近日,福州市一对父母带着年仅4个月却患上左侧肾母细胞瘤的茜茜(化名)到福建省福州儿童医院肿瘤外科接受治疗。据了解,茜茜是家里的第二个孩子,在她2个多月的时候,妈妈就发现女儿肚子比别的小朋友鼓起,当时也没太在意,直到最近发现茜茜肚子越来越大,才赶紧到医院检查,结果竟是患上了左侧肾母细胞瘤。原本一家四口日子过得并不富裕,但却其乐融融非常幸福,4个月前小女儿的降生,更是给这个家庭增添了不少快乐。但眼下,茜茜突然患病,把这个家庭的平静彻底打破了。
经过医院副院长林芃主任医师细心检查,茜茜的腹部可触摸到肿物,直径约10厘米,几乎占满了宝宝的肚子,考虑为左侧肾母细胞瘤。肿瘤还在继续生长,有破裂的可能,情况紧急,必须尽快进行手术治疗。随后,肿瘤外科医师团队认真为茜茜进行详细的术前检查,制定具体的治疗方案。

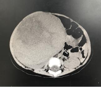
经过充分的术前准备,林芃主任医师在茜茜的左侧腹膜后发现大小约10.1cm×9.5cm×8.6cm,呈暗灰色的巨大肿物,肿瘤已经把左侧肾脏给“吃掉”了。由于瘤体、肾脏血管及输尿管错综复杂,切除肿瘤过程必须更加严谨和审慎,稍有不慎就极有可能损伤重要血管,引起大量出血。

林芃主任医师与刘昇医生沉着冷静、仔细操作,电刀逐步凝切肿物,结扎血管……就这样,在医护团队的默契配合与层层推进下,历时1小时左右,肿物被完整地切除了,且出血很少,手术顺利地结束。

孩子得了肾母细胞瘤有救吗?
虽然肾母细胞瘤是婴幼儿多见的恶性实体瘤之一,但也是应用现代综合治疗最早和效果最好的恶性实体瘤,因此,家长千万不要误以为“肿瘤”就意味着不可治。只要早期发现、早期诊断、早期治疗,这种肿瘤对化疗比较敏感,如若治疗及时、化疗有效,可使得肿瘤缩小继而做手术切除。目前肾母细胞瘤患儿长期存活率可达80%以上。
因此肾母细胞瘤大多数情况下是可以治疗的,家长务必要提高警惕,可以通过抚摸小孩的腹部观察是否有肿大的包块,一旦发现异常,或是孩子出现不明原因肚子痛,血尿等症状时,应及时就诊,延误时间会增加治疗困难和失去治愈的机会。所以大家无须谈瘤变色,一定要正确积极对待,争取及早还孩子一个健康身体!

关于小儿恶性实体肿瘤,这些细节妈妈别忽视
随着感染性疾病死亡率的下降和先天性疾病治愈率的提高,小儿恶性肿瘤已成为小儿死亡的主要原因之一,早期发现和正规治疗是提高治愈率的关键。
1、孕期环境污染是主要诱因
小儿恶性实体肿瘤是一系列疾病,多为胚胎性肿瘤,包括神经母细胞瘤、肾母细胞瘤、肝母细胞瘤、髓母细胞瘤、视网膜母细胞瘤等。这些病的发病原因很多,多为环境与遗传交互作用的结果。由于儿童接触环境致癌因素的时间比较短,目前认为遗传背景和孕期的环境污染作用比较重要。如早孕期母体接触某些化学物质,苯巴比妥、乙醇等,还有存在于环境中的一些雌激素,如杀虫剂、洗涤剂、塑料、燃烧产物等。此外还有食物污染,如亚硝酸盐、黄曲霉素、残留农药以及铅、汞、镉类重金属等的危害。
2、家长观察细致才能早发现
小儿肿瘤在早期往往没有明显异常表现,需要家长及医务人员耐心细致的观察。
3、关注孩子的腹部情况
位于体表的肿瘤往往一眼就能看到,但是孩子的肿瘤很多是位于腹腔、盆腔、腹膜后,等发现腹部明显肿大时已是晚期,因此在孩子熟睡、给孩子洗澡、换衣服时,家长要经常摸摸孩子的肚子。
4、不能忽视体表小肿块
许多恶性肿瘤患儿在两侧颈部、枕后、耳后或两侧腋窝可扪及小肿块,大多数是肿大的淋巴结,淋巴结是人体的免疫器官,在遇到细菌、病毒、肿瘤等侵犯时会肿大,其中95%以上是局部细菌、病毒感染所致,是不需特别处理的,但是如果肿块成串、成块生长、质地硬、轻压不痛,要引起高度重视。
5、密切观察异常表现
小女孩(7~8岁以前)出现乳房肿大、阴道流血,男孩乳房肿大,说明激素水平有问题,可能是脑垂体、肾上腺或卵巢的肿瘤。

儿童出现哪些症状可能是患有肿瘤的前兆?
(1)腿痛
很多孩子都曾有间歇性的腿痛,大多数为生长痛,或运动拉伤所致,但是少数腿痛是腹膜后肿瘤压迫神经所致,所以当孩子腿痛、走路跛行,且进行性加重,最好做个腹膜后彩超或CT,以明确诊断。
(2)大小便异常
腔内的肿瘤压迫直肠表现排便困难,大便变扁、变细,压迫尿道表现排尿困难,或呈点滴状。
(3)消瘦、面色苍白、食欲下降、精神萎靡
往往是恶性肿瘤晚期的表现。
(4)不明原因的发热
特别是经抗病毒或抗生素治疗无效的发热,要警惕恶性肿瘤的可能。
(5)不明原因的出血
包括牙龈出血、皮肤出血点或瘀斑等。
(6)较长期的疼痛
疼痛可以是持续性或间歇性,如头痛、腹痛、关节痛等。
(7)不明原因的高血压
肿瘤压迫肾动脉可导致高血压。此外,肿瘤细胞分泌血管活性物质也可造成高血压。要早期发现母细胞瘤,出生3个月内做个体格检查很有必要,其中必须包含腹部B超。以后每年体检1次,建议直到5岁。因此,家长对儿童的仔细观察或定期到医院进行健康体检,对于儿童恶性肿瘤的早期发现至关重要。
医生提醒:儿童预后较成人肿瘤好很多
部分母细胞瘤在胎儿期就已经存在,可以通过产前或出生后彩超追踪观察,所以定期产前检查很有必要。
现实生活中,很多人认为肿瘤是老年病,小儿不会得恶性肿瘤。还有人认为肿瘤治愈不过再活三年五载,孩子治了也活不到成人等。事实上,小儿恶性肿瘤治愈率比成人的要高很多。因此一旦发现肿瘤要积极正规治疗。
综合治疗是目前小儿恶性肿瘤治疗的常规,即根据不同时期的肿瘤分别采用:手术切除、化疗、干细胞移植、放疗、免疫治疗等,大大提高了肿瘤治愈率。
来源:福建省福州儿童医院
01