儿童矫牙:矫正托槽老掉怎么办?
孩子刚箍牙,老说不舒服,怎样才能缓解呀?
托槽老是掉,每次都要复诊,好麻烦!
孩子吃完东西之后不愿刷牙,都长蛀牙了!

为了让孩子日后能拥有整齐的牙齿,很多家长在发现孩子牙颌发育不齐之后就让其接受了牙齿矫治。本以为只要给孩子戴上牙箍就没事了,谁知道在矫牙期间会有各种麻烦事儿。
牙齿矫正需要一定的时间,在这看似漫长的过程中有很多事情需要家长们注意的。
孩子刚箍牙感觉不舒服怎么办?
在刚开始箍牙的那几天里,牙齿出现酸疼症状是十分正常的,因为矫牙就是通过借助牙箍的外力来让牙齿移位。对于这种不适症状,家长可以让孩子含住冰水进行缓解,并且尽量以软食为主。
矫正托槽老掉怎么办?
矫牙托槽脱落是常见的问题,将矫牙医师的技术不精排除之后,就是矫牙患者的护理不足了。在矫牙期间,患者最好尽量少吃坚硬的食物,比如少啃排骨,吃苹果的时候先切块。

注意:矫正托槽脱落需要及时回院处理,将托槽重新安装,以免影响到矫牙的进度和效果。
矫牙期间孩子不愿刷牙咋弄?
儿童矫牙期间牙齿口腔护理非常重要,若不及时将食物残渣清除,牙龈炎、龋齿等问题将会相继出现。对于矫牙期间不愿意刷牙的孩子,家长们应有足够的耐性,告诉孩子好好刷牙的重要性,也可以为孩子准备童趣的刷牙用品。
注意:儿童矫牙期间,每次餐后都需要刷牙,并且配合使用齿间刷。
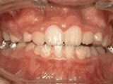
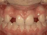
1、龅牙,前牙突出,个别牙齿扭转,通过专业评估,上下两侧各拔牙一颗后,经过矫正是变成这样的~

2、牙列不齐,牙齿异位,咬合关系紊乱,影响正常发音和正常咀嚼,经过矫正后是变成这样的~

3、牙齿拥挤,个别牙异位,牙弓狭窄,导致局部牙齿重叠生长,两侧各拔牙一颗后,经过矫正是变成这样的~

4、牙列拥挤,前牙没有咬合,上下牙齿中线不对称,牙弓狭窄,上颌“*牙虎**”异位生长,经专业评估没有拔牙,经过矫正后的牙齿是这样的~

5、开合,上下牙齿没有接触没有咬合,前牙没有咬合功能,无法咬切食物,会影响发音,经过矫正后的牙齿是这样的~

6、深覆合,咬牙时上牙全部覆盖下牙或覆盖过多;常出现,面容下三分之一过短,微笑时上颌露出牙龈过多,影响美观,经过矫正的牙齿是这样的~

7、牙列稀疏,个别牙齿先天缺失,导致牙列稀疏,散在间隙影响美观影响咬合,经过矫正后的是这样的~

8、前牙反合,俗称“地包天”,也就是咬牙时,下牙盖住上牙,正常情况应该是上牙盖住下牙,经过矫正后的牙齿可以变成这样的~

9、牙列稀疏,个别牙齿反合,对刃咬合容易造成牙齿损伤或过度磨耗牙釉质,经过矫正后的是这样的~

10、深覆盖,咬合时,下前牙咬在上牙内侧牙肉上,容易造成牙齿和牙肉损伤,咬合功能差,经过矫正后的牙齿是这样的~

看完上面动图,是不是觉得很直观?看了这些图想要矫正的朋友是不是就安心了?当然,由于每个人的具体情况不同,所以还是要听从专业的正畸医生的建议
牙齿矫正需经历哪些过程
在平常生活中,一些爱美的人们牙齿不整齐不好看大多数都会选择做牙齿矫正,但你知道牙齿矫正的过程是怎样的吗?下面一起看看。

牙齿矫正的过程?
拍片、制模
首先需要拍片牙齿头部骨头的照片以便能看见牙齿骨骼的发展方向,方便以后制定合适的矫正方案,以后好制膜备用。

拔牙
医生会给患者制定方案,都是分几次拔牙,每个人跟每个人的情况都不同,有的人需要拔掉4颗牙齿,有的智齿多的,比较密集的就是拔8个,有的就不需要拔牙,磨牙就可以了,如果有蛀牙的都会先补好,有牙结石的先清洁。

上牙套
前面的程序弄好以后就可以上牙套了,刚上牙套可能会有点不适应,有酸软的情况或者磨嘴,这都是正常情况,过了适应期就好了。

复诊、调型定型
般是一个月复诊一次。具体时间医生会与你商量。复诊一般情况就是给你加力,好让牙齿快点移动。所以复诊的第一个星期,可能会有点酸软,以后就好了。收牙缝的时候也是就调中线的时候,等牙缝收好了,中线。
一般是一个月复诊一次的,医生会根据你自身的情况商量什么时候复诊,一般就是过来看看牙齿矫正的情况,加加力什么的,收牙缝的时候就是调中线。

摘牙套、佩戴保持器
一般成年人矫正牙齿,后期需要注意保持定型,所以保持器是肯定需要戴的,按正常的来说保持器都是前半年24小时戴,以后就可以缩短佩戴的时间。
牙齿矫正的最佳时期是什么时候?
一般来说10~15岁左右做牙齿矫正最好。
一般这个时期矫正牙齿是最好的,因为面部正在发育,这时候矫正有利于生长发育的潜力,能保证牙齿移动和牙槽骨修改到最佳状态,效果最好,时间也短。
牙齿矫正不分年龄的限制,只要牙齿的条件健康,牙齿矫正跟年龄没多大的关系,只要身体健康,没什么疾病的,都可以矫正,但是到一定的年龄比如有心脏病的老年人,就不建议 在 矫正了,因为此时的牙齿脱落什么的都是正常的。