走路时关节疼这种问题我们通常要分成两种情况来处理,其一是由于行走时间过长,关节过度劳累导致的疼痛;其二是由于关节内有病理性的改变,比如半月板损伤关节内软骨损伤才会导致走路时的疼痛,接下来我们聊一聊这两种情况应该如何正确对待。

由于行走时间过多,行走的距离过长导致的关节疼痛该怎么办
正常人每天行走1万步到15,000步,这个数量是可以的,但是如果行走过多,尤其是老年人,那么就有可能在行走的过程当中,关节周边的肌肉、韧带受到过度的刺激,出现紧张、痉挛就会出现明显的疼痛。
那么这种由于过度劳累导致的疼痛,如果无法改变需要行走很久的生活方式,那么在生活当中,就需要注意一些事项:
第一,如果每天都要行走很远的距离,那么建议在行走的时候可以带一个简单的护膝。不要选择过贵的护膝,一般的就可以了,主要是在行走的过程当中帮助我们稳定关节,减少在长时间行走的过程当中周边软组织受到的刺激,关节疼痛的症状也就会有一定的缓解。但是切记平时不要带,因为长时间的佩戴护膝很有可能会导致肌肉的萎缩,反而会加重关节疼痛的病情。

第二,在行走以后休息的时间记得回家洗个热水澡。因为过度的劳累,会在软组织周边沉积一些乳酸,导致肌肉出现酸痛,关节会出现不舒服,泡个热水澡可以促进局部的血液循环,帮助乳酸的代谢,这样第2天行走症状就会有明显的减轻。
第三,学会拉伸。既然长时间的行走会导致关节周边肌肉韧带的紧张,那么我们就要学会与之对抗,最好方法是什么呢?那就是拉伸。在劳累过后,坚持给予我们的关节做拉伸,可以很好的缓解劳累,以后带来的紧张和痉挛,而且我们都听说过“筋长一寸、寿长十分”,本身坚持做拉伸,就是对我们的身体和关节很好的一种保养,无论任何年龄坚持做拉伸,都可以使我们的关节维持一个非常好的灵活度,更好的适应在生活当中的使用,以下是一些拉伸的办法,不一定每个动作都适合所有人,大家可以选择适合自己的动作,坚持下去:


第四,学会自我按摩。按摩也是松解紧张肌肉非常好的一种办法,尤其是在洗完一个热水澡以后,做一做肌肉的按摩对于缓解一天的疲劳是非常有好处的。而且现在网络比较发达,大家可以在家里备一个泡沫轴,这是对于松解大腿、小腿以及膝关节肌肉特别好的一种康复设备,谢医生家里也常备了一个,网上也有很多利用泡沫轴,松解肌肉的教程,非常简单,肯定是一学就会。

如果是稍微走一走就出现膝关节疼痛,最需要的是查明原因。
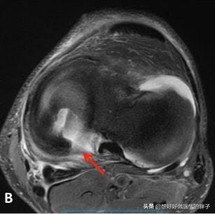
在临床上行走一段时间就出现明显的关节疼痛,或者是只要一走就关节疼痛的情况,多数都见于半月板损伤或者是关节软骨损伤。
半月板是位于我们关节内非常重要的一种缓冲结构,它是一种软骨结构,在我们的膝关节内,有两块分别为内侧半月板和外侧半月板,而在半月板的两侧是股骨远端以及胫骨近端的关节软骨,半月板以及软骨共同构成了我们膝关节的缓冲系统,这样我们的关节才可以润滑的做关节的屈伸运动或弹跳等这些沉重的运动。

但是由于体重过度使用以及外伤等原因会导致半月板发生退变或者是破裂。这样患者就会表现出明显的行走时疼痛,有一些患者会出现关节的肿胀,而且会出现不能正常蹲起等症状。
那么如果出现了这种症状,我们需要的不是怎么样护理,而是首先要明确病因,要知道关节内的半月板以及关节软骨是否发生了损伤?这样我们就必须要进行膝关节核磁检查明确关节内的具体情况。

如果核磁显示半月板整体的形态还算良好,那么我们完全可以采取休息以及康复锻炼等办法帮助患者缓解症状,而如果半月板整体的形态有了明显的改变,那么说明半月板发生了三度撕裂,这种情况一般要进行关节镜手术治疗,才能帮助患者解决问题。


我们假设患者是一度、二度的半月板损伤,不需要手术治疗,那么应该如何保护自己的关节呢?
第一,千万不要绝对不动,而是要适度的活动,每天行走4千到五六千步是完全可以的,记住行走时速度不要过快,而且尽量要少上下楼梯或者走坡路,减少对于半月板的刺激。为什么要让患者活动呢?因为如果长时间的不活动,会带来肌肉的萎缩,而肌肉一旦萎缩会导致关节的不稳定,增加关节炎发生的可能性,而且一旦萎缩恢复起来特别慢。所以在维持患者的肌肉条件和半月板损伤之间,我们必须要做到平衡。
一般怎么判断半月板损伤的病人在行走的量是否过大了呢?因为每一个人个体情况是不同的,对于疼痛的耐受也不同,一般我们判断的标准是,如果行走3000~5000步以上,第2天关节疼痛超过两小时,那么就说明过量了,就需要减量。
第二,可以关节内注射玻璃酸钠。谢医生是比较推荐半月板一度2度损伤患者进行关节内注射玻璃酸钠的,因为玻璃酸钠本身就是关节内存在的一种成分,尤其富含于关节内的软骨当中。半月板损伤以后,虽然整体的结构看起来是好的,但是内部的纤维结构可能有一定的损伤,那么此时通过外源性的注射玻璃酸钠给予软骨的营养成分进行一定的补充,是比较有好处的。在临床上很多患者也因此受益。

第三,护膝戴不戴?针对于半月板损伤的病人,本人的观点和处理劳累导致的关节疼痛不一样,个人建议有半月板损伤的患者尽量不要佩戴护膝。为什么呢?原因很简单,还是为了避免肌肉萎缩,因为本身半月板损伤了以后,患者行走的速度和频率就会有明显的下降,这对于肌肉的刺激本身就有了明显的下降,那么如果在行走的过程当中再佩戴护膝,很可能会加速患者的肌肉萎缩。但是万事都不是绝对的,如果半月板损伤的患者在某次行程过程当中,预估自己可能会行走时间比较长,那么可以佩戴护膝。
第四,加强膝关节肌肉的康复锻炼。很多人认为半月板损伤以后,还要做关节的康复锻炼,是一种负担,会加重对半月板的损伤!这种想法简直是天大的错误,只有加强了我们关节的肌肉,这样我们的关节才会变得更加稳定,半月板受到的刺激也就会减小,这样反而会给予半月板更好的支持,而且对于患者的愈后也有非常好的作用,以下就是一些康复锻炼的方式:
初级锻炼:





中级训练:



高级训练:

以上这些锻炼方式要以初级锻炼为基础,适应初期锻炼,关节没有特殊症状以后再进行中极锻炼,也就是抗阻训练,等待抗阻没有任何问题,并不会出现明显关节疼痛的时候,可以适当的做高级训练,也就是静蹲训练。如果静蹲训练出现明显的关节疼痛,休息之后不能缓解,那么证明不适合,就不要做了。
只有真正的加强我们关节周边的肌肉,才会更好的保护我们的关节,这些肌肉才是我们真正的护膝!
总结
行走以后出现关节疼痛,千万不要小觑,很有可能是关节存在着半月板或者是关节软骨的损伤,最好要做核磁检查,明确是否存在问题。
如果存在关节炎的问题,要进行科学的保养,要进行科学的康复锻炼,适当的用药,更好的帮助自己保护关节。如果大家还有其他的疑惑,可以在下方留言,大家共同探讨。
我是坚持用简单语言解释复杂疾病知识的谢新辉,码字不易,如果您赞同我的观点,请帮忙点个关注或点个赞吧,如果您或者是您的家人朋友也有这方面的困扰,请把这篇文章转发给需要的他们吧,谢谢了!

#健康真相馆# #真相来了# #闪光时刻# @头条健身 @中医汇 @青云计划 @健康真相官 @头条养生 @头条健康 @头条辟谣 @清风计划