杨主任,您还记得我不?快救救我吧!
3月的一天,一名女性患者满面愁容地来到陕西中医药大学第二附属医院(西咸新区中心医院)生殖内分泌科主任杨小颀的诊室。这是一位杨小颀曾接诊过的病人。患者结婚3年一直无法自然受孕,经杨小颀检查诊断,自然怀孕几率十分渺茫,建议患者做试管受孕。患者遵循杨小颀的建议,找到了某三甲医院进行了试管受孕。然而,新的情况再次出现。
当时移植了2个胚胎,可是现在做彩超有3个孕囊!医生说,是因为1个胚胎又分裂成了2个!
鉴于这种情况,该医院建议患者去河南某生殖中心减胎。然而这些年为了怀孩子患者四处求医、劳心劳力,实在无法再承受奔波之苦。此番再次登门,就是希望杨小颀能帮助她完成这台高难度的减胎手术。

术前超声

术前超声
看着患者恳求的目光,杨小颀一边鼓励安慰,一边邀请到超声科主任杨兵社进行会诊,确定患者分裂的胚胎为双绒双羊。双绒双羊就是双绒毛膜双羊膜囊,不是两个宝宝共用一个胎盘,就是双卵双胎,两个宝宝分别在自己的羊膜腔内。这种情况,一般多数是两个卵,两个胚胎,也有一个卵两个胚胎的情况,但是是少数。

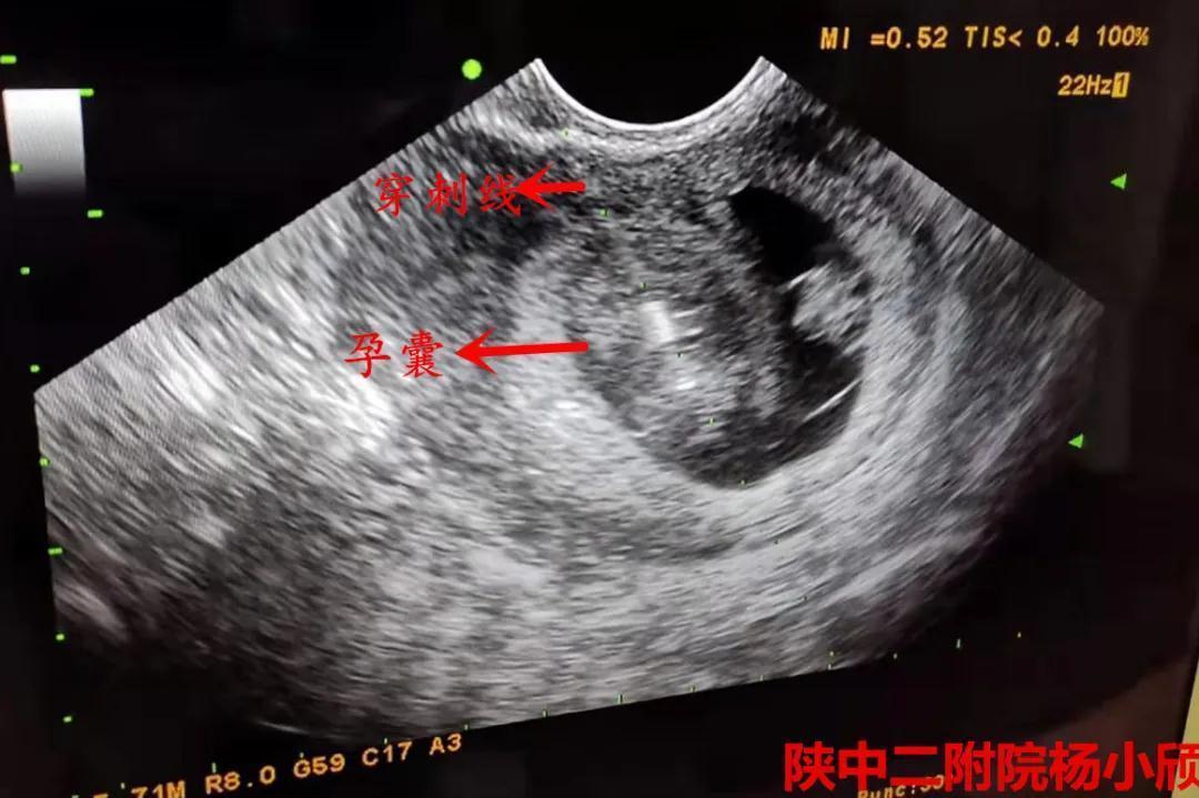
术中超声
在积极完善术前相关检查,排除手术禁忌症,充分告知患者及家属三胎妊娠的风险,签署知情同意书后,3月20日下午,杨小颀亲自操刀为患者实施了经阴道B超引导下选择性胚胎减灭术。手术顺利完成,病人病情平稳。术后24小时阴超提示,减胎孕囊胎心停止。7天后复查彩超提示,两胚胎存活,一胚胎停止发育。这标志着这台高难度的减胎手术圆满完成,达到预期效果,也再次彰显了陕西中医药大学第二附属医院(西咸新区中心医院)生殖内分泌科在减胎术方面的巨大进步。

术后24小时阴超
近年来,随着辅助生殖技术和促排卵药物的应用,全世界范围内多胎妊娠发生率明显增加。多胎妊娠易引起妊娠期高血压病、妊娠期肝内胆汁淤积症、贫血、胎膜早破及早产、产后出血、胎儿发育异常等并发症,较单胎妊娠围产儿的患病率及死亡率、孕妇围产期合并症及并发症均明显增加。2016年我国生殖技术规范中提出,自然妊娠、助孕妊娠的三胎及三胎以上的孕产妇,必须实施减胎术,根据胎儿具体情况,决定减少为双胎或单胎,降低三胎妊娠分娩率。多胎妊娠减胎术为一种重要的多胎妊娠补救方法,其操作水平日益成熟,其成功率在不同医疗机构差异较大。
科室简介
陕西中医药大学第二附属医院(西咸新区中心医院)生殖内分泌科成立于2015年5月16日,在生殖内分泌的诊治方面系统规范,是目前咸阳市唯一一所产、学、研相结合的生殖内分泌科。科室现阶段擅长项目有各种原因所致不孕、妇科内分泌疾病、经阴道B超引导下选择性胚胎减灭术及经阴道B超引导下囊肿穿刺术等,在宫腔镜下宫腔粘连分解术、赘生物切除术方面也积累了较丰富的经验。科室拥有一支高素质的专业队伍,设备精良;以人为本,致力为患者提供个性化、针对性的治疗方案。目前年就诊量达32000人次。
杨小颀 主任医师
生殖内分泌科主任

陕西中医药大学硕士生导师,陕西中医药大学第二附属医院(西咸新区中心医院)规培妇产科专业基地导师,陕西中医药大学第二附属医院(西咸新区中心医院)主任医师,生殖医学科主任。发表论文30余篇,咸阳市科技进步奖一项,多项科研课题。专注于不孕不育、流产、妇科男科内分泌、生殖健康以及遗传咨询工作的开展,同时擅长各种妇科常见病、疑难病的诊断和治疗,有娴熟的开腹与腔镜手术技能。
生殖内分泌科地址:
秦都院区:3号住院楼6楼
西咸院区:门诊楼2楼
生殖内分泌科电话:
秦都院区:029-33572973
西咸院区:029-33350520
井晶 记者 王帅