大脚骨找对人,17年经验听我讲故事,大家好,我是大脚骨手术医生,欢迎你的关注,今天继续和大家分享我的大脚骨手术案例故事,以及拇外翻科普相关知识。这是一个来自江西南昌的大脚骨案例,你见过这样的脚吗?拇外翻伴有第二趾开始出现蜷曲,她其实多个趾头都有开始出现蜷曲。

江西南昌大脚骨
因为拇趾外翻的偏斜挤压,第二趾最先开始受到影响,蜷曲,逐渐开始就发展成为锤状趾,第四趾蜷曲也明显。当然还有个别跖骨发育不良呈现的个别趾头情况,不在这个范围内。
大脚骨凸起局部有点发红,这个局部发红就是拇囊炎,凸起局部的拇囊炎其实很多的大脚骨疼痛就是因为拇囊炎的疼痛,而大脚骨局部的疼痛和大脚骨的轻重程度不一定成比例,所以有很多的拇外翻朋友并不一定有严重的疼痛,这个疼痛程度和拇外翻程度不一定成比例。

大脚骨凸起
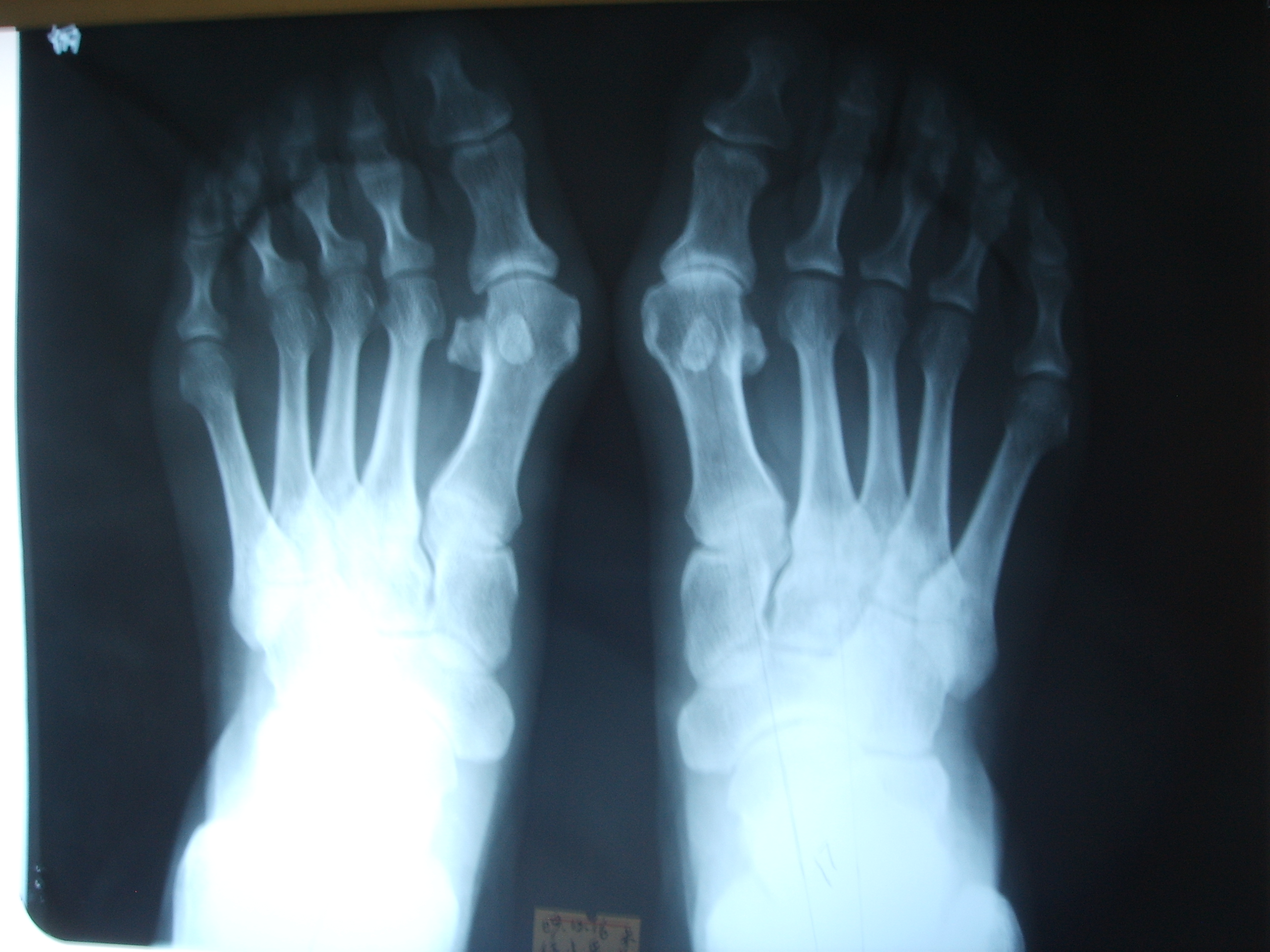
她的左脚第一跖骨有明显的骨赘,第一跖趾关节半脱位,右脚第一跖趾关节脱位没有左脚明显,第一跖骨头下方的籽骨有相对移位,其实她还不算太严重,但是她因为第一跖骨头骨赘明显,所以就会疼痛相对更加严重,拇囊炎也会明显,接下来我们看看她术后的模样。

大脚骨术后
这是她术后的双脚情况,大拇趾变直了,凸起也消失了,不过术后刚刚拆完包扎还是有点肿呢,这个肿胀大约会维持一段时间,凡是做了截骨矫正的,其后续可能会持续反复肿胀3个月甚至4个月,逐渐缓解,不过她的第二趾蜷曲还是明显。
更多关于拇外翻的相关问题,欢迎评论留言。