗主要是以适度休养为主,尽量减少对于髌骨的刺激就可以了,主要的治疗方式还是要在康复师的指导下系统的进行康复,早期恢复关节功能,一般膝关节骨挫伤在受伤以后一个月左右的时间症状就会有明显的减轻。

●而如果经过核磁检查,发现关节腔内存在有脱落或者是碎裂的髌骨软骨。最好是通过过关节镜手术,将破裂的软骨取出来,因为这些破裂的软骨很有可能将来形成游离体,导致患者关节内进一步的损害。如果核磁表现,软骨破裂的比较大,患者又比较年轻,那么建议一定要到比较大型的专业医院运动医学科进行软骨方面的手术治疗。因为这方面的手术技术,在大型的医院有开展,一般的普通医院很难进行这种手术操作。
除去骨挫伤,关节疼痛不缓解还有另外一种可能
作为医生总是想把考虑到的问题都给大家聊一聊,但是写的太多很容易引人反感,觉得磨叽。多说几句话吧,这种容易导致骨挫伤的受伤机制,关节多数是受到了从前之后的*力暴**伤害,这个*力暴**如果将骨头挫伤就终止了是比较好的,但是如果*力暴**继续向后,就容易导致后交叉韧带的撕裂,大部分的后交叉韧带撕裂和骨挫伤的受伤机制是类似的,所以建议朋友们如果受伤后关节始终疼痛,还经常伴有积液,就一定要检查核磁,排除后交叉韧带是否有问题。
总结
如果患者膝关节尤其是髌骨受伤以后,经过x线检查没有发现骨折,这是非常幸运的,经过核磁检查发现存在骨挫伤,但是没有明显的软骨破裂或者是碎裂,这也是非常幸运的,一个人在受伤的一个月左右时间内患者会有一定的痛苦,对生活质量会有很大的影响,但是将来恢复是没有问题的,有这种情况的朋友们千万不要过于担心,也不需要花费大量的金钱或者是时间去进行一些所谓的治疗,对于这种情况,自己的身体恢复能力就是最好的药。
而如果经过核磁检查发现或者存在骨挫伤,同时有髌骨的碎裂,那么建议一定要到专业的运动医学科,寻求专业医生的帮助,判断是否需要进行手术治疗或者是软骨移植等比较复杂的手术治疗,因为这个位置的软骨一旦发生损伤不给予进行正确的处理,将会严重影响将来关节的功能,导致患者出现创伤性关节炎,如果患者比较年轻,那么对患者的一生都会有一定的影响。
如果您还有其他的疑惑,可以在下方留言,大家共同探讨。
我是坚持用简单语言解释复杂疾病知识的谢新辉,码字不易,如果您赞同我的观点,请帮忙点个关注或点个赞吧,如果您或者是您的家人朋友,也有髌骨挫伤这方面的困扰,请把这篇文章转发给需要的他们吧,谢谢了!

#生命召集令超能团# #真相来了# #头条辟谣# @生命召集令 @头条养生 @健康真相官 @头条健康 @头条辟谣 @头条健康 @清风计划 @青云计划