#儿研所儿医说#
勤劳的任医生,从昨天早上七点半一直忙碌到今天凌晨1点最后一台急诊手术结束。今天上午,六点半又开始了一天的工作。但是,再苦再累,每天的头条不能爽约~~

太阳每天都会升起,宝宝们每天也都会用哭声或者笑声宣布一天的奶爸奶妈工作又要开始了。天逐渐暖和了,花草树木都萌发了新芽,绽放了花朵,随之而来的蚊虫也逐渐多了起来,宝宝娇嫩的皮肤永远都是他们最美味的所在,于是蚊虫叮咬伤也就成了宝爸宝妈们最焦虑的问题之一。今天胖胖任医生就借昨晚急诊的病历给大家讲一下蚊虫咬伤。

昨晚任医生急诊就接诊了这么一位小宝宝,孩子妈妈说,孩子不小心崴脚一天了,脚突然(划重点,是突然)就肿的特别厉害,然后赶紧来医院了。
胖胖任医生仔细问了孩子的病史(也就是最近和脚肿相关的可能发生过的事情),然后又仔细查看了宝宝的小脚,肿的很厉害(重点!),而且有的地方有明显的水泡(重点!肿胀引起的水泡主要是由于组织突然肿胀,对皮肤牵拉过度,引起皮肤的损伤,我们也叫张力性水疱。),肿胀最明显的地方还有点红(不会有感染吧?),压痛也有,但是不像崴脚那么厉害。

可以看到红肿处有明显水泡


双脚对比,看的更明显
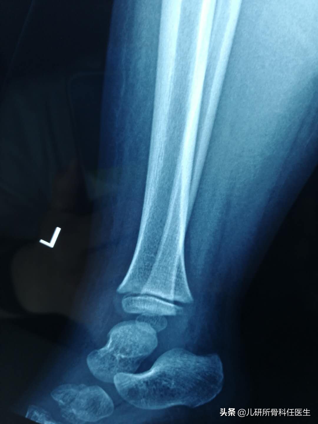
这种情况,根据我的经验,蚊虫叮咬的可能性很大,但是问孩子妈妈说没记得有蚊虫咬过(估计蚊子饱餐一顿后没有跟妈妈那里买单)。为了防止误诊和漏诊,任医生还是给孩子做了两项检查,一是拍了踝关节的正侧位x线片,同时查了血常规和C反应蛋白(儿研所的这两项检查只需要查指尖血就可以),主要是要排除骨损伤和软组织感染两种情况。
经过漫长的等待,结果出来了,X线提示未见明显骨损伤。


血常规结果提示白细胞总数并不高,中性粒细胞也不高,偏偏嗜酸性粒细胞明显增高。

它为啥增高?这和它的出身以及职业有直接关系。嗜酸性粒细胞是白细胞的一种,干的就是保家卫国的活,而它除了肩负着*伤杀**细菌和寄生虫的作用,还兼任免疫反应和过敏反应两大自卫反击站的重要职务,可以通过输送*药弹**,引起组织损伤,促进炎症进展,在发生过敏反应的部位,释放组胺酶,分解组胺,抑制过敏反应。
感觉楼有点歪,但是,这都不是废话,那么为什么蚊虫咬伤的宝宝会出现嗜酸性粒细胞增高呢?因为,大部分的宝宝在蚊虫咬伤后,皮肤只会起一个小小的红包,同时伴有痒痒的感觉。

出现明显肿胀的宝宝一般都是对蚊虫的毒液特别敏感的,也就是容易过敏的宝宝。在蚊虫咬伤后,就会出现局部的过敏反应,严重的宝宝还会出现全身的过敏反应。于是,我们人体内的安保系统就开始运转,白细胞里面的嗜酸性粒细胞就需要闪亮登场,同时为了取得战争的胜利,不断招兵买马,于是在血常规检查可以发现,嗜酸性粒细胞明显升高了。

知道了事情的原委了,我们就该着手解决问题了,发现宝宝蚊虫咬伤了该怎么办?
我们只要对症下药就可以了,蚊虫咬伤主要有这么几种症状,一是肿胀,二是瘙痒,再就是严重肿胀引起的皮肤损伤,以及瘙痒引起抓伤后导致的皮肤软组织感染。
对于轻度的肿胀和瘙痒可以使用硼酸或者康复新外敷。严重的肿胀,可以使用激素类软膏,如糠酸莫米松乳膏、地塞米松软膏等。针对抓伤后导致的皮肤软组织感染,可以常规用酒精、碘伏消毒后使用莫匹罗星软膏、多黏菌素等抗生素类软膏。早期发现蚊虫咬伤,可以使用肥皂水,止痒效果也不错。
如果自己不能确定,而且情况比较严重,还是建议及时到医院就诊,听从医生的专业建议,以免耽误宝宝治疗。
如果觉得胖胖任医生的文章有用,欢迎宝爸宝妈们转发、点赞、关注。跟着任医生,学习如何为宝宝健康成长保驾护航。