前列腺增生症是老年男性常见病,多表现为尿频、尿急、排尿困难等症状。所以当出现尿频、尿急等症状时,往往认为是“*毛老**病”又犯了,忽视掉其他泌尿系疾病的发生,因此而耽误病情。
病例:
患者,男,73岁,2月前出现尿频、尿急、尿痛,自觉排尿不畅,伴尿不尽感,偶有肉眼血尿。患者患前列腺增生多年,有肾结石病史,一直每日口服非那雄胺 0.5mg+坦索罗辛0.2mg治疗,有时候排尿仍有不畅。患者一直未重视,未行相关治疗,认为是自己的*毛老**病前列腺增生导致的。
患者住院后,行泌尿系超声检查,结果提示:左肾囊肿;前列腺增生伴回声欠均匀伴钙化灶,请结合PSA检查;膀胱内可疑强回声,结石可能。
尿常规结果提示:白细胞: 21839.40/μL↑,白细胞(高倍): 4963.50/HPF↑,红细胞: 5478.00/μL↑,红细胞(高倍): 1245.00/HPF↑,白细胞酯酶: 3+,亚硝酸盐: 1+,潜血: 3+ 。
PSA检查结果提示,总PSA: 1.79ng/mL,游离PSA: 0.230ng/mL,FPSA/PSA: 0.13↓。
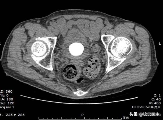
次日,再次行泌尿系CT检查,结果提示:肝、左肾多发囊肿;考虑膀胱结石;腹主动脉及其分支管壁多发钙化。

鉴于患者年龄偏大,再加上患有前列腺增生等疾病,综合各种因素,建议进行手术治疗。进行全身麻醉生效后,取膀胱截石位,常规络合碘消毒阴部及周围手术野,铺无菌巾、孔巾。应用丁卡因凝胶行局部浸润麻醉,电视监视下应用STORZ#22F膀胱镜,顺利置入,见膀胱内充满结石,大小不等,大者约4cm x4cm x4cm。顺序观察膀胱各壁及三角区,膀胱粘膜明显充血水肿,未见明显占位病变,双侧输尿管开口观察不清,用钬激光将结石击碎,部分随水冲出,部分取出,彻底冲洗,可见已碎细小结石可待以后自行排出,留置F20#o1ey尿管,水囊注水10m1。

前列腺增生与膀胱结石,两者既有联系,又有区别。患有前列腺增生时,前列腺内腺区域增生,就会压迫尿道引起进行性排尿困难,从而导致膀胱内有一定残余尿,也就是膀胱内尿液无法排除干净。长此以往,尿液中的矿物质成分会形成沉淀物,慢慢由尿液结晶变成尿液结石,从而形成膀胱结石。从某种意义上说,前列腺增生是膀胱结石的诱发因素之一,但二者在发病原因、症状和治疗方式上都存在较大区别。

1.发病原因不同
膀胱结石多数是由于尿路梗阻比如前列腺增生、尿道狭窄引起,或者是膀胱内异物、膀胱憩室、长期留置导尿管,以及肾脏结石通过输尿管落入膀胱等原因形成的。
前列腺增生的形成原因并未明确,通常认为前列腺炎未彻底治愈、过度*生活性**、吸烟、饮酒、遗传以及环境等因素都会诱发疾病。
2.主要症状不同
膀胱结石发病后最典型的临床症状是排尿突然中断,也就是说病人在排尿的过程中突然出现这种排不出尿,然后病人活动一*体下**位之后又可以进行排尿。同时还会伴有血尿和排尿疼痛,疼痛放射至远端尿道及阴茎头部,并且伴有排尿困难和膀胱刺激症状。白天活动时膀胱结石的症状更为明显,夜间睡眠时上述膀胱结石的症状可减轻或消失。
前列腺增生在患病早期症状并不明显,随着病情的发展,前列腺增生患者会出现尿急、尿频、尿*禁失**、夜尿频多、*交性**困难、体温升高、尿路梗阻、血压升高以及贫血等症状,但通常不会出现排尿中断、血尿等症状。
3.检查和治疗方式不同
膀胱结石的患者一般需要进行膀胱区摄X线平片检查、尿常规和B超检查,治疗多采用手术取石,在术后要配合进行一段时间的排石药物治疗。
前列腺增生患者一般需要进行B超检查、尿常规检查、外生殖器检查、直肠指诊等,治疗前列腺增生需要进行手术治疗,手术分为微创手术和传统的手术。
因此,在遇到老年男性患者时,一定要明确患者的症状,通过典型症状来区分前列腺增生和膀胱结石,对症治疗。