纵膈胸腺瘤
※※※※※※※※※※※※※※※※※※※※※

胸腺瘤

(一)病理与临床
胸腺瘤(thymoma)是指来源于胸腺上皮细胞的原发肿瘤。前纵隔肿瘤中约50%为胸腺瘤,多见于40~50岁。临床症状主要是重症肌无力。肿瘤多位于前纵隔中部,内可见囊变、出血,偶有钙化。胸腺瘤有侵袭性和非侵袭性之分,侵袭性胸腺瘤突破包膜生长,侵犯纵隔内其他组织,术后易复发,可发生转移。
(二)影像学表现
1.X线表现:胸片见第4~5胸椎平面软组织肿块自纵隔突出,圆或椭圆形,边缘光整。侧位见肿块位于前中纵隔。
2.CT表现:非侵袭性胸腺瘤CT平扫示前纵隔内类圆形软组织肿块,多数密度均匀。增强后均匀强化,囊变的部分呈低密度且无强化表现。侵袭性胸腺瘤肿块常较大,密度不均匀,包膜不完整,周围脂肪组织层消失,侵犯邻近的胸膜、心包膜等结构,并可伴胸腔积液。
3.MRI表现:平扫示肿块与肌肉信号相似,增强后轻度强化。肿块内可有囊变,T1WI呈低信号,T2WI呈高信号。侵袭性胸腺瘤包膜不完整,环绕肿块的纵隔脂肪被侵蚀。

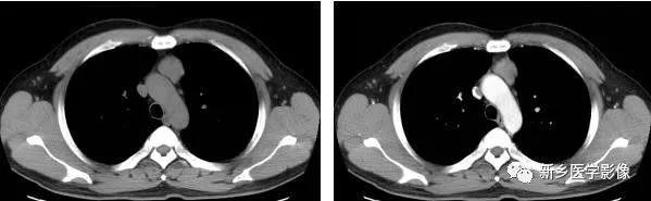
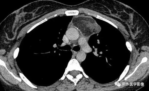
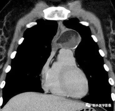
非侵袭性胸腺瘤CT图像
a. CT平扫示前上纵膈主动脉弓与胸骨间软组织密度肿块,密度均匀,边缘浅分叶状 b. CT增强示肿块均匀强化,肿块与主动脉弓之间脂肪间隙清晰

侵袭性胸腺瘤CT图像
a. CT平扫示肺动脉与胸骨间肿块,密度尚均匀,形态不规则b. CT增强示肿块不均匀强化,见低密度囊变区域,肿块与肺动脉之间脂肪间隙消失,肺动脉壁模糊。
(三)鉴别诊断
胸内甲状腺:可以是颈部甲状腺肿块长大进入胸腔内,也可以是异位胸内甲状腺病变,位置较高,多近胸廓入口处,较大肿块将气管向对侧推移,肿块随吞咽动作上下移动。CT平扫示肿块密度稍高于胸壁肌肉,常见高密度钙化灶及低密度的囊变或出血灶。增强示肿块实质部分明显持续强化。MRI T1WI、T2WI肿块呈等信号,实质部分明显强化,囊变区域呈明显的T1WI低信号、T2WI高信号改变。

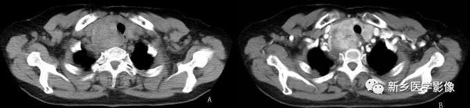
胸内结节性甲状腺肿CT图像
a. CTCT平扫示上纵隔气管两侧甲状腺软组织密度肿块,密度欠均匀,气管受压移位、变形 b. 增强后明显不均匀强化
纵膈淋巴瘤
※※※※※※※※※※※※※※※※※※※※※

淋巴瘤

(一)病理与临床
淋巴瘤(lymphoma)是原发于淋巴结和结外淋巴组织的恶性肿瘤。纵隔淋巴瘤常位于前、中纵隔,20~30岁以及60~80岁为两个高峰年龄段。临床表现为浅表淋巴结肿大、发热、消瘦、咳嗽、上腔静脉阻塞综合症等。
(二)影像学表现
1.X线表现:胸片示纵隔增宽,呈波浪状,密度均匀。侧位见肿块多位于前纵隔和中纵隔。
2.CT表现:前纵隔、中纵隔多组淋巴结肿大,常融合成块,尤其易累及血管前间隙组、主动脉弓旁、上腔静脉后组为最多见,易包绕上腔静脉等大血管及气管。肿块多呈均匀软组织密度,分叶状。轻到中度强化。放疗后肿块内易出现坏死、囊变、钙化灶。病人多伴有全身其他部位的淋巴结肿大。
3.MRI表现:肿大的淋巴结信号通常均匀,T1WI呈等或稍低信号,T2WI呈稍高信号。放疗后的纤维化在T2WI呈低信号,残余活动性肿瘤则为较高信号。


(三)鉴别诊断
结节病:表现为双侧肺门、隆突、气管旁淋巴结增大,并常融合呈团块状,但是临床症状轻微,且有自愈倾向。
纵膈畸胎瘤
※※※※※※※※※※※※※※※※※※※※※
畸胎瘤

(一)病理与临床
畸胎瘤(teratoma)是由2~3个胚层的多种组织构成的肿瘤。畸胎瘤分为囊性和实质性两类。囊性畸胎瘤又称为皮样囊肿, 含外胚层及中胚层结构, 囊内为皮脂样液体。实性畸胎瘤组织成份复杂, 含外、中、内三胚层结构。畸胎瘤病理分为:①成熟型畸胎瘤,即良性畸胎瘤,由已分化成熟的组织构成。②未成熟型畸胎瘤,即恶性畸胎瘤,由胚胎发生期的未成熟组织结构构成,多为神经胶质或神经管样结构,常有未分化、有丝分裂增多的恶性病理表现。
本病20~40岁多见,80%为良性,常位于前纵隔中部,肿瘤较大时出现胸痛、咳嗽、胸腔积液、咳出毛发等症状。
(二)影像学表现
1.X线表现:胸片示圆形或椭圆形肿块突出于肺野,边缘清晰;侧位位于前中纵隔。如密度不均匀,发现致密的骨骼影或牙齿影可明确诊断。包壳样钙化可提示肿块为囊状。
2.CT表现:前纵隔内边缘光滑的厚壁囊性肿块,囊壁常有钙化,病灶内密度不均匀,囊内出现脂肪、脂液平面、骨骼、牙齿等为特征性表现。少数病灶以软组织成分为主,形成实性畸胎瘤。如出现周围脂肪层不清、邻近结构受累,则提示恶性畸胎瘤可能。
3.MRI表现:肿瘤内出现脂肪、水、软组织的混杂信号,钙化、骨骼、牙齿等呈低或无信号。


(三)鉴别诊断
胸腺瘤:胸腺瘤和畸胎瘤均为前纵隔的常见肿瘤。囊性畸胎瘤依据肿瘤内的脂肪密度、钙化及骨化等较易诊断。实性畸胎瘤和胸腺瘤的鉴别确实有一定困难。
纵膈神经源性肿瘤
※※※※※※※※※※※※※※※※※※※※※

神经源性肿瘤

(一)病理与临床
神经源性肿瘤是指来源于后纵隔交感神经节、副神经节、末梢神经的肿瘤,是后纵隔最常见的肿瘤。多位于胸椎两侧的椎旁沟内。成人最常见的是神经纤维瘤(neurofibroma)和神经鞘瘤(neurilemmoma),以20~30岁多见,儿童最常见的是神经母细胞瘤(neurobalstoma)。肿瘤压迫邻近器官可导致胸背痛、吞咽困难等症状。
(二)影像学表现
1.X线表现:胸片示后纵隔、胸椎前方或两旁的半圆形影,上下缘与脊柱呈钝角,密度均匀,边缘光整,邻近肋骨皮质受压变薄,椎间孔可扩大。
2.CT表现:平扫示脊柱旁沟内类圆形肿块,如果肿块部分位于椎管内,则呈哑铃状肿块,并见椎间孔扩大。肿块内脂质含量较多,平扫等于或略低于软组织密度,中度强化。部分肿块内有囊变区。肿瘤周围的肋骨、胸椎皮质受压变薄。恶性肿瘤如神经母细胞瘤可伴大量钙化、周围骨质破坏、邻近血管被包绕等征象。
3.MRI表现:脊柱周围实质性肿块,T1WI呈等信号,与肌肉相似,T2WI略高于肌肉,部分信号不均匀,轻至中度强化。

右上纵隔神经鞘瘤CT图像
a. 胸部正位片示右上纵隔脊柱旁圆形软组织密度影。b. CT平扫示右侧后上纵隔脊柱旁圆形软组织密度肿块影,密度均匀,边缘光整。c. CT增强示病灶轻度强化,密度均匀。d. CT增强矢状位重组图示肿块位于后上纵隔,与脊椎关系密切。

右中纵隔神经鞘瘤CT图像
MRI冠状位T1WI图像示胸椎右旁椭圆形病灶,病灶内部呈混杂信号,边缘呈高信号。
(三)鉴别诊断
食管癌:食管癌向腔外生长,也会形成后纵隔肿块。食管钡餐检查可见食管黏膜破坏,管壁僵硬,管腔狭窄。
纵隔脂肪瘤/脂肪肉瘤
概述 纵隔脂肪瘤不常见,为良性间叶性肿瘤。多见于前纵隔及心膈角区,亦可起源于食管、气管、心脏等纵隔内结构。肿瘤常为单侧性,有时可伸展至两侧胸腔,有些可通过胸廓人口达颈部或经肋间隙达前胸壁。 纵隔脂肪肉瘤较为罕见,在全部纵隔恶性肿瘤中所占比例不到1%。 可发生于纵隔的任何部位,但多见于前纵隔,发现时常较大。
病理 脂肪瘤:由成熟脂肪组织外周被以包膜构成 脂肪肉瘤:主要成分为未成熟的和成熟的脂肪细胞,以及纤维组织和黏液性组织。可从高分化、有包膜的肿瘤,到高度侵袭性、无包膜、浸润邻近结构的肿瘤
临床表现 脂肪瘤:可见于任何年龄;临床上常无自觉症状,当瘤体巨大时,可产生压迫症状 脂肪肉瘤:多发生于成年人,儿童少见,男性略多于女性;常有胸痛、呼吸困难等症状
影像表现
X线
脂肪瘤:多位于前纵隔及心膈角区;可见纵隔增宽或纵隔内肿块,边缘光滑,密度均匀且较低;病灶周围气管受压移位不明显。
脂肪肉瘤:多见于前纵隔,肿块常较大;边缘锐利或模糊
CT表现
脂肪瘤:边缘光滑,与周围结构分界清楚,常可见薄且均匀- -致的包膜;增强扫描肿瘤实质无强化,包膜可轻度强化

脂肪肉瘤:密度不均匀,常含除脂肪外的软组织成分;脂肪含量越多,软组织含量越少,肿瘤倾向分化越好;可表现为边缘模糊或向周围浸润性生长。可能见到间隔的钙化和一定程度的强化

MRI表现
脂肪瘤:均匀脂肪信号,T1WI及T2WI均呈高信号,脂肪抑制成像呈低信号
脂肪肉瘤:脂肪组织与软组织混杂信号,边界可不清
鉴别诊断 纵隔脂肪沉积症:见于库欣综合征、使用激素治疗及肥胖患者;为大量正常的脂肪弥漫蓄积在纵隔内,无肿块形态,无包膜结构 胸腺脂肪瘤:肿物内有散在分布的条带状残存胸腺组织 畸胎瘤:含有脂肪、软组织、钙化、骨化及牙齿等多种成分;有时可见到因囊液内的高脂肪含量而出现的特征性的脂肪-液体平面 脂肪疝:大网膜脂肪通过Morgagni孔疝人胸腔引起心膈角区肿块,多位于右侧;CT多平面重建或MRI可显示疝入胸腔的脂肪与腹腔大网膜的关系
胸腺癌
概述 胸腺癌是具有明显细胞异型性的原发恶性胸腺上皮肿瘤,具有高度侵袭性,在WHO (1999) 组织学分类中曾将其归为C型胸腺瘤,但由于胸腺癌缺乏胸腺分化的器官样特征,形态上类似于其他器官相应类型的癌,故在WHO (2004) 组织学分类中取消了C型胸腺瘤这一术语,而将缺乏器官样特征的恶性胸腺上皮性肿瘤(除外生殖细胞肿瘤)均列入胸腺癌。 胸腺神经内分泌肿瘤在WHO (2004) 分类中被归为胸腺癌的一-个亚型 胸腺癌约占所有胸腺上皮肿瘤的15% ~ 20%
病理 包括多个组织学亚型,以鳞癌和神经内分泌癌最为多见 胸腺类癌(thymic carcinoid)是最常见的胸腺神经内分泌癌。绝大多数为不典型类癌,典型类癌极为少见 胸腺癌恶性生物学行为较侵袭性胸腺瘤更明显。易侵犯邻近肺、心包、大血管等结构。常转移至区域淋巴结、骨、肺、肝和脑
临床表现 胸腺癌 可见于各年龄段,但最常见于30~ 60岁成人,男性稍多。临床症状常继发于肿瘤对纵隔及周围结构的压迫、侵犯或远处转移;很少伴发重症肌无力或其他各种免疫介导的系统性疾病。预后较差胸腺类癌 发病年龄跨度较大(平均43岁),多见于男性(男女比例2 ~ 7: 1)。较支气管类癌更具侵袭性,经常转移至区域淋巴结、肾上腺、骨(成骨性转移多见)、肺、肝、脑。很少伴有经典的类癌综合征(< 1%)。约1/3胸腺类癌有功能活性,可引起库欣综合征(33%~40%)或多发内分泌肿瘤综合征(19% ~ 25%)。实验室检查血浆ACTH(促肾上腺皮质激素)及血、尿皮质醇常明显升高。预后差,术后易局部复发或转移
影像表现
胸腺癌影像表现为前纵隔大的肿块,通常边界不清楚,边缘不规则或分叶状,常侵犯并推移邻近结构。常有坏死、出血和(或)囊性变,10% ~ 40%在CT上可见灶状钙化。常侵犯心包、胸膜并出现心包和胸腔积液

胸腺类癌影像表现与常见胸腺上皮肿瘤相仿。当前纵隔肿块伴有库欣综合征时,诊断上应首先考虑为胸腺类癌。MRI上T2WI呈明显呈高信号,可能提示神经内分泌癌的诊断

鉴别诊断 侵袭性胸腺瘤:胸腺癌的侵袭性较侵袭性胸腺瘤更为明显,当出现神经受累(如膈肌麻痹)或淋巴转移、血行转移等征象时,往往提示肿瘤为胸腺癌或其他恶性肿瘤而不是侵袭性胸腺瘤。胸腺鳞癌通常缺乏包膜及瘤内纤维分隔;当肿瘤较大且瘤内缺乏分隔或结节状结构时,则支持胸腺癌而不是侵袭性胸腺瘤的诊断
胸腺增生
概述 胸腺增生可分为真性胸腺增生和淋巴样滤泡性增生 真性胸腺增生:为胸腺的大小和重量增加而组织学结构正常 胸腺淋巴样滤泡性增生:特指胸腺髓质发生淋巴小结样增生
病理 真性胸腺增生为胸腺体积增大,重量增加,而大体形态及组织学结构正常 胸腺淋巴样滤泡性增生,较真性胸腺增生多见,胸腺的大小和重量多在正常范围内,组织学示髓质内淋巴小结样增生,胸腺皮质受压变薄 由于胸腺大小随年龄变化较大,且在退化过程中个体差异也较大,其大小和重量的正常标准难以掌握
临床表现 真性胸腺增生有时可合并甲状腺毒症、Graves 病、肢端肥大症和红细胞发育不良。胸腺反弹(thymicrebound)为真性胸腺增生的一种形式。当人体遭受打击(疾病、化疗等)或肾上腺皮质激素水平增高可使胸腺迅速缩小,随后的数月内重新生长,称为胸腺反弹。多见于儿童及青少年,一些患者反弹生长过度可被误为肿瘤 胸腺淋巴样滤泡性增生见于60% ~ 80%重症肌无力患者,亦可见于许多免疫介导的疾病,如系统性红斑狼疮、类风湿性关节炎、硬皮病、甲状腺毒症及Graves病等。胸腺通常保持正常形态,可为正常大小或弥漫性增大,偶尔可呈局灶性肿块
影像表现 X线表现:可无阳性征象;或见胸腺增大而保持正常的三角形或帆形形态;偶尔也可向两侧纵隔膨出 CT表现:前纵隔脂肪内可完全正常,无或仅有少许条状、结节状软组织密度,或见大小在正常范围内的胸腺呈软组织密度,或见胸腺弥漫增大,保留正常轮廓,有时边缘膨隆,易被误诊为胸腺瘤 MRI表现:信号与正常腺体相似 临床上诊断胸腺增生需在CT图像上测量其大小。一般认为:20岁以下,正常胸腺的最大厚度是1.8cm; 大于20岁者,最大厚度为1.3cm,如在CT图像上测量胸腺,超过以。上标准者,被认为是胸腺增生

鉴别诊断 在重症肌无力患者中,增大的或有局灶性肿块的胸腺既可为滤泡增生也可为胸腺瘤。MRI化学移位成像对鉴别二者有帮助,正常胸腺和胸腺增生因弥漫脂肪浸润而在反相位上呈均匀衰减信号 对于纵隔淋巴瘤患者,在化疗时必须鉴别是胸腺增生还是有肿瘤组织残留。依靠CT或MRI往往难以鉴别,常需借助镓放射性核素扫描,因为镓会被淋巴瘤组织摄取,很少被纤维组织、坏死组织或成人的胸腺摄取,但小儿胸腺的摄取量相对会多些。在临床实践中,更多的是结合治疗过程与系列随诊影像做出判断
胸腺囊肿














食管囊肿
概述 食管囊肿是位于中纵隔的囊性肿物,属于肠源性囊肿的一部分,系先天性胚胎发育过程中的一种畸形,发病率较低。根据囊腔内层所覆的黏膜上皮不同,肠源性囊肿又分几种:覆有食管黏膜上皮者称为食管囊肿,覆有胃黏膜上皮者为胃囊肿,覆有肠黏膜上皮者为肠囊肿。当以上几种黏膜上皮混合存在时则称为混合性肠源性囊肿。在这三种肠源性囊肿中,临床上以食管囊肿最多见。食管囊肿最多见于儿童和20岁左右的年轻人,男性稍多,常合并有身体其他的先天畸形,如食管气管瘘、脊柱畸形等。
临床表现 食管囊肿的临床表现与囊肿的大小及部位有关。巨大的食管囊肿可占据一侧胸腔,压迫或阻塞呼吸道,尤其在胸腔入口和气管分叉部位,可造成明显的呼吸道受压症状。临床上表现有喘息、呼吸困难和反复发作的呼吸道感染。在幼儿严重者可出现极度呼吸困难、发绀,甚至窒息死亡。当囊肿穿破气管或支气管,可继发引起支气管扩张或肺脓肿。食管囊肿的另一种表现为食管受压症状,如吞咽困难、进食不畅、反流、呕吐、胸骨后疼痛、体重减轻,这种情况多见于成人患者。当然小的食管囊肿可没有任何症状,只是在体格检查胸片上,偶然发现纵隔阴影。体格检查多难以发现有价值的体征。
影像
1.X线胸片
胸部平片可见中后纵隔团块影,其边缘光滑,密度较淡,囊肿靠近后纵隔脊柱时,易与神经源性肿瘤或脑脊膜膨出相混淆
2.食管X线钡餐造影检查
体积较小的壁内型食管囊肿在做食管X线钡餐造影检查时,常有较为典型的X线征象:食管前壁的囊肿影像表现为局部食管壁有圆形或卵圆形的充盈缺损,边缘光滑,其上、下缘常呈缓行的斜坡状而非呈锐角,可与食管平滑肌瘤作鉴别诊断;正位食管钡餐造影片上,食管囊肿阴影的边缘比较锐利,其表面覆盖有正常黏膜相或黏膜消失;有时,钡剂经过病变处时有分流征象,也是诊断食管囊肿的依据之一。
3.CT表现
表现为圆形或管状水样密度肿块(图15-16-1)。如囊液蛋白含量高则CT值可较高,位于食管周围或食管壁内,可与食管、气管相粘连,增强后囊壁强化,囊内容物无强化

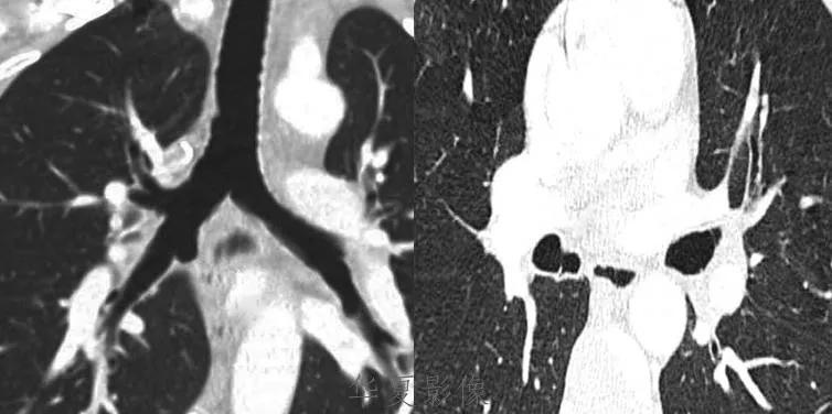
气管憩室
概述 气管憩室是由气管局部先天性缺陷薄弱处膨出的一种良性病变,气管憩室一般见于气管的后壁,既气管软骨环的缺口处或气管的膜部,憩室常有较狭窄的颈部。病变一般偏于右侧,因气管左后壁与食管紧邻,不易发生。 憩室壁与气管壁结构相仿,可缺乏软骨成分。 影像表现 CT表现为气管旁边的不规则或类圆形极低密度影,低密度影与气管腔内气体密度一致,连续薄层扫描可发现低密度影与气管之间有一较细的管道相连,该征象具有特征性。 MSCT可见与气管相连接之囊袋状影。
