点击公众号或微信搜索yzkqkp关注我们
透明成型冠是用于修复乳前牙的一种牙冠外形速成修复辅助套,目前很受儿童牙医的欢迎。
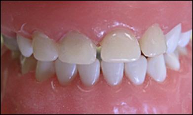
相比其它修复(如不锈钢金属冠、烤瓷冠等),它可以恢复其近乎天然牙牙体形态,色泽非常美观。它对粘结技术要求严格,所以唾液或者血液污染会影响粘接效果。
相比其它修复方法,透明冠修复牙不耐磨耗且容易折断,所以修复后需要吃东西的时候格外注意。
优点:
-
美观
-
材料是一次性的
-
耗时少
缺点:
-
受操作技术水平影响大
-
易脱落,不适用于夜磨牙症或者深咬合患者
-
对于不配合的小孩,完全隔湿有困难,会影响修复效果
透明冠修复步骤
选择大小合适的透明冠,冠切缘的近远中宽度大约等于乳前牙切缘的近远中宽度。

低速手机和球钻去除腐质。

邻面均匀磨除0.5-1.0mm,近远中边缘平行,颊面磨除1.0mm,舌侧磨除0.5mm,线角圆钝。

修整透明冠边缘,用球钻或者探针在舌侧做一个排气孔,排出树脂充填时产生的气泡。

树脂冠试戴,冠边缘延伸至龈缘下1mm,上颌侧切牙一般比中切牙短0.5-1.0mm.

选择合适色泽的树脂,充填至冠的2/3。

牙面酸蚀15秒,吹干,涂粘接剂,或者直接用自酸蚀的粘接剂。

把充有树脂的透明冠就位,清除排气孔和牙龈缘处多余的树脂,从舌侧和唇侧光固化树脂,邻牙重复同样的操作。

树脂抛光钻或者刀片将透明冠舌侧划开,取下透明冠。

微调合,光滑舌侧边缘。

邻牙重复以上操作。

确认咬合。
图片来源:原文
原文链接:http://www.dentalcare.com/en-US/dental-education/continuing-education/ce379/ce379.aspx?ModuleName=coursecontent&PartID=5&SectionID=-1
译者:@儿童牙医嵘
审稿:Debbie

刘嵘
(微博:
@儿童牙医嵘_深圳 )
*南方医科大学硕士研究生,口腔临床医学专业正畸方向。
*就职于深圳友睦齿科
*葉子口腔科普团队成员
*专业特长为对儿童龋病,牙髓病和根尖周病的诊断及治疗,以及早期咬合诱导和错合畸形的矫治。
投稿、合作、加入:dentalleaf@gmail.com
点击"阅读原文"学习儿童牙医专业课程