
现代社会,生活节奏快,年轻的“低头族”们每天被“粘”在办公室的旋转椅和家中的沙发上,不少年轻人深受“腰椎间盘突出”等常见骨科疾病的困扰,有的人没有正规的系统化治疗,去街边按摩店、推拿店随意“正骨”,反倒惹出了不少毛病。中山大学附属第七医院骨科主任刘少喻介绍,由于长时间不正确的坐姿和缺乏锻炼,运动前的准备活动不足、不科学,运动不规范或过度运动,“随意”治疗腰疼,致使腰椎间盘突出症发病率近年来呈现上升且低龄化的趋势。在海外求学的舒同学,因为这点“小病”承受了生命中不可承受之“痛”……

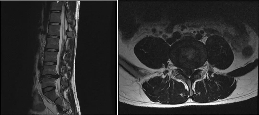
舒同学(化名)是在海外求学的中山大学研究生,美国洛杉矶大学戴维斯分校统计学专业在读博士生。24岁的他,风华正茂,朝气蓬勃。然而从去年10月份起,他经常感腰部疼痛,间歇性发作,久坐、久站、弯腰负重后腰痛加重,严重影响学习与生活。美国是世界上医疗体系最发达的国家之一,他满怀希望的去当地医院求医,美国医生告诉他是“腰肌劳损”,建议他做理疗、牵引,辅以口服消炎镇痛、肌松药物等保守治疗。然而坚持治疗了2个月,收效甚微,病情反而进一步恶化。2019年12月底起出现了右下肢麻痛症状,呈放射性,由右侧臀部经大腿后外侧至小腿前外侧、足背,腰腿痛严重时甚至让他凌晨睡不着觉,睡到自然醒对他来说变成了一件奢侈的事。通过MRI检查发现,舒同学腰4/5巨大椎间盘突出,向后侧压迫神经根。“腰椎间盘突出症”这个病让在异国他乡艰难求学的舒同学十分困扰。

舒同学术前腰椎MRI:腰4/5巨大椎间盘髓核突出,压迫神经根
正值新冠病毒肆虐,国际疫情局势持续恶化,美国疫情管控不力导致雪上加霜。此时的身体不适总在不经意间提醒舒同学祖国和家乡的美好,而国内的父母也为他焦心、忧虑,这一切都让他有了回国治病的念头。亲友多方打听后,推荐他回国到中山七院找经验丰富的刘少喻教授团队。
辗转回国,入境那一刻舒同学差点泪奔。回到家乡隔离14天后,他专程来到中山七院骨科就医。刘少喻主任了解到舒同学的情况后,仔细检查,诊断“腰椎间盘突出症”,考虑到舒同学反复腰腿痛超过半年、保守治疗无效,立即给予安排住院行手术治疗。
舒同学当天办理住院手续,并完善入院检查,第2天在中山大学附属第七医院接受了小切口下腰椎间盘突出髓核摘除并神经根松解手术。手术后,舒同学清晰地感受到自己一天天好起来,原本每日凌晨困扰他的腰腿痛已经消失,可以每天幸福地睡到自然醒,内心的混沌和迷茫也逐渐消散了。舒同学衷心地感谢刘少喻主任团队为他快速地解除了病痛,让他得以重返校园全身心投入到学习和研究中。

舒同学写给中山七院骨科的感谢信
中山大学附属第七医院骨科主任刘少喻介绍,腰椎间盘突出症是一种自限性疾病,若处理得当,90%不需要手术治疗,尤其是年轻、初次发作或病程较短、症状较轻的,一般休息制动后症状可自行缓解。刘少喻教授说,“如果反复疼痛超过3个月,正规保守治疗无效,严重影响工作生活或大小便,引起性功能障碍、下肢肌肉瘫痪等严重症状的,应该手术治疗,甚至急诊手术治疗,避免因压迫引起不可逆的神经功能障碍。”
指导专家

刘少喻
骨科学科带头人、主任
教授、博士生导师、主任医师
-国际脊髓学会中国脊髓损伤学会副主委
-中国残疾人康复协会脊髓损伤专业委员会-国际脊髓学会中国脊髓损伤学会常委
-广东省医学会脊柱外科分会和腰椎学组顾问
-中国康复学会骨与关节及风湿病专业委员会副主任委员
-中国康复学会脊柱脊髓损伤专业委员会颈椎学组副主任委员
-中华医学会骨科分会脊柱学组成员
-广东省中西医结合学会脊柱医学专业委员会主任委员
擅长上位颈椎疾患、颈椎病、脊柱脊髓损伤、脊柱畸形、脊柱退变、脊柱感染、脊柱肿瘤,尤其是颈肩腰腿疼的诊治,对脊柱疾患的康复治疗有较高的造诣。

文:李启基
编辑:郑天心
初审:刘少喻
审核:刘畅
审核发布:苗伟
