龋齿,也就是人们常说的虫牙、蛀牙,是大家最熟知的一类口腔疾病。它是发生在牙齿的慢性细菌感染性疾病,与细菌、食物以及宿主易感性等有关。龋齿一经发现,应尽早治疗阻止其发展,否则越拖延,治疗起来越贵!
牙齿的结构
牙齿主要由表层的牙釉质(牙根部表层的牙骨质)、深层的牙本质和中间的牙髓组织构成。

龋齿的发展
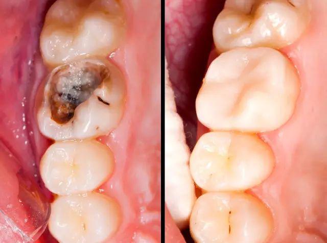
浅龋 早期龋齿仅波及牙釉质,在釉质的表面出现大小不一的黄褐色斑点,一般无症状,常常不易被察觉,大多数患者在口腔检查时才发现。这一期的龋齿成为浅龋。 中龋 当龋坏进一步发展,波及牙本质浅层时,称为中龋。此时龋病进展快,易形成龋洞,呈黄褐色或深褐色。患者可有临床症状,常常表现为酸甜饮食或过冷过热饮食时牙齿感到酸痛,刺激去除后酸痛感立即消失;也有部分患者没有临床症状。 深龋 若此时未得到有效控制,龋坏可继续向深层组织发展,当进展到牙本质深层时为深龋,牙齿出现很深的龋洞,食物可嵌入洞中。此时临床症状更为明显,刺激时产生的疼痛更剧烈,食物的压迫也会产生疼痛。 由于深龋离牙髓比较近,龋洞内的细菌和细菌所产生的毒素容易渗透到牙髓组织,可能引起急性牙髓炎,使患牙发生剧烈疼痛。 牙髓炎、根尖周炎 龋病的持续发展,可使牙冠因龋蚀而破坏,成为残冠。随之,牙髓也因炎症而发生坏死,患牙的疼痛感觉反而减轻或消失。龋齿中的细菌可通过牙髓向根尖扩散,引起根尖周炎。 龋齿发展到最后阶段是牙冠完全被龋蚀破坏,留下残根。 不同阶段的治疗
早期的龋齿,处于浅龋和中龋阶段时,则只需“补牙”,即去除龋坏的牙体组织,再用牙科材料进行充填治疗。此时治疗效果好,费用相对便宜。
当龋齿发展为深龋时,外界刺激极易激惹牙髓产生疼痛,此时则需要进行衬洞、垫底等操作,隔绝外界刺激后,再进行充填治疗;有时为防止去龋时穿髓,可能会需要患者不止一次的就诊,增加了治疗时间和费用。

若龋齿已经发展为牙髓炎、根尖周炎或深龋治疗后患牙疼痛,此时常规的补牙治疗已不能解决问题,需要对患牙行根管治疗,消除炎症,保存牙齿。根管治疗操作复杂,精度更高,对医师的技能水平要求更高,相应的费用也会更高,并且需要多次就诊。
如果此时再不治疗,病变进一步发展,牙齿大部分被龋蚀破坏,留下残根,或者引起颌骨骨髓炎,牙齿脱落缺失,影响咀嚼功能,则需要消除炎症后,行修复治疗,即常说的“镶牙”。 因此,患了龋齿应尽早修补,及早恢复牙齿的功能,保持牙列的完整。若不及时治疗,病变就会逐步进展,从浅龋发展到深龋,进一步波及牙髓组织、根尖周组织,引起根尖周炎,最终牙齿完全破坏,甚至脱落缺失,真牙变假牙。总之,龋齿应尽早治疗,越拖延,治疗起来越贵!