腹部彩超主要指肝胆胰脾部位的超声检查。(部分医院是包含肝胆胰脾肾)
肝胆胰脾肾也是常规体检建议必选的一个项目。

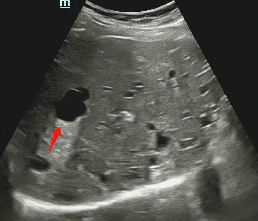
肝囊肿
腹部超声都能发现些什么?能不能发现癌症?
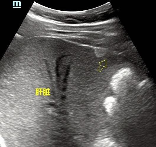
腹部超声主要对肝胆胰脾肾这几个器官进行观察,观察它们的形态大小,观察它们是否有其它占位。
肝脏较常见的良性占位有肝囊肿、肝内血管瘤。

恶性肿瘤(肝癌)也是能够发现的。

但超声只是通过病变的超声特点进行倾向性的诊断,具体是哪种肝脏恶性肿瘤,还需病理活检。

有的患者朋友在发现肝脏占位后不愿意做活检,其实还有别的办法可以帮助鉴别。
除了CT、核磁增强外,还有超声造影,超声造影也可在动态观察占位的血供情况,从而进一步诊断。
除了常见的肝脏肿瘤以外,胆囊、胰腺、脾脏、肾脏的占位都是具有重要意义的。

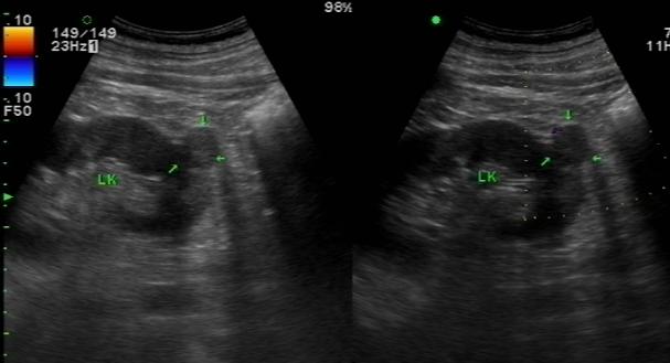
肾脏透明细胞癌
当然也不是所有的癌症都能发现,比如如果因受检查者腹腔气体干扰重,超声的图像质量就较差,超声就看不太清楚,这样的朋友建议除了超声检查以外,可以在体检时选择腹部CT或核磁,交替者检查,这样能获得更多信息,及时了解自身情况。
作为超声医生其实每每见到初次检查出来恶性肿瘤的患者我都非常难受,肝硬化或肝癌患者大多有乙肝、或长期大量饮酒的病史,尽管部分人虽然携带乙肝,却永久不发病,但我希望大家不要心存侥幸。
如有乙肝,应到正规医院的感染科或消化科或肝胆外科咨询治疗意见,定期复查肝功,定期到上述门诊科室复查,尽量将不好的东西扼杀在萌芽状态。
勤锻炼,有好的身体,才会有更好的未来。
如您还有其它超声问题,欢迎在评论区留言。