来源:云南省肿瘤医院放射科 病史:患者,女性,31岁,3年前妇检发现盆腔囊肿,经阴道穿刺抽出透亮液体约10ml,以后定期检查,盆腔囊肿无消退。
妇检:阴道穹窿前方扪及约3.0cm×4.0cm的包块,界清,弹性感,活动欠佳,无压痛。
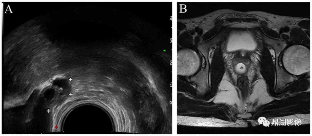
超声:膀胱后壁后上方宫颈前唇及阴道上段区域囊性占位病变,性质待查。





术中:膀胱后方宫颈前方约4.0cm×3.0cm的囊性肿块,子宫双附件无异常。切开膀胱与子宫间腹膜,在此间隙至囊性包膜,在包膜外分离囊肿,游离至宫颈处见囊肿与宫颈及阴道穹窿粘连紧密无法分开,连同部分阴道后壁及宫颈完整切除囊肿。
病理
肉眼所见:囊肿大小约4.0cm×3.0cm×3.0cm,切开后流出清亮液体约30ml,包膜完整光滑,内壁光滑。(盆腔肿块)囊肿,多考虑副中肾囊肿。

诊断依据
定义及相关
副中肾管也称苗勒管,胚胎约8周时,左右苗勒氏管相互融合,女性分化成为生殖器官,在男性退化成苗勒氏结节突起,即精阜,残留小管退化不全并扩张成囊即为苗勒氏管囊肿,又称前列腺囊肿。
苗勒氏管囊肿均位于精阜水平以上,有时向上可超出前列腺的轮廓,好发于男性,尤其多见于膀胱及前列腺后面附近。年轻女性以腹膜后苗勒氏管囊肿多见,其发生机制为腹膜后组织内可能包含异位的苗勒氏管残余,在异常激素刺激下具有生长潜能。
一、临床表现
大多见于男性,年龄多在20~40岁,好发于骨盆,尤其多见于膀胱及前列腺后面附近,临床上可引起排尿困难、尿频、尿潴留及腹部包块等;肉眼所见其大小不一。
巨大的囊肿可含5000ml液体,多为单房性,内含澄清、草绿色或巧克力样液体,囊内的液体可含有RBC、WBC、胆固醇及脂肪,但无精子。
还应与Mullerian管源性肿瘤、Mullerian上皮囊肿相鉴别。女性的囊肿可发生于阴道的任何部位。
二、病理
囊壁由较厚的平滑肌组成,内壁衬有有纤毛的立方形及柱状上皮细胞,对PAS呈阳性反应。
三、影像表现
CT:囊肿表现为单房或多房的薄壁水样低密度病灶薄壁囊性肿块,边缘清楚光整。增强扫描未见强化。
四、鉴别诊断
1、射精管囊肿是沃尔夫管系统的一种残留性囊肿,在胚胎学上沃尔夫管尾部形成精囊和射精管,这一区域的囊肿主要继发于外科手术、感染、出血、结石等引起的精路梗阻。
2、前列腺潴留性囊肿多由于炎症导致前列腺的导管或腺管闭塞、前列腺的分泌物贮积而形成。

病例一

病例二
【版权声明】本平台属公益学习平台,转载系出于传递更多学习信息之目的,且已标明作者和出处,如不希望被传播的老师可与我们联系删除