
引言
分享伴有抗核抗体谱异常的血性胸腔积液1例。该患者的「合并血性胸腔积液的结缔组织疾病」疾病首发表现为肺部,相关临床表现和辅助检查支持为系统性硬化累及肺脏,激素和免疫*制剂抑**治疗效果也较好。但患者合并血性胸水,不能以系统性硬化解释,特别是对于合并静脉血栓栓塞症的患者,需特别警惕恶性肿瘤,进一步查肿瘤相关抗原提示并且多项糖抗原指标升高,通过进一步检查明确患者同时合并卵巢恶性肿瘤。该病例的整个诊治过程和转归对临床有很好的借鉴意义和启迪作用。
无明显诱因咳嗽、呼吸困难,查出大量胸腔积液……病史特点复杂,诊断面临团团疑云
69岁女性患者,因主诉「反复咳嗽 9月,加重伴呼吸困难半月」于2017年2月8日收住我院。入院9个月前,患者无明显诱因出现咳嗽症状,但无明显咳痰,亦无畏寒、寒战、发热、咯血、胸痛、消瘦、呼吸困难等表现,无关节痛、脱发、口腔溃疡、皮疹。患者在当地某三甲医院胸片检查示「肺部感染」,未予特殊处理。期间,患者有反复干咳,夜间及清晨较为明显。入院2个月前,患者的咳嗽症状频繁,于当地县医院输液治疗,但无明显好转。入院前半月,咳嗽再次加重,并伴胸部压榨感、活动后呼吸困难,无夜间阵发性呼吸困难、端坐呼吸,于当地某三甲医院行胸片示「双肺感染、右侧胸腔少量积液可能」,胸部CT示「右侧胸腔积液」,未行治疗,呼吸困难逐渐加重,入院时日常活动即可出现呼吸困难症状。
我们追问其病史发现,11多年前,患者被确诊冠心病,植入冠脉支架一枚,院外规律口服阿司匹林、氯吡格雷、美托洛尔等药物,但近1年时间,患者自行停药,病程中无胸痛、胸闷、心前区不适。3个月前,患者出现双下肢水肿,输注利尿剂后仍有间断水肿。无胺碘酮使用史。确诊2型糖尿病1年,规律使用门冬胰岛素,空腹及餐后血糖均达标。磺胺类药物过敏史。其余无特殊。患者否认吸烟、饮酒史。否认放射性物质及化学毒物接触史。否认生食螃蟹、鱼虾史。家族史无特殊。
入院体格检查情况为:T: 36.5℃,P: 110次/分,R: 21 次/分,BP: 143/94 mmHg,体重:70 kg ,身高:154cm。口周放射性皱褶。浅表淋巴结未扪及肿大。右下肺叩浊,右肺呼吸音降低,双肺未闻及湿罗音及爆裂音。心界不大,心率110次/分,律齐,P2亢进,杂音(-)。腹部检查阴性。无皮疹,双下肢轻度凹陷性水肿,关节无压痛,双手手指第二指节皮肤硬化。
入院前辅助检查情况为:血常规(2017-02-06): WBC 8.15×10^9/L,Hb 115 g/L,N 81.5%。BNP (2017-02-06): 219 pg/ml。胸片(2017-02-06):双肺感染;右侧胸腔少量积液。心脏彩超(2017-02-06):心脏各腔室大小正常;三尖瓣局限性反流,反流压差增高,考虑有肺动脉高压;左室舒张功能减退。
根据上述的情况,我们总结了该患者的病史特点:
1、老年女性,起病缓,病程较长;
2、有冠心病、糖尿病基础;
3、慢性干咳9月,加重伴呼吸困难半月为主要表现;
4、病程中无畏寒、发热、寒战、盗汗、胸痛、消瘦,无皮疹、肌肉关节痛,无鼻炎、咽炎病史及症状;
5、右侧胸腔积液体征,双手手指第二指节皮肤硬化,双下肢轻度凹陷性水肿。
6、院外辅助检查提示肺部感染病灶、肺动脉压增高、右侧胸腔积液。
鉴于此,患者初步诊断为:1、胸腔积液待查:(1)心源性?(2) 肿瘤?(3)肺栓塞?(4)结缔组织疾病?(5)结核?(6)肺炎旁胸腔积液?2、冠状动脉粥样硬化性心脏病 冠脉支架植入术后;3、2型糖尿病。
胸水癌细胞、细菌、分枝杆菌快速培养及罗氏培养均为阴性,却从胸水中找到异常抗核抗体谱
为明确诊断,患者入院后我们又完善了相关检查,胸腔积液相关检查如下表:
|
项目 |
结果 |
|
胸水常规 |
红色浑浊,蛋白(李凡他) 阳性2+ P,细胞总数 104200 *10^6/L ,有核细胞数 2200.0 *10^6/L ,单核细胞89%,多核细胞11%。 |
|
胸水生化 |
总蛋白50g/L(血清总蛋白 68g/L),白蛋白 27g/L,LDH 1960U/L(血清LDH 4484U/L ), ADA 16.5U/L |
|
胸水癌谱 |
糖类抗原19-9 3.7U/ml,细胞角蛋白19片段 115.9ng/ml,铁蛋白 6335ng/ml,癌胚抗原3.6ng/ml,甲胎蛋白2.3ng/ml |
|
胸水脱落细胞 |
未找到癌细胞 |
|
胸水抗酸杆菌 |
未找到抗酸杆菌 |
|
胸水培养 |
胸水细菌阴性,分枝杆菌快速培养及罗氏培养均为阴性 |
|
胸水抗核抗体谱 |
阳性 +(1:320),抗SSA抗体+,抗Scl-70抗体 阳性 + |
血常规: WBC 8.61 ×10^9/L,N 81.5%;CRP 39.30 mg/L ;PCT、G试验、GM试验、BNP、心肌损伤标志物、乙肝两对半、输血前检查、肝肾功、电解质、凝血像、血糖未见明显异常;尿蛋白定性 + -P,尿隐血(-) ;血清肺癌肿瘤标志物五项不高。自身免疫相关检查:血清抗核抗体谱:阳性 +(1:320 颗粒型),抗Scl-70抗体阳性;类风湿因子、CCP、抗角蛋白抗体(-);补体C3、C4(-);ANCA、抗心磷脂抗体、肌酶谱、狼疮抗凝物均(-);血沉 29mm/h 。因痰少、标本不合格,无痰涂片、痰培养结果。
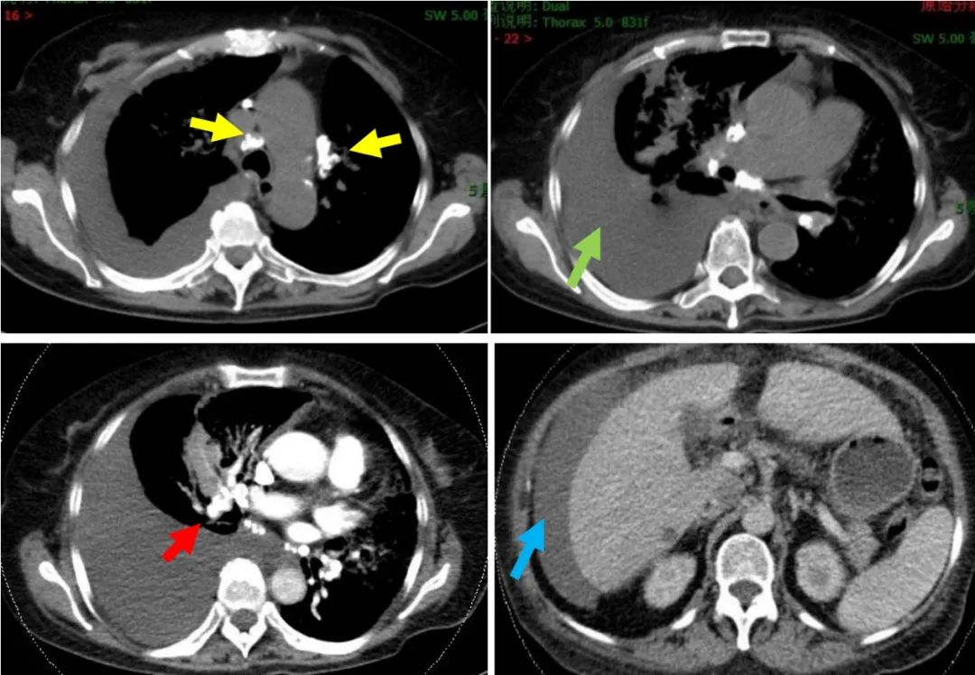
胸部增强CT(2017-02-14):双肺内多发斑片影、蜂窝状影及结节影,伴双肺气管、支气管壁稍增厚,考虑炎症,建议治疗后复查。右侧胸膜腔大量积液。右肺中下叶压迫性肺不张。纵隔及双肺门多发淋巴结钙化。胸主动脉及双侧冠脉钙化。腹水。CTPA:右肺下叶肺动脉未见明显显影,左肺下叶肺动脉显影较差。余肺动脉未见明显充盈缺损。

图1:胸部CT(2017-02-14)提示双肺斑片影、蜂窝状影及结节影,伴双肺气管、支气管壁稍增厚、右侧大量胸腔积液。

图2:胸部CT(2017-02-14)纵隔窗:黄色箭头示:纵隔及双肺门多发淋巴结钙化;橙色箭头示:右侧大量胸腔积液,红色剪头示:CTPA右肺下叶肺动脉未见明显显影,蓝色剪头示:肝周见腹水。
腹部彩超:1.肝囊性占位性病变(囊肿)。2.胆囊结石。3.腹腔积液。双下肢静脉彩超:左侧股浅静脉近段、小腿肌间静脉血栓形成。心脏彩超(2017-02-14):1.右室增大伴右室肥厚(右室舒张末径23mm,右室前壁厚度9mm)。2. 重度肺动脉高压(PASP 67.9mmHg)伴三尖瓣中度反流。心电图:ST-T改变。肺功能:重度限制性通气功能障碍,残气功能及弥散功能因气量不足无法测定。血气分析(未吸氧):pH 7.430,PCO2 31.1mmHg,PO2 63mmHg。气管镜下见双侧各叶段支气管黏膜充血肿胀,抽吸物及灌洗液未找到癌细胞、抗酸杆菌。支气管肺泡灌洗液细胞分类计数:淋巴细胞百分比 71%,中性粒细胞 22.6%,巨噬细胞百分比 6.4%。
结合患者阳性症状、体征及检查结果,四种判断均有支持点……全方位排除法仔细「求因」,诊断当即拍案
追问患者有口干、吞咽不适、雷诺现象,总结该患者阳性症状、体征及检查结果如下:(1)干咳、呼吸困难、口干、吞咽不适、雷诺现象,胸腹水等多浆膜腔积液。(2)查体:口周放射性皱褶,右肺叩浊,P2亢进,双手指第二指节皮肤硬化,下肢轻度凹陷性水肿。(3)胸部CT:斑片影、蜂窝状影及结节影等肺间质改变,右侧胸腔积、液腹腔积液,右下肺动脉栓塞;(4)心脏彩超:重度肺动脉高压;(5)下肢彩超:左侧股浅静脉近段、小腿肌间静脉血栓形成;(6)肺功能:限制性通气功能障碍;(7)尿常规:蛋白+-;(8)胸水检查:渗出液,单核细胞为主,癌细胞及抗酸菌(-),癌谱不高;(9)抗核抗体谱:抗核抗体阳性 (1:320),抗Scl-70抗体 阳性。
该患者多浆膜腔积液到底是什么原因呢?分析如下:
(1)首先排除心功能不全、肝硬化、肾功能不全、低蛋白血症等原因导致的漏出液。
(2)感染性?患者病程长,无畏寒、发热、黄痰等感染征象;血象、CRP 、PCT 、G试验、GM试验无明显异常;胸水细胞分类以单核为主,细菌培养阴性;临床上血性胸水极其少见。故排除肺炎旁胸腔积液及感染性多浆膜腔积液。
(3)结核性多浆膜腔积液?支持点:糖尿病基础,双肺多发、多形性病灶,多浆膜腔积液,胸水为单侧,性质为渗出液,细胞分类以单核细胞为主。不支持点:无潮热、盗汗等结核中毒症状,结核抗体、T-SPOT阴性,PPD皮试阴性,胸水、气管镜抽吸物找抗酸杆菌阴性,胸水分枝杆菌快速培养阴性(后续罗氏培养养亦为阴性)。结核性胸腔积液证据不足。
(4)肺栓塞相关胸腔积液?支持点:血性胸水,肺动脉压力增高,下肢深静脉血栓,CTPA提示右下肺动脉未见明显显影。不支持点:胸水量大,不符合肺栓塞胸水特点;充分抗凝治疗后胸腔积液未见减少,且无法解释腹腔积液原因。肺栓塞相关胸腔积液依据不足。
(5)癌性多浆膜腔积液?支持点:老年病人,血性胸水、腹水,胸水量大、单侧渗出液,细胞分类以单核细胞为主,无感染征象,需考虑肿瘤性胸腔积液伴有腹膜转移所致腹腔积液可能。不支持点:胸部CT影像学不符合典型肺癌表现,血清肺癌肿瘤标志物五项不高;胸水癌谱指标无明显增高,多次胸水找癌细胞:阴性;气管镜抽吸物找癌细胞:阴性。没有找到肿瘤确切依据。
(6)结缔组织病相关多浆膜腔积液?支持点:临床表现:女性,干咳症状,口周放射状皱褶,双手手指第二指节皮肤硬化;胸部CT提示双肺内多发斑片影、蜂窝状影及结节影等间质性改变,伴多浆膜腔积液;肺动脉压力增高;抗核抗体谱:血清及胸水抗核抗体1:320 阳性,抗Scl-70抗体 阳性 + 。考虑结缔组织病、结缔组织病性间质性肺病及相关胸腔积液。根据患者抗核抗体谱指标,考虑系统性硬化。
诊断考虑为
1. 多浆膜腔积液:系统性硬化;2. 结缔组织病性间质性肺病;3.右下肺动脉栓塞;4.左侧股浅静脉血栓、小腿肌间静脉血栓;5.冠状动脉粥样硬化性心脏病;6. 2型糖尿病;7. 低氧血症;8. 肝囊肿;9. 胆囊结石。
血性胸水能否以系统性硬化解释?什么情况下要高度考虑有无肿瘤性疾病?……痰脱落细胞及气管镜、肺癌谱均未找到确切证据,如何突破?
我们对患者进一步的治疗为:甲泼尼龙40mg bid×7天后改为40mg qd,复方环磷酰胺片100mg qd,乙酰半胱氨酸片600mg tid 抗氧化,百令胶囊 4颗 tid 抗纤维化,反复胸腔穿刺4次,共引流血性胸水2200ml,低分子肝素抗凝+迈之灵消肿。经上述治疗1周后患者呼吸困难明显好转。
系统性硬化病到底有哪些特点呢?我们简单进行相关文献复习:系统性硬化病是一种以局限性或弥漫性皮肤增厚和纤维化为特征并可累及内脏的全身性疾病,累及肺部可表现为间质性肺疾病、肺动脉高压、支气管扩张、胸腔积液和自发性气胸等,其中间质性肺疾病和肺动脉高压是最主要的肺部并发症,两者可合并出现或单独存在,均是导致患者死亡的重要原因。
本例患者同时存在间质性肺疾病、肺动脉高压、胸腔积液,且存在阳性免疫学指标,使用激素、免疫*制剂抑**及抗氧化等治疗后患者呼吸困难症状明显好转。这与文献报道相符。
然而,通过查阅文献我们发现,血性胸水在系统性硬化中罕见,血性胸水能否以系统性硬化解释?合并结缔组织病、血性胸水及VTE的患者,需高度考虑有无肿瘤性疾病。另外,任何结缔组织疾病均要考虑原发还是继发,而继发必须考虑是否为肿瘤所致的副癌综合征。但患者通过痰脱落细胞及气管镜、肺癌谱等检查未找到肺癌的确切证据。下一步如何突破?
我们决定进一步完善肿瘤相关抗原及全身PET-CT检查行全身筛查,结果提示:癌抗原125:564.22 ↑Ku/L(参考值<35 Ku/L),癌抗原15-3:77.19 Ku/L(参考值<35 Ku/L)。全身PET-CT检查:1、盆腔巨大占位性病变,代谢活性增高(SUVmax值12.4),考虑附件来源恶性肿瘤。2、网膜及系膜多发结节,代谢活性增高,考虑转移。3、腹膜后腹主动脉旁淋巴结,代谢活性增高,考虑转移。4、双肺斑片状高密度影伴结节影,以右肺上叶明显,代谢活性轻度增高,考虑炎性病变,建议治疗后随访复查。5、右肺上叶尖段、左肺上叶尖后段后胸膜下及左肺下叶前内基底段胸膜下钙化灶;双侧胸膜增厚伴胸腔积液,以右侧明显。6、肝囊肿;腹腔及盆腔积液。
行阴道后穹窿穿刺,脱落细胞检查提示:找到癌细胞(腺癌可能)。请肿瘤科会诊后考虑肿瘤为卵巢来源可能性大,建议取活检病理行免疫组化进一步明确来源,患者结缔组织病不除外肿瘤副瘤综合症,目前以治疗肿瘤为主。

图3:PET-CT检查盆腔巨大占位,代谢活性增高,SUVmax值12.4

图4:阴道后穹隆穿刺找到癌细胞(腺癌细胞可能)
妇科肿瘤及CTD-ILD诊断明确,二者有关联吗?一元论解释为CTD继发于恶性肿瘤还是二元论解释肿瘤合并系统性硬化?
目前,患者妇科肿瘤及CTD-ILD诊断明确。二者之间有无关联呢?应以一元论解释,考虑CTD继发于恶性肿瘤(副肿瘤性风湿病综合征),还是以二元论解释,考虑肿瘤合并系统性硬化?
部分恶性肿瘤患者临床以风湿病症状起病或以风湿病症状为突出表现,即副肿瘤性风湿病综合征。副肿瘤性风湿病综合征有时很难与原发性风湿病鉴别,常导致隐藏在风湿病表现背后的肿瘤的诊断被延误或漏诊,使肿瘤预后更差。恶性肿瘤最常见的风湿性表现有多关节炎、多发性肌炎/皮肌炎、副肿瘤血管炎、增生性骨关节病,少见的有筋膜炎、脂膜炎、结节红斑狼疮样综合征以及雷诺综合征等。临床中遇到以下征象时,应警惕潜在副肿瘤性风湿病的可能:(1)急性发作的非对称性或不典型的多关节炎或弥漫性骨痛;(2)增生肥厚性骨关节炎;(3)慢性不能解释或症状不典型的血管炎;(4)顽固性对糖皮质激素反应差的嗜酸性筋膜炎;(5)50岁以上发生雷诺现象或皮肤白细胞破碎性血管炎;(6)急进性肢端坏疽或肌无力综合征等。此外诊断以下风湿病时也应警惕肿瘤的存在:(1)良性水肿性多滑膜炎;(2)成人斯蒂尔病;(3)无肌病性皮肌炎综合征;(4)抗磷脂综合征;(5)混合型冷球蛋白血症。
该患者到底是副肿瘤性风湿病综合征,还是肿瘤合并系统性硬化呢?这需要在进一步的治疗中验证。由于该患者及家属不愿行盆腔占位活检,放弃了放化疗等肿瘤相关治疗,因口服激素及复方环磷酰胺后呼吸困难好转,愿意继续行系统性硬化病的相关治疗:泼尼松片(40mg qd,逐渐缓慢减量),复方环磷酰胺片100mg qd (长期口服未减量),乙酰半胱氨酸600mg tid,百令胶囊4颗 tid。经上述治疗后,患者呼吸困难进一步好转,后于治疗后约1个月及3个月后复查胸部CT提示肺部病灶减少,胸水逐渐减少至基本吸收。原则上副肿瘤综合征肿瘤治疗后风湿病表现才明显好转,只是抗风湿治疗好转并不能证明是副肿瘤综合征。通过治疗反应,考虑患者为肿瘤伴发系统性硬化可能性大。

图5:复查胸部CT(2017-03-16)肺部病灶吸收,胸水减少

图6:复查胸部CT(2017-05-26)肺部病灶进一步吸收,胸水基本吸收
总结
通过对该病例整个诊治过程和转归分析,对临床有两点借鉴意义和启示:
1、所有的结缔组织疾病均应鉴别是原发还是继发,继发必须筛查是否为副肿瘤综合征;
2、肿瘤伴发的间质性肺炎临床并不罕见,但目前全球缺乏相关的流行病学资料,并且发生机制尚不明确,值得深入探讨。




本文完
采写编辑:冬雪凝;
*今条头日**排版:大奔