【名院动态】
王建安教授团队开展Liwen术式
微创治疗梗阻性肥厚型心肌病

2020年7月1日, 浙大二院王建安教授团队为4例梗阻性肥厚型心肌病成功开展了Liwen术式治疗。整个手术过程平稳,术后患者压差减低,临床症状改善明显,标志着国际领先的Liwen术式正式落地浙江,浙大二院心脏中心成为全国极少数正式开展此技术的中心之一。自此,该中心将整合心脏外科手术、酒精室间隔化学消融术、Liwen术式,为肥厚型梗阻性心肌病患者建立全方位的解决方案。
梗阻性肥厚型心肌病(HOCM)是比较常见的遗传性心肌病,患者心室以心肌非对称性肥厚为特征,该病是青少年运动猝死的最主要原因之一。临床表现各异:一部分患者可能没有症状,而有些患者首发症状就是猝死。最常见的症状是劳力性呼吸困难和乏力,部分患者会出现胸痛、心悸、晕厥等症状。
目前,梗阻性肥厚型心肌病的治疗手段主要包括药物治疗、酒精室间隔消融及外科手术。但不是所有患者的身体条件都能耐受外科手术或有合适的间隔支进行酒精消融。
Liwen术式为中国原创,一种安全、有效、微创的治疗肥厚型心肌病的新策略。

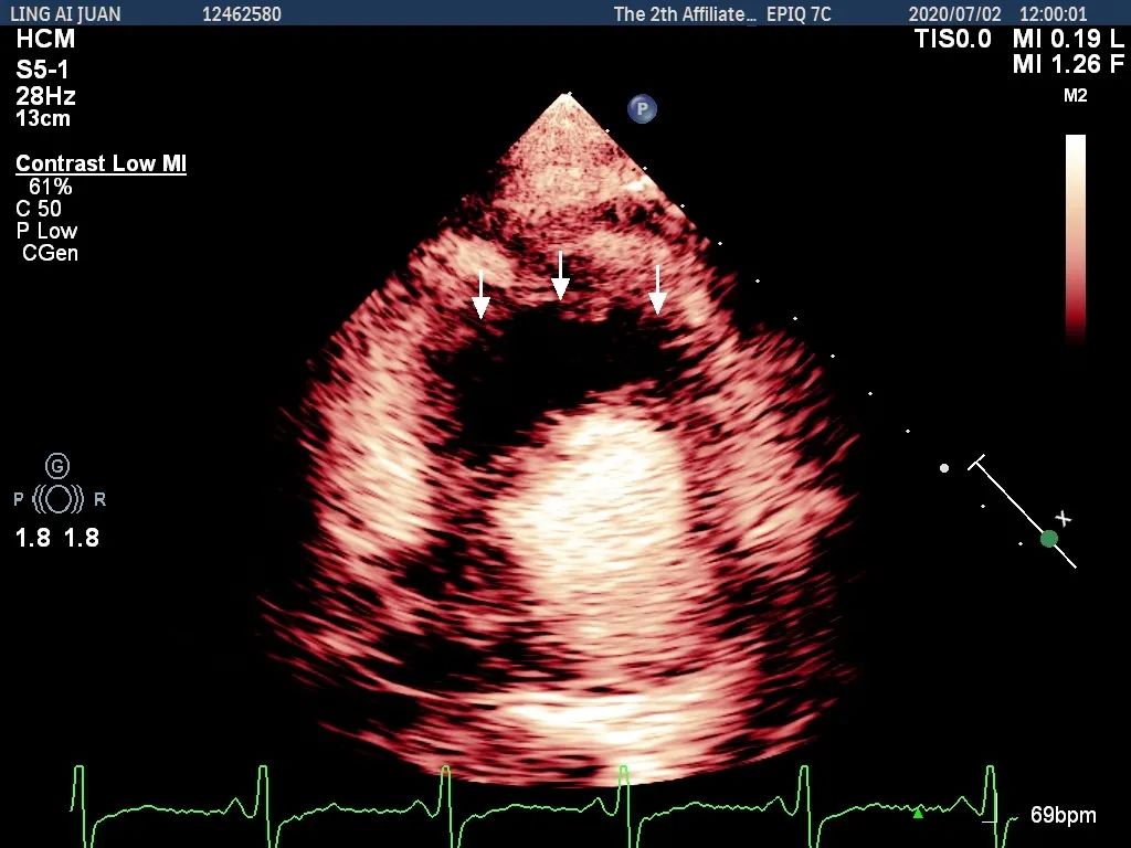
术前心肌超声造影示肥厚室间隔内丰富的穿隔支

Liwen术式成功消融术后心肌造影示“黑洞”效应
门诊安排:
蒲朝霞专家门诊(解放路院区):周一上午,周五上午
蒲朝霞专家门诊(滨江院区):周三下午
肥心Liwen术式专线:15381119419(林医生)
热烈祝贺:World Journal ofEmergency Medicine成功进入Q2区
2020年6月29日,科睿唯安正式发布2019年度SCI期刊引证报告(Journal CitationReports, JCR):我院主办的英文期刊World Journalof Emergency Medicine(WJEM)喜获影响因子1.743,成功进入Web of Science Q2区。

WJEM是由浙江大学医学院附属第二医院主办并向国内外公开发行的国际性英文学术期刊。王建安教授担任主编,主要刊登国内外急诊医学、心血管、外科等相关学科急危重症的基础和临床科研新成果、新进展、新经验等。
2016年入选国家“中国科技期刊国际影响力提升计划项目”;2018年荣获“中国高校优秀科技期刊”;2019年入选国家“中国科技期刊卓越行动计划”以及“浙江大学高水平学术期刊建设B类项目”。
今后,WJEM将继续从学术质量、国际推广、数字化、网络化等方面进一步增强期刊的学术影响力和国际化水平,力争把WJEM打造成具有国际专业水准的高质量学术交流平台。
【前沿解读】
科学告诉你,什么才是细胞层面的年轻?
逆生长是每个人的梦想,而很多商家宣传的胶原蛋白对皮肤抗老真的有效吗?让科学来告诉你。
2019年,世界著名的《自然》杂志刊登了来自东京医科齿科大学,法国斯特拉斯堡大*联学**合发表的文章。文中提出老化皮肤会萎缩,变得脆弱,色素*禁失**和愈合延迟,而老化皮肤中胶原蛋白ⅩⅦ(COL17A1)的含量明显降低。COL17A1不仅仅是表皮干细胞的标志分子,还能反映人体细胞潜能和自我更新能力的质量。研究指出,应激导致的COL17A1蛋白分解会引起器官中干细胞的警觉,开始进行功能检查和自然选择。稳定的COL17A1能够提升皮肤修复能力,同时可能对器官功能、再生和抗老化都有益处。本文-基于动物试验,都是“原理论证”,并不是胶原蛋白的“软宣传”。《自然》杂志评论认为,这项成果是“皮肤再生和抗衰老药物研发”领域的一大重要进展。
看来胶原蛋白真的对抗老有效,可是核心问题在于你喝的胶原蛋白要如何在人体内转化为特定的COL17A1,似乎是不可能完成的任务。

解读人:周炯
浙大二院皮肤科主治医师
医学博士
主要从事银屑病、皮肤美容等临床和基础研究,发表SCI论文十余篇,主持浙江省自然科学基金1项,国家自然科学基金1项等。中国皮肤性病学杂志审稿人。

新型联合治疗模式为更多肿瘤患者带来福音
顶级肿瘤学权威杂志《Lancet oncology》连续刊登了5篇来自霍普金斯大学,芝加哥大学,科罗拉多大学,法国维勒瑞夫GustaveRoussy肿瘤中心及瑞士洛桑大学研究团队关于放射治疗联合免疫治疗的系列性综述性论文。这5篇文章分别关于放射免疫疗法用于头颈部肿瘤;卵巢癌中合理联合免疫治疗及放射治疗;放射治疗联合免疫治疗用于恶性肿瘤寡转移的治疗;通过细胞成像及放射治疗提高CAR-T治疗疗效及对抗肿瘤的放射免疫疗法优化疗效,减轻毒性。
系列文章表明放射治疗不仅能局部直接杀死癌细胞,还能通过诱导免疫原性细胞死亡,释放新抗原至免疫系统中,从而与免疫治疗产生协同作用。放射治疗联合免疫治疗的疗效1+1>2,黄金组合未来有望为恶性肿瘤治疗谱写新的篇章。
以此为理论基础,浙大二院放疗科计划开展多项全国多中心随机对照研究关于放射治疗联合免疫治疗用于肝癌、门静脉癌栓等的治疗。期盼能通过放射治疗联合免疫治疗的新型联合治疗模式为更多的肿瘤患者带来福音!

解读人:徐菁
浙大二院放疗科 主治医师
医学博士
曾赴比利时西弗兰德省医院从事临床工作,访问美国芝加哥大学,开展学术交流。主持国家自然科学基金项目及浙江省教育厅课题。作为第一作者在国际SCI期刊发表论文8篇。

多焦点人工晶状体——老花白内障患者的解决方案
白内障是世界范围内首要的致盲性眼病,手术治疗是目前唯一有效的治疗方法。随诊经济社会的发展,患者对白内障术后视觉质量也有了更高的追求,包括术后的全程视力(包括远、中、近视力)和脱镜率。
多焦点人工晶状体的设计为白内障患者术后优良的全程视力提供了可能。近期Survey of Ophthalmology杂志刊登一Meta分析报告,该文共纳入了21项随机对照研究。结果显示,相较于单焦点人工晶体状,植入多焦点人工晶体可以给患者提供更好的近距离视力以及中距离视力(60 cm)。同时,多焦点人工晶体植入的患者有更高的脱镜率。另一方面,植入多焦点人工晶状体出现眩光、光晕的风险更高,另外可能影响对比敏感度。
需要注意的是,并不是所有的患者都适合植入多焦点人工晶状体,特别是对于存在眼底疾病的患者,因此术前需要更全面的评估。

解读人:来凯然
浙大二院眼科中心主治医师
眼科学博士
主要从事白内障、黄斑变性等疾病的临床和基础研究。以第一作者发表SCI论文多篇,主持国家自然科学基金青年项目1项、浙江省自然科学基金青年项目1项等。

是否所有感染SARS-CoV-2的患者都能够产生针对该病毒的抗体,从而获得免疫力?
浙大二院援鄂医疗队在武汉协和肿瘤中心ICU工作期间发现了一例特殊的患者。这名患者感染了SARS-CoV-2病毒,但却没有检测到针对SARS-CoV-2病毒的抗体。这种情况提示这名患者即使COVID-19痊愈后,由于机体没有产生针对该病毒免疫力,仍然存在再次感染SARS-CoV-2病毒的风险。这种情况的发现,提示在人群中存在感染SARS-CoV-2病毒后不能产生免疫力的个体,对于更全面的认识SARS-CoV-2病毒的感染特征具有重要的意义。
医疗队张旭照医师等在钱文斌主任指导下撰写了一篇报道,投稿后很快被感染学领域Top期刊Clinical Infectious Disease接收并在线发表。
该报道发表以来,已经陆续收到COVID-19:The Pandemic (VIRTUAL MEET-2020),3rd World Congress on Infectious Diseases等大会的邀请,分享新冠防控的相关经验。

解读人:张旭照
浙大二院血液科主治医师
医学博士
主要从事多发性骨髓瘤和淋巴瘤的精确诊疗研究。获得国家自然科学基金、浙江省自然科学基金资助。发表论文10余篇。担任多个专业委员会青年委员及Bioscience Report和Aging等SCI杂志审稿人。

【广济之眼】
跪姿背后的医者仁心!
下沉专家陈兵手术照火遍嘉兴朋友圈

6月28日,一张特殊的照片在嘉善县第一人民医院血管外科医护人员间悄然传开,照片里是一个坚毅的身影。这位身穿手术服的医生正是浙大二院血管外科主任陈兵,仅靠左脚站立,受伤的右脚搁在凳子上,侧身进行着一台手术。
躺在手术台上的是一名主动脉夹层病人,收治入当地医院时病情十分紧急,无法承受转院的路途颠簸。第二天一早,嘉善有名重症病人需要手术的消息,传到了陈兵耳中,他当即决定,带上助手和专业手术器材赶往嘉善救人。所幸的是,手术很顺利。
“病人的安危就是最大的事。”谈起自己的腿伤,陈兵却毫不在意。
“广济一周”第八期分享到此结束了
感谢各位读者的支持
如果有相关建议或意见
请在下方留言

我们真诚地期望
读者们可以透过
医院这扇窗口
看到中国科学技术的
日新月异
卫生健康事业的
进步腾飞
也能真切地感知
社会冷暖
感受到医院对健康事业的
孜孜追求
文 | 浙大二院宣传中心 卷卷
封面图 | 浙大二院宣传中心 卷卷
编辑监制 | 浙大二院宣传中心