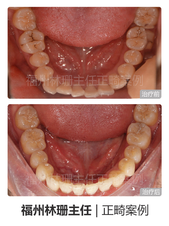
〈牙齿拥挤〉正畸病例姑娘主诉牙齿不整齐,检查诊断患者面型稍不对称,颏右偏,侧貌直。上下颌牙列拥挤。四个智齿已萌出。右侧尖牙、磨牙中性关系,左侧咬合关系稍差。上中线正,下中线右偏2mm。 由于患者侧貌良好,主述为拥挤不齐。拥挤可通过适当扩弓及磨牙远移来解决,因此选择拔除智齿,利用牙列后部的空间来排齐上下牙列。方案设计通过适当扩弓及上下双侧推磨牙向后提供的间隙排齐整平上下颌,调整中线。 矫正结束姑娘的上下牙列整齐,牙弓匹配,前牙覆合覆盖良好,尖牙磨牙咬合关系良好,上下中线对齐,并维持了良好的侧貌,改善下颌偏斜的情况。






以上就是我的正畸案例分享~
关于牙齿矫正更多问题咨询,欢迎大家直接私信我了解更多正畸方面的知识。