(此处已添加小程序,请到*今条头日**客户端查看)
(此处已添加医疗卡片,请到*今条头日**客户端查看)
目前好多二级医院因为没有发热门诊,三级医院床位减少,使得一些肺炎发热患者治疗面临着床位紧张,我们通过医联体合作,在朝阳中西医结合急诊抢救中心建立了友谊急诊病房,把一些在友谊急诊筛查后患者转到这边,既解决了患者住院问题,又缓解了西城院区急诊的压力。为了保证医疗质量,保证有一名副主任医师级别医生在这里常驻,目前我是这边的病房的负责人。
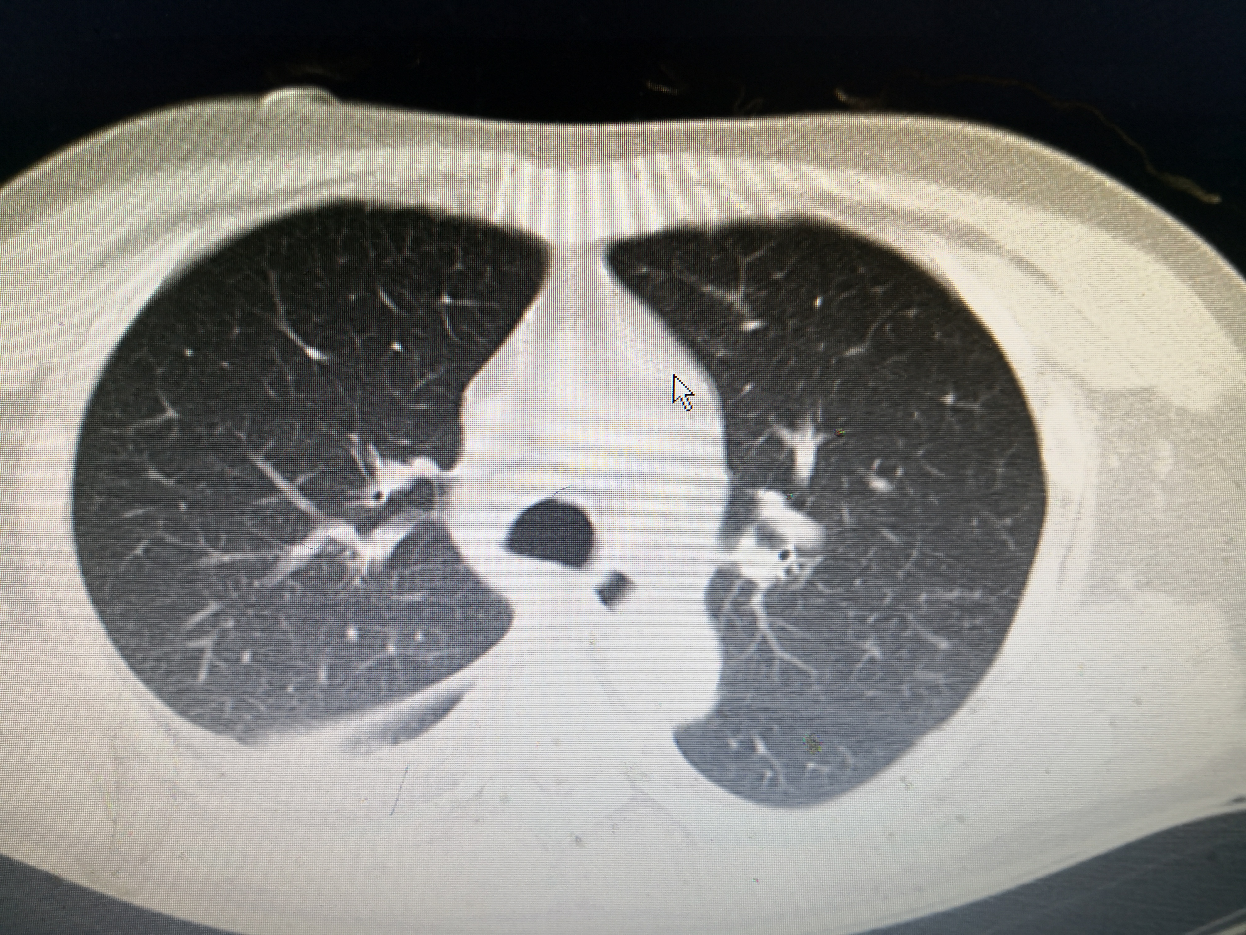
下面这个患者就是近期从西城院区转过来的发热,大片肺炎患者。患者男,55岁,因发热3天到西城院区就诊,体温最高41℃,伴有畏寒、乏力、纳差,咳嗽少痰,伴有顽固性呃逆,没有新冠肺炎流行病学史,但是CT提示右肺大片炎症,在发热门诊隔离抗炎,经两次筛查阴性,但是抗炎效果不佳,仍有高热,转到这边急诊二病区抗炎治疗。
该患者没有既往病史,没有新冠流行病学史,没有用药史,有典型的发热、咳嗽症状,CT提示右肺炎症。





化验白细胞15.48×10^9明显升高,C反应蛋白108mg/l升高,符合经典的社区获得性肺炎标准,所谓社区获得性肺炎(CAP),说白了就是在医疗机构以外得的肺炎,相对来说肺炎链球菌、支原体等多见,耐药性少见。该患者白细胞和C反应蛋白升高符合细菌感染表现,而且血气氧分压65mmHg,明显低氧,接近于I型呼吸衰竭,属于重症肺炎。

白细胞、C反应蛋白升高

第一次氧分压降低
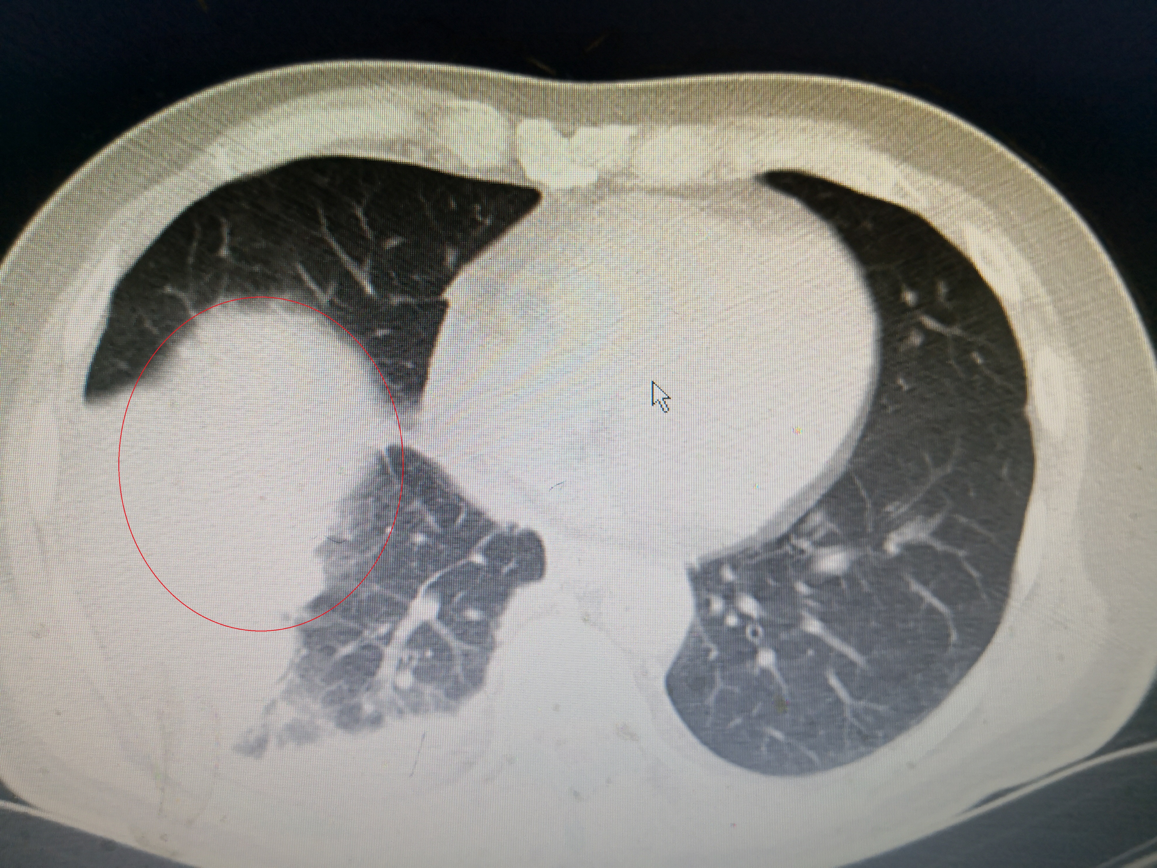
入院给予吸氧,喹诺酮+头孢二代标准抗感染方案,化痰治疗。通过5天治疗患者体温正常,不再咳嗽,精神状态好转,白细胞降到12.1×10^9,C反应蛋白降到46mg/l。氧分压90mmHg,恢复正常。该患者有顽固性呃逆,考虑和肺炎刺激膈肌有关,通过针灸、中药和口服巴氯芬治疗,也基本缓解。估计还有一周应该可以治愈出院。

第二次白细胞、C反应蛋白下降

第二次血气氧分压恢复
6月11日开始,北京新发地爆发了本土疫情,近期北京的疫情逐步得到了控制,这里面既凝聚着全体医护人员的汗水,也有广大群众做出的牺牲,因为一方面在疫情防控的大前提下,门急诊以及住院资源肯定要受到影响,因为大量的医护人员被抽调去发热门诊,社区筛查,还有一部分医护人员因为接触过新发地,被隔离,最近排班都是捉襟见肘,甚至一天一变;另一方面住院之前都需要筛查,无形中增加了程序,但是为了抗疫大局,我们广大的患者以及家属都没有怨言,一切听从抗疫的大方针。抗疫的生理离不开全体市民的自觉,他们都是最可爱的人。

最可爱的人,大家可以想象一下目前的气温在这里面的感觉
今天同学和我说,目前你们急诊这么紧张,还把你派出去,是不是离开了抗疫一线?其实在这里也是战场的一部分,只有把急诊筛查后的患者尽快治愈,才能不断地缓解我们急诊的压力。疫情不灭,我们不撤。期待疫情结束,与诸君痛饮。
我是王明轩医生,会定期和大家做一些病例交流,希望大家多评论和转发,一起探讨。