本期典型病例由中山大学肿瘤防治中心泌尿科董培教授团队提供
病史简介:
基本信息:
一般资料:患者男性,57岁
主诉:2012年左肾癌根治术后,2018-9左髂部疼痛不适,无法行走
现病史:2012年行左肾癌根治术(肿瘤最大径7厘米),2018-9左髂部疼痛不适,考虑转移瘤,行索坦治疗。2019-06发现左胫骨肿块。2019-7-18 CT示肿瘤较前进展(107*84mm)。
既往史:否认慢性病史
个人史及家族史:否认特殊个人史及家族史
病理诊断:2012年(左肾)肾细胞癌,透明细胞性,
CT:

2012年4月左肾癌根治术

2018.9左髂骨疼痛,穿刺确诊左髂骨转移

2019.6 肿瘤进展,骨痛加剧

2019.6 肿瘤进展,骨痛加剧
诊断:
1.(左肾)肾细胞癌,透明细胞性
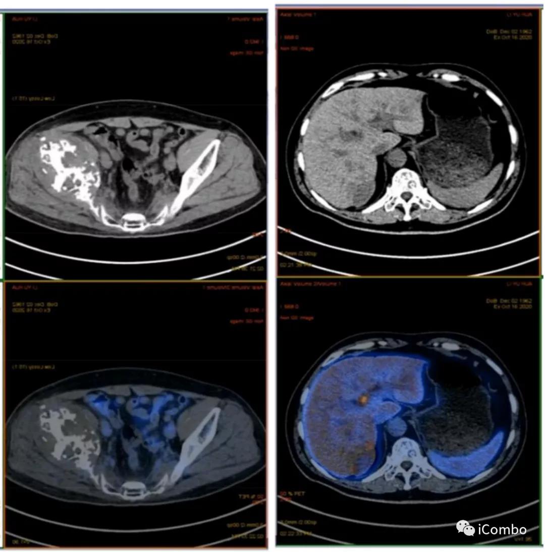
2. 左髂骨转移
3. 肝脏转移
诊疗经过:
1、2019-7-22泌尿肿瘤多学科会诊,考虑肿物过于巨大,局部联合治疗,更换药物给予二线靶向联合免疫,肿物缩小后再联合局部放疗。
2、2019-8-9患者对药物耐受性不佳,疼痛较前加重,蛋白尿增加至3+,血RBC:2.56×10E12/L,Hb:80g/L,予以对症处理。2019-8-23:血RBC:3.09×10E19/L,Hb:87g/L,局部消融治疗。
3、2019-10-21:10-8复查MRI:左侧髂骨、坐骨、耻骨骨质破坏,并软组织肿物行程,考虑转移瘤,较前缩小。肝S6/7小片状异常信号影,较前相仿。10-30,施行肝肿物的栓塞消融联合肝动脉注射PD1。治疗两次后复查,肝肿物得到了有效控制,肿物没有继续增大,原来的病灶也出现了液化坏死。

2019-10-8复查:肿物较前缩小
诊疗经过:

2020-1-8 较11-22肿物较前增大
病例总结:
本例患者初诊时诊断为:(左肾)肾细胞癌,透明细胞性 & 左髂骨转移& 肝脏转移。

病例思考

中山大学肿瘤防治中心泌尿外科肾癌MDT团队,在中华泌尿外科杂志2020年6月第41卷第6期发表的《靶向药物联合立体定向放疗治疗肾癌骨转移的临床疗效分析》中证实:肾癌骨转移瘤SBRT满意止痛率达85.2%,且78.6% 肿瘤出现显著退缩;2年局控率达到了98%,因此,在靶向药物有效控制的基础上,对骨转移病灶施行SBRT可以缓解疼痛、解除肾癌 转移导致的脊髓压迫、防止截瘫等高风险 SRE,对于持续改善患者生活质量具有重要意义。



董培教授团队介绍
董培教授所在的泌尿系肿瘤肾癌团队在周芳坚教授指导下多年来致力于采用个体化多学科全程管理模式治疗高危及转移性肾癌。团队成员包括放疗科、介入科、肿瘤内科、生物治疗科、影像科、病理科、核医学科等专业的专家,采用系统药物联合转移瘤局部治疗(手术、SBRT放疗、消融治疗),将晚期转移性肾癌的五年生存率从10%提升到58%,目前该团队正在开展一系列前瞻性临床研究,期望能进一步提升中国转移性肾癌人群整体疗效。
