
从一个很小的切口摘除了一个比切口大得多的肿瘤,这似乎听起来有点不可思议,但康雅医院心胸外科通过胸腔镜微创技术确实做到了。
患者李某,男,因在体检时发现前纵隔内有一巨大肿物,于2017年7月24日慕名而至康雅医院就诊。当时患者及家属极其担心是不是纵隔内长了一个"癌",患者思想负担很重,既担心肿瘤是恶性的,又担心手术创伤的痛苦。心胸外科团队接诊后,通过详细检查及充分的术前评估,决定为患者行胸腔镜微创手术摘除纵隔肿瘤。征得患者及家属同意后,很快便于2017年7月27日在全麻下顺利完成手术,历时仅二小时不到,术后患者当即就拔除了气管插管并全麻苏醒未进重症监护室,而是直接顺利返回病房,术后第二天患者就下床自由活动了。因为是美容缝合伤口,术后也无拆线的烦恼。患者术前对手术疼痛的担心术后当即就完全消除了,患者术后的自我感受非常好。

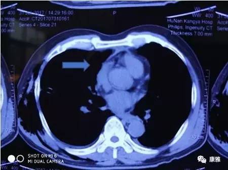
图1术前胸部CT(肿块为箭头所指处))

图2术后胸部CT(箭头所指处肿瘤消失)
术后摘除肿物实测大小5X8cm左右,而手术切口却不到3cm。“这怎么切下来的?切口这么小,瘤子那么大”,术后患者家属简直不敢相信。“肿瘤确实比切口要大得多,但肿瘤组织仍有一定的韧性可以塑形,将切下的肿瘤用专用标本袋装好后通过适当牵引就可以从小切口扯出。以前没有胸腔镜时手术切口要比肿瘤大,有时甚至还要切断一部分肋骨。现在有了胸腔镜,通过小切口也能摘除大肿瘤,这是科技给患者带来的福音。”心胸外科聂政波主任的回答让患者家属惊喜之余,更是佩服的竖起大拇指连连称赞。

图3术后手术切口(箭头所指处)

图4术后手术切口(箭头所指处)
胸腔镜微创技术是近年来新开展起来的一项胸外科前沿技术,具有创伤小,出血少,疼痛轻,显露清晰,操作精细等技术优点,是康雅医院心胸外科专科特色技术。目前康雅医院引进多台进口全新腔镜系统及全套进口微创器械,为心胸外科的发展提供了强有力的硬件支持,心胸外科目前已顺利开展多台胸腔镜下气胸肺大疱切除修补术,肺癌根治术,纵隔肿瘤切除术等,不断追求让患者创伤降到最小,痛苦降到最低。心胸外科未来仍将为更多的患者提供更好的优质医疗服务。

康雅名医

聂政波
心胸外科主任
南华大学医学院临床医学专业毕业‖副主任医师
中国心胸血管外科学会会员‖省级心胸外科学会委员
擅长肺/食道/纵膈/乳腺/胸壁等肿瘤的诊治及胸腔镜下的微创手术治疗‖熟练开展包括风心病心脏单或多瓣膜置换/房(室)间隔缺损修补/法乐四联症的治疗/动脉导管未闭等先心病的手术矫治/冠心病的冠脉搭桥等体外循环下心内直视手术
获市级科研成果奖4项‖发表学术论文15篇
通讯员: 曾剑 黄丹
编 辑: 姚旦

长按指纹
一键关注

↓↓↓