
今天给大家介绍一下食管的病理学组织结构。
编辑 | 小池
来源 | 《病理医师实用组织学》
本文内容已获得授权
食管壁有4层结构,即黏膜层、黏膜下层、固有肌层及外膜。
与胃肠道其他部位不同,食管无浆膜层被覆,这使得食管肿瘤更易发生扩散,外科治疗更为困难。浆膜层的缺失也使得食管破裂后修补更为困难。
一
黏膜层
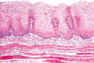
食管黏膜层由非角化性复层鳞状上皮、固有层及黏膜肌层构成。其中,鳞状上皮分为基底层、棘层和表面细胞层。

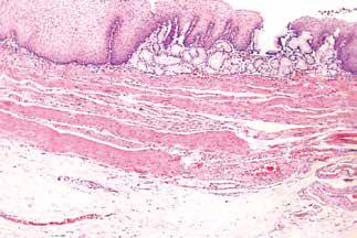
食管中段。食管黏膜由表面的上皮层、中间的固有层及下面的黏膜肌层构成,黏膜肌层由纵行平滑肌束构成。

食管中段。食管上皮基底层细胞缺乏糖原,与其上层覆盖的糖原丰富细胞易于鉴别(PAS染色)。
正常食管鳞状上皮黏膜中还可见一些其他类型的各种细胞,包括黑色素细胞、Merkel细胞、上皮内单核细胞、淋巴细胞等。
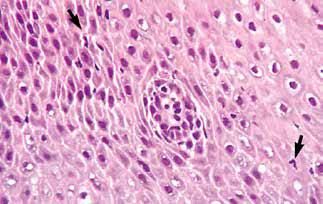
由于淋巴细胞在上皮细胞间交错分布,其细胞核变得扭曲,可能会与中性粒细胞的细胞核相混淆。这种形态的细胞称为波浪细胞(squiggle cell)或核形不规则的上皮内细胞(intraepithelial cells with irregular nuclear contours)。

波浪细胞。食管上皮内有许多淋巴细胞,其中一些呈“波浪”状(箭头)。此外,细胞间间隙扩大,使棘突非常明显,部分上皮细胞交界处形成小“空泡”(右上方易见)。需要注意的是,不要将核周空泡/ 细胞质收缩或核旁空泡当成食管下段细胞间隙增宽 (dilated intercellular spaces,DIS)。

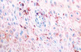
T 细胞标记显示,食管上皮内淋巴细胞为T 系细胞,以抑制性T 细胞(CD3+、CD8+)为主。

上基底部的朗格汉斯细胞(S-100)(箭头所示部位)。它们是抗原递呈细胞,与皮肤朗格汉斯细胞功能相似。
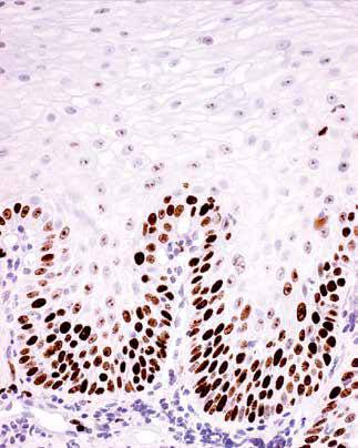
食管的干细胞由单层基底细胞构成,附着于基底膜上,常位于乳头之间(乳头间基底细胞),增殖活性较低,Ki-67染色几乎全部为阴性。

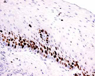
食管基底层MIB-1 免疫组织化学染色。未受刺激的基底细胞层相对较薄,只有约3 层细胞。基底层的许多细胞完全不着色,可能是干细胞,而其以上细胞层中增殖细胞的核呈黑色。

在此例活检组织中,基底层较厚,因而增殖活性较高,基底层可见少量非循环周期的干细胞。
固有层是黏膜层的非上皮部分,位于黏膜肌层之上,由疏松结缔组织构成,含有脉管结构、散在分布的炎症细胞及黏液分泌性腺体。
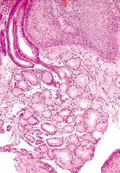
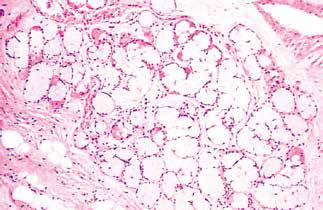
食管贲门型腺体弥漫散在分布于整个食管的固有层内,主要见于食管远端和近端部分。这些腺体起润滑作用,以便于食物团块顺利通过食管,这在生理上是必须的。
组织学上,这些腺体位于固有层内,与胃贲门型腺体相似,由分泌中性黏液的细胞组成。

食管贲门型腺体位于固有层内。导管内衬胃小凹样上皮细胞。

导管内衬细胞可能经过不同的距离延伸至复层鳞状黏膜上方(PAS-D)。

这些腺体呈PASD 染色阳性,pH 值2.5 的阿辛蓝染色阴性,表明具有中性黏液的特征。
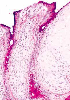
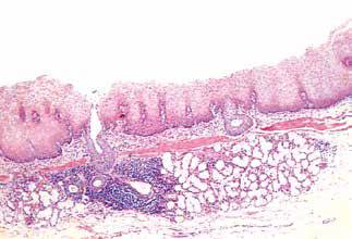
黏膜肌层由纵行平滑肌束组成,起始于咽部的环状软骨,远端增厚。胃-食管交界处(gastroesophageal junction, GEJ)处的食管黏膜肌层非常厚,超过胃黏膜肌层,活检时甚至会被误认为是固有肌层。

GEJ 黏膜层的特征为黏膜肌层较稍近端食管厚。注意食管贲门型腺体位于黏膜肌层之上。
二
黏膜下层
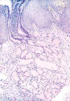
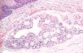
黏膜下层由疏松结缔组织构成,含有血管、神经纤维(包括Meissner神经丛)、淋巴管及黏膜下腺。黏膜下腺被认为是口咽部小涎腺的延续,散在分布于整个食管,但在食管上段和下段区域更加集中。

食管中段。食管的黏膜下腺位于黏膜下层内,紧邻黏膜肌层。导管周围和腺体周围慢性炎症可视为正常现象。
黏膜下腺体由黏液细胞组成,伴或不伴少量浆液性成分,分泌酸性黏液和碳酸氢盐,可能具有局部保护作用。黏膜下腺的导管起始部被覆单层立方上皮,随即移行为复层鳞状上皮,穿过黏膜肌层和上皮,开口于食管腔内。

黏膜下腺主要由黏液分泌细胞组成,伴有不等量的浆液性成分。

黏膜下腺PAS-D 及pH值2.5 的阿辛蓝染色均呈阳性,具有酸性黏液的特征。

黏膜下腺可发生嗜酸细胞化生。
三
固有肌层
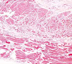
通常认为,食管上1/4至上1/3段的固有肌层由横纹肌组成,然而,只有很短(约5%)的近端食管固有肌层完全由横纹肌组成。随后的食管固有肌层由平滑肌和横纹肌混合组成,以平滑肌为主,稍多于50%的远端固有肌层全部由平滑肌组成。

近端食管。固有肌层由平滑肌束和横纹肌束混合而成。

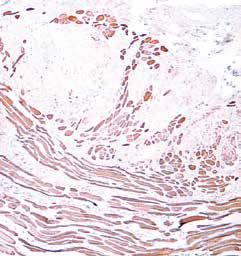
肌红蛋白抗体染色显示混合存在的平滑肌(弱着色)和横纹肌(强着色)。

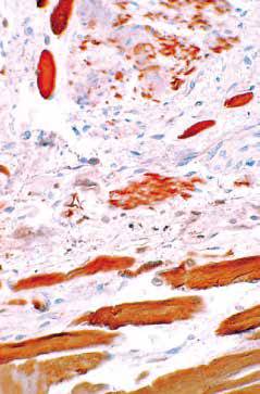
肌红蛋白染色切片的高倍镜图片,显示核位于外周的典型横纹肌。
虽然存在两种不同类型的肌肉,但它们可作为一个整体发挥功能。两种肌纤维层之间可见Auerbach神经丛和其相关的Cajal间质细胞,间质细胞也可见于固有肌层内。
本文内容摘自《病理医师实用组织学》,已获出版社授权。欲了解更多,可长按二维码或者点击下方阅读原文,进入“界哥微店”购买本书。