有一种病表现为进行性吞咽困难、夜间反流和消化不良。然而,在疾病的早期阶段,其特征可能与胃食管反流病相似,包括典型的进食后胸骨后胸痛和反酸。由于疾病初期的非特异性症状,往往难以早期诊断。

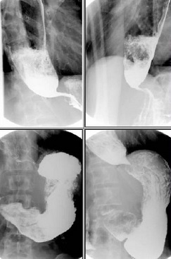
(钡餐检查)
河南信阳熊先生,今年58岁,他的主要病症表现是吞咽困难,不是胃食管反流,而是食道反流。胸痛一年多了,同时还有胃灼热的症状,那么是什么原因造成食道反流贲门失弛缓的呢?其实每个人的食管和胃之间都有一块括约肌,食管是输送食物的管道。肌肉应该打开让食物和液体通过食管进入胃内,食管有助于将食物移入胃中。如果患有贲门失弛缓症,这两个过程均不能正常运作。因此,食管不能向下推送食物,同时贲门也不能完全开启,就导致食物滞留在食管的底部。

可见狭窄上方食管明显扩张,积气积液,食物残渣
贲门失弛缓症不会一夜之间发生,是需要数年时间形成的,但是有些人一直忽略了这些症状。这位患者就是贲门太紧食物咽不下去,但是可能早年出现相关症状,没有及时治疗。现在食物被存在是食管里,从食管里往外反,反的厉害的时候甚至有窒息的感觉,是非常危险的。
过去曾经做过这种食管的扩张手术,当时管了一段时间后又复发了,又过来复查。做钡餐发现贲门失弛缓症术后的表现,贲门还是有点紧,咽不下去。钡餐可以看到他食管扩张的非常明显,贲门细的和线一样了。患者咽不下去食物存在食管里他就扩张了,然后我们给他做了一个介入下的球囊扩张。通过把一个球囊放在贲门这个地方,然后往里充气,充气以后球囊慢慢的扩张,把患者这个狭窄给撑开了,狭窄就解除了,病就解决了,治疗非常简单。

(球囊扩张)
虽然这位患者之前做过球囊扩张又复发了,但是我们还是建议继续做球囊扩张。因为球囊扩张后出现并发症的机会比较小,是均匀的把贲门的肌肉撕开。消化科呢是做Poem手术把括约肌离断,虽然治疗效果也很好,但是有些人会出现严重的反流。过去只是吃东西噎,吃饭的时候出现症状而影响患者生活。但是反流的话24小时都在反流,甚至对人的影响远远超过吞咽困难的影响,而且切开了以后不能再逆转了,而贲门扩张出现复发了,可以再做第二次、第三次来扩张,只要尽量保留你正常的解剖结构,就有机会治愈。如果切断了的话就没有机会了。

(球囊扩张术进行中)
对于贲门失弛缓症患者,没有规定专门的饮食,但患者可以自己去寻找易于吞咽的、比较细软的食物,进餐时多喝水也有利于吞咽食物,吃饭过速是万万不可的,避免过冷过热或刺激性饮食。另外定期看医生也很重要,避免营养不良出现体重锐减的情况。#青云计划#