(声明:本文仅用于科普用途,为了保护患者隐私,以下内容里的相关信息已进行处理)
几天前闲来无事,打开了久违的电视,刚好*放播**着一档糖尿病科普相关的节目,想着寓教于乐,便有滋有味的深陷其中。其中节目中引用2013年的调查研究显示:我国是糖尿病大国,约10.9%的人处于疾病状态,还有35.7%的人处于疾病前期。
这个数据顿时让我一惊,当体内血糖指标升高,会危害血管健康,进而导致肾脏、视网膜等多脏器损伤,严重影响患者生活质量。我心中顿时回忆起几年前收治的一位高龄、有三十多年糖尿病史的子宫内膜癌患者与病魔斗争的场景。
一、初识患者
2年前我接诊了一位77岁的老年女性患者,就诊时老人是家属推着轮椅进入诊室,老人一头白发、满脸皱纹、神情木讷,稍显沧桑,看上去似乎比实际年龄要长上十岁。与家属交谈中得知患者是一位在当地非常知名的人民教师,可以说是桃李满天下,糖尿病病史有三十多年,血糖控制的并不满意,小腿、足部以及肾脏都出现了不同程度的损伤。
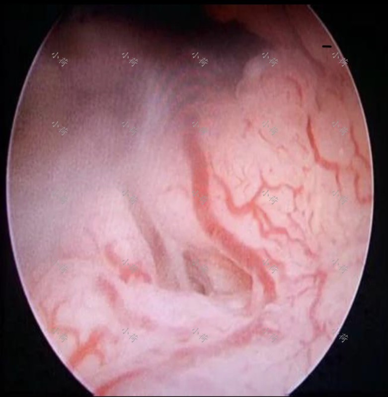
近两年老人膝关节退行性病变严重,并且时常犯糊涂,几乎丧失了自理能力。好在儿女们把老人家照顾的很周到。就诊前3个月,绝经多年的患者出现了少量阴道出血,并且血量有增多趋势。行妇科超声提示子宫萎缩欠佳、子宫内膜增厚,肿瘤标志物提示CA125轻度升高,外院行宫腔镜分段诊刮病理回报提示子宫内膜癌(图1),辗转多家医院后就诊于我院,诊断:子宫内膜癌I期?

图1 子宫内膜癌宫腔镜下所见
二、患者的治疗过程
考虑到患者行动不便、且基础疾病复杂,故将患者收治入院完善相关检查。虽然术前子宫内膜癌诊断相对明确,手术治疗无疑是最理想的选择。但随着入院化验结果回报,患者能够耐受手术的几率也越来越低。由于长期的糖尿病,血糖控制不佳,患者已经并发糖尿病肾病,肾功能受损;同时因糖尿病及高龄,患者抵抗力低、易感染;阴道流血3月已导致贫血;心肺功能评估也提示患者存在冠脉轻度狭窄及老年性肺脏改变;此外患者骨质疏松严重,甚至是术中妇科手术所需的特殊体位对患者来说都有骨折的风险。能否耐受复律手术是患者家属和医生共同担心的问题。阴道出血已经严重影响了患者的生活质量,并且容易导致难以控制的感染及出血风险。
为解决患者问题,我们组织了全院多学科专家会诊,共同就手术的可行性与否、是否存在手术禁忌、具体的手术及麻醉方案及术后治疗护理进行讨论。经过术前一周的充分准备,患者接受了全麻腹腔镜下筋膜外全子宫+双侧附件切除手术,手术持续1小时,术后患者返回监护室治疗,一日后返回普通病房治疗。术后恢复良好,术后一周腹部伤口拆线、顺利出院,术后病理提示为高分化子宫内膜样腺癌,腹腔冲洗液未见癌细胞。术后未进行放化疗,定期复查,至今未发现肿瘤复发转移。
......
未完,见下篇
点击下方“了解更多”继续阅读该文章下篇
《三十年糖尿病史的高龄女性,确诊子宫内膜癌【下】》
⇩⇩⇩