案例:
三十三岁的洪女士因左胸背部闷痛在半年前CT检查发现了左上肺肿物,在外院长时间抗感染甚至抗结核治疗无效后转入我院,胸心外科副主任赵芝乔带领团队经过充分研究后决定通过胸腔镜微创切除左肺肿物进行活检,术中快速冰冻提示左肺肿物为腺癌,在告知患者家属后进一步行左肺癌根治术+纵隔淋巴结清扫术+左侧胸腔闭式引流术,此次手术创伤小、出血少,最终确诊为“左侧肺上叶恶性肿瘤”。所幸洪女士是早期肿瘤,淋巴结没有转移,不需要化疗,经过医护人员的精心护理,洪女士很快就康复出院。

术前CT显示:左肺上叶舌段有一不规则厚壁空洞,约38.9X31.1mm。

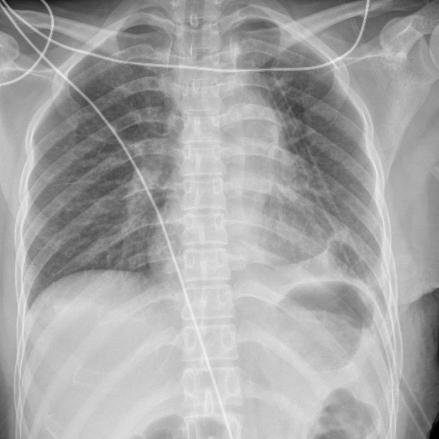
术后复查胸片显示: 肿瘤已被切除,肺复张好,无气胸无积液。
在中国每年新发恶性肿瘤392.9万例,
也就是说每10万人中就有285.83人罹患癌症。
其中肺癌是发病率最高的恶性肿瘤。
肺癌,在我国有75%的患者发现肺癌时已属晚期,
5年的生存率只有15.6%。

我们人类对肺癌就束手无策了吗?
非也!其实,95%以上的早期患者可以达到临床治愈!

一
什么是肺癌?早期有什么症状?
肺癌是生长于肺部的恶性肿瘤,临床上常说的肺癌,是指原发于支气管及肺泡的恶性肿瘤。肺癌之所以难以发现,是因为肺癌早期可无明显症状!病人引起警觉和发现时往往都是中晚期。
肺癌最多见的症状是咳嗽,常常表现为无痰或少痰的阵发性刺激性干咳。当肺癌侵犯邻近器官组织,常表现为胸部不规则隐痛或钝痛,咳嗽时疼痛加重。此外,一些肺癌晚期患者会出现痰中带血或咯血、呼吸困难、声音嘶哑等症状,需提高警惕。

当患者出现如下症状时,应尽早去医院就诊:
1、咳嗽:无明显诱因的刺激性咳嗽,对症治疗无效;
2、既往有慢性呼吸道疾病,近期咳嗽剧烈、咳声高调似金属音、有呛咳等症状;
3、血痰:反复出现痰中带血或咯血;
4、胸痛:初期为不定时的胸闷,压迫感或钝痛,有时甚至无法描述疼痛的性质和具体部位。
5、同一部位反复发作肺炎,抗炎治疗后短暂有效,但病情易反复,或抗炎治疗无效;
6、出现不明原因的胸腔积液。
二
早筛查、早诊断、早治疗

市民朋友们应注意肺癌的筛查,45岁以前建议每年体检一次,45岁以后建议每半年体检一次。另外,90%以上的肺癌患者有长期吸烟或被动吸烟史,建议40岁以上的市民,尤其有吸烟史、有肺癌家族史、有石棉及砷或辐射职业接触史、生活环境空气污染严重、长期在密闭环境工作的人群,最好每年做一次CT进行肺癌早期筛查。
胸部CT可进一步验证病变所在的部位、范围、也可大致区分良恶性,是目前诊断肺癌的重要手段。通过胸部CT发现的早期肺癌,通过微创外科手术,患者五年生存率能在95%以上,十年生存率也在90%以上。重视肺癌的早筛,重视肺癌的早诊非常有必要。
现在,肺癌外科治疗已经进入微创手术时代。以前传统的开胸手术手术切口大,约20cm的大切口、切肋骨断肌肉,手术创伤很大。现在则仅需二三个小洞孔的胸腔镜微创外科技术,就可以完成以前用传统开胸手术完成的肺癌手术。

三
预防肺癌要远离三霾五气
三霾:室外的雾霾、室内的烟霾和内心的阴霾;
五气:室外大气污染、室内*草烟**烟气、厨房油烟气,房屋装修装饰材料中的氡、苯和甲醛气,以及长时间爱生“闷气“”。

其中,吸烟是肺癌发病的首位高危因素,80%以上的肺癌被认为是由于吸烟而引起。尤其是50岁以上,20年吸烟史以及平均每天吸20支烟,这类患者的肺癌风险非常高。远离肺癌最重要的是要及早戒烟,也要杜绝二手烟。

专家介绍

赵芝乔
胸心外科副主任
副主任医师
1993年毕业于汕头大学医学院临床医疗本科专业,一直从事普外科、肿瘤外科、普胸外科临床工作, 2007年获得胸心外科副主任医师资格,2015年被聘为汕头市医学会第一届胸心外科学专业委员会副主任委员。发表国家级和省级论文十多篇,多项研究获得汕头市科技立项。
擅长食管癌、肺癌、纵隔肿瘤、乳腺癌等胸外科疾病诊断和治疗;熟练掌握胸外科专业各种疾病的诊治及完成各种普胸外科手术,如乳腺癌、各段食管癌、贲门癌、肺癌等胸部肿瘤、胸膜肿瘤、纵隔肿瘤以及胸腔镜微创手术治疗技术。

陈坚龙
胸腔镜微创学组副组长
主治医师
2008年毕业于中山大学医学院本科,一直从事胸外科工作, 曾至中山大学肿瘤医院进修学习。
擅长胸外科常见病多发病、乳腺肿瘤的诊治及肺部肿瘤、食管癌、纵隔肿瘤、肺大疱等微创手术治疗。

黄楚生
主治医师
硕士研究生,毕业于汕头大学医学院肿瘤外科胸外科方向,2019年8月取得广东省人民医院汕头市第二人民医院基地住院医师规培合格证,擅长纤维支气管镜检查及食管癌肺癌等胸科常见病的诊疗。

林勋业
主治医师
毕业于广州医科大学临床本科专业,一直从事外科临床工作,2015年被聘为汕头市医学会第一届胸心外科专业委员会委员。
擅长对胸部外伤、食管癌、肺癌、纵膈肿瘤、乳腺癌等胸外科疾病诊断和治疗,熟练掌握及完成普胸外科手术。
汕头市第二人民医院胸心外科
地 址 | 汕头市第二人民医院3号楼11层