体检偶然发现了“肝囊肿”、“肝脏囊性灶”、“多发肝囊肿”等,你是不是吓坏了呢?难道真的是肝出了大问题?这是不是癌?
今天,我们就来说说,体检发现肝囊肿怎么办?会不会变癌?要不要吃药?

通俗地说,肝囊肿就是肝脏上的水泡,一般不和外面相通,位置较浅或个头大的,可突出来,使肝表面变得不光滑。
囊肿大小不一,小的如针尖,大的像个椰子。
但是多数就是几毫米到几厘米大,可以是一个,也可以是好几个,内部结构可以是‘单间’,也可是‘套间’,囊内还会有液体,所以看起来就像个水泡。

可以这样分类:
①单纯性肝囊肿和多发性囊肿疾病(先天性疾病,通常肝脏及肾脏同时多发囊肿);
②包虫病、囊腺瘤、先天性肝内胆管扩张;
③罕见的有恶性肿瘤、创伤肝内血肿、肝内胆汁瘤。
正是因为引起肝囊肿病变病因范围较广,所以针对不同肝囊肿病变的处理诊疗方式也是大相径庭的。
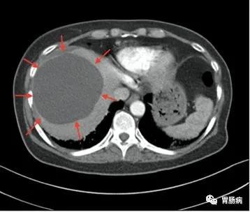
超声是最有效的初检手段,如果需要进一步鉴别,可以再做CT或者核磁共振,甚至穿刺针吸活检等检查。CT如下图所示

大多数肝囊肿无明显症状,仅在B超或CT检查时偶然发现,少数可表现为餐后饱腹感、食欲减退、腹痛腹胀等,尤其是体积较大的肝囊肿。
肝囊肿需要治疗吗?
肝囊肿的治疗应视其大小、性质变化及有无并发症而定,一般生长缓慢,大多数不需要治疗,定期体检复查即可,若肝囊肿不发生明显变化、不影响身体健康则无需特殊处理。目前尚无特效预防办法。
最常见的单纯性肝囊肿,在超声检查中表现为肝脏内部出现的澄清液体的囊性结构,偶然体检发现的无症状患者不需要对肝囊肿进行治疗,单纯性肝囊肿也不需要反复做检查。

囊肿小的,可以1-2年复查一次彩超,囊肿比较大的,半年到1年复查一次为妥。
巨大囊肿有自发性出血、感染、破裂及压迫胆道导致梗阻可能,需在医生的指导下做进一步检查及治疗,可行囊肿穿刺抽吸或肝切除等外科手术治疗。
治疗方法包括囊肿穿刺抽液后无水酒精注射术、囊肿开窗术、囊肿引流术或囊肿切除术等。
如诊断明确为包虫病,主要治疗方式为手术治疗,抗寄生虫药物辅助治疗。
肝囊肿会癌变吗?
绝大多数的肝囊肿不会发生癌变。
有两种情况虽然极少发生,但仍应该警惕:
一、诊断错误,原本就不是肝囊肿,而是肝脏囊腺癌;
二、有较长的肝囊肿病史,随访中影像学检查发现囊肿壁从光滑发展到呈结节状,可能伴有血清CA199或CA125等指标水平的升高,这时囊肿可能出现癌变。三、多发性肝囊肿有时还需要与肝内胆管囊性扩张症进行鉴别,后者往往与肝内胆管相通,如果将肝内胆管囊性扩张症当做肝囊肿治疗,将可能造成灾难性的后果。而临床上鉴别这两种疾病,则需要加做核磁共振肝胆管成像检查(MRC)。
总结
总而言之,在体检或因不适就诊时发现“肝囊肿”,不用慌张,主动向医生说出自己是否有不适,是否有旅游或者特殊经历病史,配合医生的检查及诊疗即可。
参考文献
1.ACG clinical guideline:the diagnosis and management of focal liver lesions. Am J Gastroenterol.2014;109(9):1328.
2.杨绍基,李兰娟,任红,传染病学(第八版),北京,人民卫生出版社,2013年3月,第340-344页。
3.Craig PS, Enochinococcus granulosus:immunodiagnosis and vaccination,a perspective.Parassitologia,1997;39(4):345.
4.Dong Min Lee et al, Spontaneously Resolving of Huge Simple Hepatic Cyst.Korean Journal of Gastroentrology. 2018 Aug 25;72(2):86-89.
4.吉米大夫:体检时发现肝囊肿该怎么办?会不会变癌?
5.南方村医:体检发现肝囊肿,应该怎么办?
6.朱海榕:体检发现“肝囊肿”,该怎么办?