跟痛症(Painful heel syndrome)临床常见,又称足跟痛(图1),常常会困扰人们日常的生活起居,更不必谈什么锻炼、旅游……跟痛症常由累及足跟部多种慢性劳损和退化引起,与穿鞋、运动、休息、饮食都有关系。
临床表现主要为足跟部疼痛、不适,走路时加重,可伴有肿胀或挤压痛。特别是中老年,和肥胖患者,男性较女性发病率高,可以一侧先发。

▲ 图1.足跟部疼痛
一、常见原因:
1.足底脂肪垫萎缩
足跟垫较为坚韧厚实,由是跟骨下方纤维组织间隔和其中的脂肪组织、弹力纤维等形成,是具有弹性的软组织脂肪衬垫。青年时期,足跟垫弹力强,可以吸收振荡、缓冲应力、避免累及体内坚硬的骨组织而造成的疼痛。 上了年纪的人,或者是某些长期使用激素的患者,足底的脂肪垫明显萎缩变薄,足跟部弹性下降,其缓冲震荡、防止摩擦的作用也进一步减弱,跟骨跖侧在衬垫变薄的情况下承载体重,激惹局部软组织,引起足跟痛。当然足跟部的外伤、瘢痕造成等软组织萎缩,或骨突增生也可以引起足跟痛。此类跟痛症往往在整个足跟下方都有压痛,可以使用硅橡胶足跟垫,或局部消炎镇痛药物治疗。
2.足底跖腱膜炎
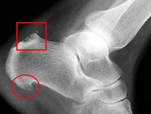
足跟是跟腱与跖筋膜的中转驿站,也是小腿向足部力学传导的枢纽(图2),足底跖腱膜是足底维持正常足弓、缓冲震荡、加强弹跳力作用的腱性组织。一般成人行走每天8000到10000步,而长期、慢性、轻微的累积伤,如果无法得到完全修复,就会造成足跟部腱骨连接部的慢性炎症,可以引起足跟部的疼痛,实质上就是足部跖筋膜纤维的断裂和其修复的反复过程(图3)。长时间的行走、过度的负重,会引起跖腱膜的劳损,导致局部无菌性炎症(图3),从而出现疼痛症状。后期,在足跟下方偏跖筋膜侧可有骨质增生,形成俗称的“骨刺”(图4,圈内)。

▲ 图2.足跟是跟腱与跖筋膜的力学传导枢纽

▲ 图3.足底跖筋膜炎
后者常被认为是足跟痛的原因,但临床观察显示它与足跟痛的关系并不恒定,跖筋膜炎不一定都伴有骨刺,有跟骨骨刺的人也不一定都有足跟痛。跖筋膜炎引起的足跟痛可以自然治愈。垫高足跟,减轻跟腱对跟骨的拉力,前足跖屈,缓解跖筋膜的张力,都可使症状减轻。
3.跟骨骨刺
多见于老年患者,当有足跟痛时,经过拍摄X光片,可以发现跟骨结节处有大小不一的骨刺形成(图4,圈内)。隆起的骨刺,也可以导致局部组织受到激惹、摩擦、劳损,产生无菌性炎症,其足跟疼痛的程度与局部炎症反应的轻重有关,而与骨刺大小无直接关系。
药物或微创手术可以改善症状、解除疼痛。

▲ 图4.足跟部骨刺(圈内),跟骨骨突肥大(框内)
4.距骨下关节炎
常发生在外伤、骨折或滑膜炎后,往往是一种慢性炎症。外踝前方跗窦处可以有压痛,负重、快走时疼痛加重。消炎镇痛药可以起到一定作用。局部的跗骨窦区封闭也可以进行诊断性治疗。保守治疗无效时,可以进行手术清理,或距下关节融合术。
5.跟骨骨突炎
又称Hugland畸形,表现为跟骨后方骨突的肥大(图4,框内),也可以表现为类似胫骨结节骨骺炎的情况,是在发育过程中,未愈合的骨骺受肌腱牵拉引起的症状,疼痛在跟腱附着点周围,负重行走可加重。通常可以使用药物,休息,穿坡鞋治疗,一般对症处理有效,巨大的跟骨骨突炎或保守治疗无效的患者,需要手术治疗。
6.跟骨后滑囊炎
最易发生在跟腱与皮肤之间、跟腱与骨之间的滑囊,可以由不合适的鞋帮摩擦损伤引起,也可以有腓肠肌挛缩造成。滑囊壁变肥厚,囊内充满滑液,局部肿胀,合并炎症可有压痛。治疗方法宜改善鞋型,若滑囊肿胀不消,可以使用消炎镇痛药物,或穿刺吸引,局封治疗,无效的可以依靠手术治疗。
7.足底外侧神经卡压。足底外侧神经第一分支为小趾展肌神经,该神经卡压是神经源性跟痛的主要原因。临床上有约15%-20%患者慢性跟痛症状与该神经卡压有关。局封和手术治疗有效。
8.跟骨高压症
跟骨内不断增加的骨内压和血管淤血是跟骨高压症引起跟痛症的相关原因。跟骨主要由海绵松质骨构成,髓腔静脉窦较大,且处于身体最低处,当骨内静脉回流受阻,而跟骨髓腔是一个相对封闭的硬壳腔隙,不能自行缓冲调节,最终引起跟骨内压增高。治疗跟骨高压症比较有效的方法就是钻孔减压。
另外,陈旧性跟骨骨折畸形愈合,或跟骨肿瘤、炎症也可以造成足跟痛。足跟以外的疾患引起跟痛症者,如压迫骶神经根的腰椎间盘突出,发生在小腿的胫神经卡压等。
二、跟痛症的预防与治疗
- 避免穿着太软的薄底布鞋。
- 在足跟部应用厚的软垫保护,也可以应用中空的跟痛垫来应对跟痛部位,以减轻摩擦、损伤。(图5)▲ 图5.足跟部使用硅橡胶软垫
- 适当蹬踏,增强跖腱膜的张力,加强其抗劳损的能力,减轻局部炎症。
- 温水短时间泡脚,有条件时辅以理疗,可以减轻局部炎症,缓解疼痛。
- 当有持续性疼痛时,应该使用非甾体类抗炎镇痛药物治疗或者丁丙诺啡透皮贴剂等缓解慢性疼痛药物。
- 如果疼痛剧烈,严重影响行走时,可以使用疗效较长的丁丙诺啡透皮贴剂,或局部封闭治疗。
- 冲击波治疗,使用体外冲击波造成局部新炎症,从而促进组织的再修复。
- 富血小板血浆,或自体骨髓干细胞治疗,促进慢性损伤的自我修复。
- 手术治疗,腓肠肌松解,局部病灶清理,卡压神经松解等。
三、自我足部锻炼保健
1.拉伸足弓:
伸直腿,用毛巾或宽的橡皮筋牵拉前足,反复多次,合并膝盖伸直,足趾慢慢指向鼻子,这种方法可以有效拉伸足部跖筋膜。
2.进行小腿三头肌的锻炼:
每日牵拉小腿三头肌,跟腱,跖筋膜。
方法:
1)用毛巾挂在脚趾上,牵拉,是足背背伸,动作可反复。
2)脚后跟悬空,前脚掌站在台阶上保持平衡站立,慢慢降低后跟,直到你开始感到小腿肌肉拉张,保持这一姿势10秒,然后站起来,并且重复动作。
3.脚趾抓毛巾锻炼:
使用足趾将展开的毛巾收拢,这样可以锻炼足内肌群,反复多次,循序渐进。(图6)

▲ 图6.足跟部使用硅橡胶软垫
供稿:上海市医学会骨科专科分会足踝学组
作者:干耀恺 史定伟 上海市医学会骨科专科分会足踝学组副组长 上海交通大学医学院附属第九人民医院骨科
审核:马 昕 上海市医学会骨科专科分会足踝学组组长
上海市医学会是一个有着百年历史的社会团体,以促进医学科技发展、医学知识普及为己任,一直以来坚持科普惠民的理念,所属各专科分会积极响应学会号召,集中全市最优秀的医学专家,开展多种形式科普活动,全方位推进医学科普宣传。上海市医学会于2018年获得上海市卫生健康委员会首批“上海市健康科普文化基地”称号,将担负起更大的责任和义务,继续着力于向人民群众传播正确的医学健康知识,提升全民健康素质,实现人民对美好生活的向往,将基地建设成更为优质、更受欢迎的医学健康科普家园。