一般来说,若是肺癌伴胸腔积液,就有已经发生胸膜转移的机会,特别是当肿瘤较大时,更可能已经转移而失去手术机会。但临床医生却不能总是想当然,还需从患者实际情况细致分析,该努力的需要努力,也许还有希望呢!
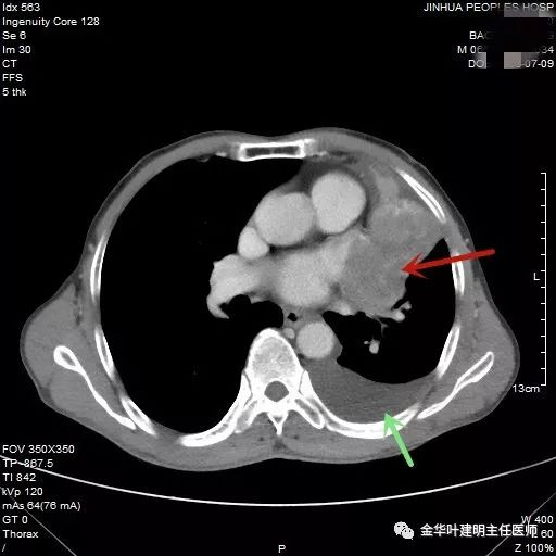
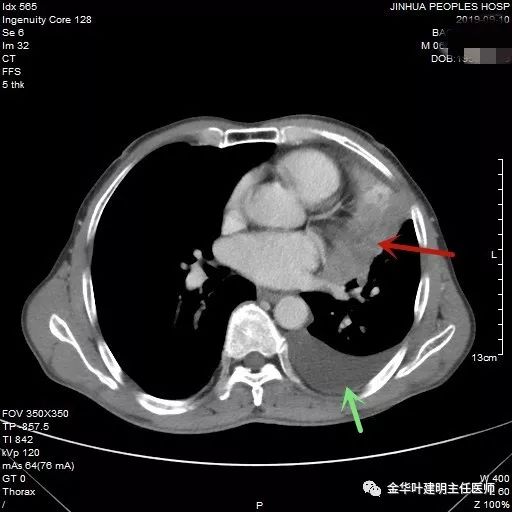
(病例资料2019年)金华的鲍某,今年66岁,前些天因胸闷不适到金华市人民医院就诊,住在内科病房,常规查胸部CT扫描发现左侧胸腔积液及左上叶不张。内科同事叫我去会诊,我看了CT片后认为:鲍某左上叶支气管堵塞伴有上叶不张,左侧还有中等量胸腔积液,首先考虑肺癌,以鳞癌可能性为大。是否能手术需要看相关检查有无远处转移,以及左侧的胸腔积液是不是恶性胸水。从临床经验来看,因为纵隔似乎无显著肿大的淋巴结,又存在上叶不张,胸水是肺不张导致的渗出性液可能性大些,恶性胸水的可能小些,当然这要经过相关的检查化验来确定。所以我建议先预约联系呼吸内科行纤维支气管镜检查以取得病理,确定是否确实是鳞癌(鳞癌才有手术机会,若小细胞癌到这样的程度,那就不能手术了),并予以胸腔穿刺置管引流胸水,并送病理科找癌细胞,送胸水常规、AFP与CEA、胸水生化、胸水细胞学、胸水培养等一系列检查,还抽取300毫升胸水送病理离心后沉渣行石蜡病理检查。结果胸水中未发现癌细胞,纤支镜病理是鳞癌,与之前判断一致,相应的胸部CT增强图像如下:

红色箭头示不张的肺,绿色示胸水


肿瘤与左肺动脉主干关系密切


黄色箭头示肿瘤阻塞左上叶开口

黄色箭头示左肺下叶支气管外壁受累,没有间隙

黄色区域示左下叶支气管受压,与肿瘤间没有间隙

肿瘤巨大,并与心脏关系密切,提示可能需切开心包处理

纤支镜所见如下:



病理结果如下:

上图示胸水病理未找到癌细胞

上图示纤支镜病理确诊鳞癌
鲍某肺功能良好,血气分析正常,经过头MRI、相关彩超、CT等检查无确切远处转移。那么,从临床来看,还是有手术探查以致根治切除的可能性。不过由于增强CT所见,肿瘤影响下叶支气管壁致与其外壁间没有间隙可分开,勉强行左上叶袖式切除可能会因下叶管壁受累未切除而功亏一篑!那么是否能左全肺切除呢?诊疗组经过讨论,认为鲍某在目前左上肺功能已经丧失能维持肺功能指标与血气分析结果基本正常,若行全肺切除相当于较目前只是失去左下叶功能,其实还不到一叶,因为目前上叶有血流没有通气,是有一部无效肺循环的血量的。所以经过与鲍某家属的充分沟通,手术组与患方共同决定行胸腔镜下探查,若进胸后确实发现壁层胸膜光滑无转移结节,那么就行左全肺切除,当然若胸膜有影像未能发现,而镜下可见的转移,则手术仅探查。
经过必要的准备,手术按时进行,幸运的是进胸后,见胸壁光滑无结节,考虑胸水确实是渗出性,而非肿瘤转移所致的恶性胸水。左全肺切除先在胸腔镜下尝试,但因为左上叶阻塞性炎症以后组织非常脆,钳子夹持后极容易破裂,而其内为脓性分泌物,为阻止操作过程中牵拉夹持导致胸腔内感染,遂延长切口进胸操作(这样可以用纱垫覆在肺表面用手扒开,而不用钳子夹持)。因肿瘤大,与肺血管关系密切,与心包紧密愈着,肺静脉难以游离出间隙,遂切开心包处理肺血管,整个过程非常顺利。肺癌伴胸腔积液,并不总是存在胸膜转移,也许你的努力改变了一位肺癌患者的命运!
医者积极的态度,家属的充分信任,术前医患双方真诚的沟通,努力才有希望!
#肺癌手术#