随着肺癌的增多,人们对肺部的健康也是越来越关注。现在查出肺部结节的人也是明显的增多。导致肺部小结节的不一定就是早期肺癌或者癌前病变,也可能是炎症,也可能是结核或者其他良性疾病。所以查出肺部小结节既不能忽视,也不要惶惶不可终日。
最正确的做法就是遵医嘱,根据结节的性质、大小做好定期的复查。之前就有网友咨询我,体检查出了肺部实性结节5毫米,怎么办,会不会癌变?
会不会癌变我想只有天知道。作为人唯一能做的,只有做好定期的复查。在出现最坏结果之前,及时采取措施,将损伤降到最低。今天,就给大家讲讲,肺部出现结节,要怎么办,如何随访?

肺癌的危险因素有哪些
1、吸烟
吸烟包括主动吸烟和长期被动吸烟(二手烟)
- 吸烟是肺癌最常见的危险因素,属于*级A**致癌物质,大约85%的肺癌患者都具有吸烟史。研究表明,与不吸烟的人相比,吸烟者罹患肺癌的危险升高10倍,重度吸烟者(WHO的定义为每天吸烟20支及以上)危险风险为10-25倍。
- 对于已经戒烟的人,虽然肺癌风险有所降低,但是仍然是不吸烟者的9倍左右,但是随着戒烟时间的延长,风险会进一步降低。
- 吸烟与肺癌存在这样的关系,开始吸烟的年龄越小,吸烟强度越大,肺癌的发病率和死亡率越高。
2、职业致癌因素
- 目前已经被确认的致癌物质包括石棉、铍、砷、铀、氡、铬、多环芳烃化合物、双氯甲基*醚乙**、芥子气,电离辐射,微波辐射等。这些致癌物质可以使肺癌风险增加3-30倍。
- 长期在存在致癌物质的环境中工作,属于肺癌的高危人群
3、环境污染
- 室外的环境污染,比如工业废气、汽车尾气等都是致癌物质。有研究显示,城市肺癌发病率明显高于农村。
- 室内环境污染,主要包括家里有人吸烟形成的二手烟;燃料燃烧产生的污染;以及烹饪产生的油烟,这些都是不可忽视的致癌因素。
4、饮食和体力活动因素
- 水果和蔬菜摄入太少,体力活动减少,这些都会导致肺癌的发生风险升高。研究显示:中、高体力活动发生肺癌的风险降低13%-30%。
5、遗传因素
- 有早期(60岁前发病)肺癌家族史的人患肺癌的风险升高2倍,特别是一级亲属得肺癌的。
6、某些疾病
肺结核患者,肺癌风险升高10倍,其他的比如慢性阻塞性肺疾病、结节病、特发性纤维化等等都和肺癌有关。
说完了肺癌的危险因素,再讲讲查出肺结节要如何随访。肺结节并不是都一样的,有的实性的,有的磨玻璃样,还有的混合型,实性成分也有磨玻璃样成分。
对于实性结节的随访
1、结节直径≤4 毫米
- 无肺癌危险因素者,不需要进行随访,但应告知患者不随访的潜在好处和危害
- 存在一项或更多肺癌危险因素者,应在 12 个月重新评估,如果没有变化则转为常规年度检查
2、结节直径4~6 毫米
- 无肺癌危险因素者,应在12个月重新评估,如无变化,其后转为常规年度随访。
- 存在一项或更多肺癌危险因素者,应在6~12个月之间随访。如果没有变化,则在18~24个月之间再次随访,其后转为常规年度随访。
3、结节直径6~8 毫米
- 无肺癌危险因素者,应在 6~12个 月之间随访,如未发生变化,则在 18~24 个月之间再次随访,
- 其后转为常规年度检查。3-6个月随访,如无变化后面9-12个月随访,随后24个月内随访,如果还是稳定的,后面转为每年随访。
4、结节直径>8毫米
- 医生要预测恶性肿瘤的概率,可以通过做PET-CT来判断良恶性。

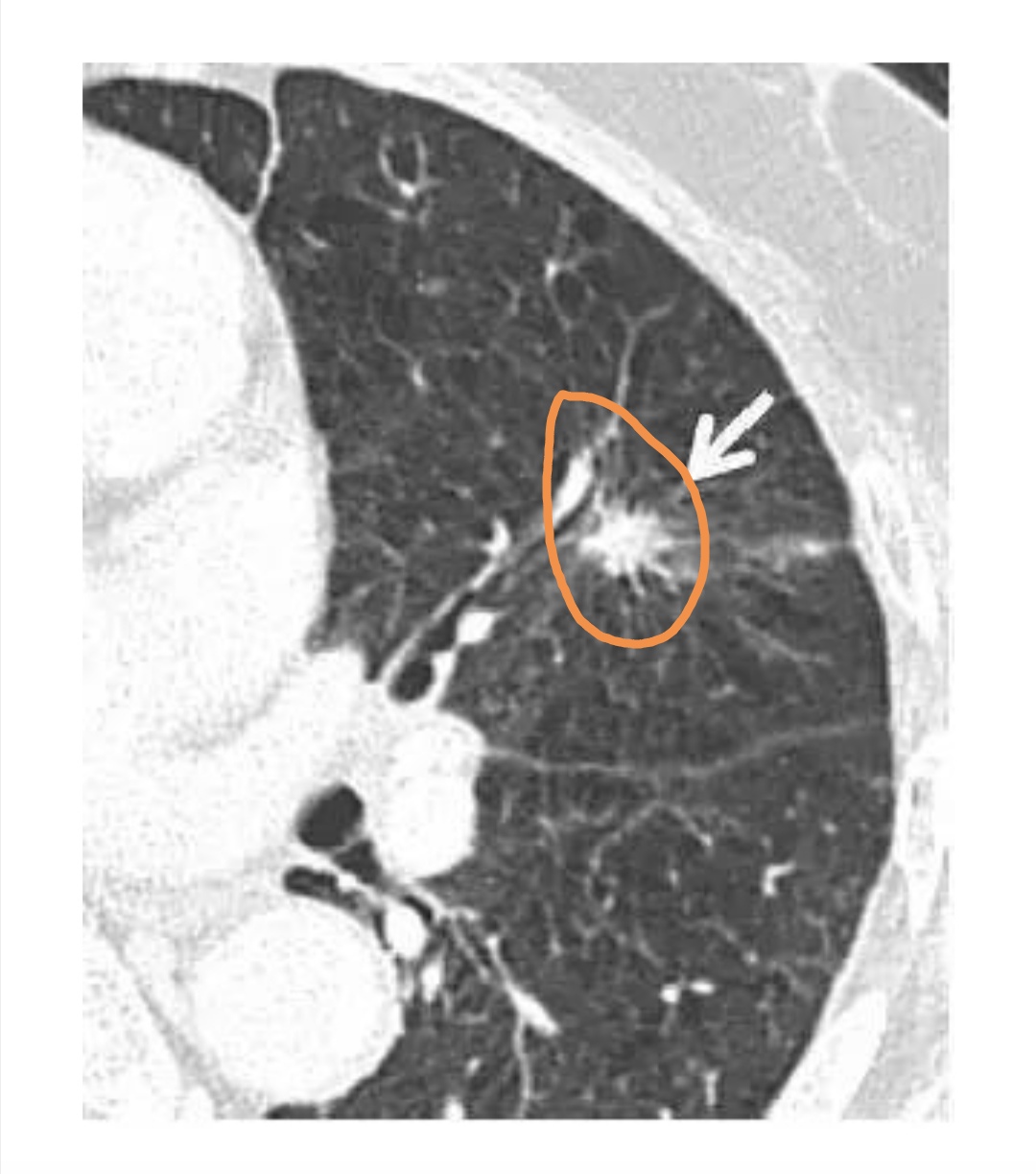
实性毛刺状结节,恶性
对于纯磨玻璃结节
1、单个纯磨玻璃结节,小于5毫米
- 建议在6个月随访胸部CT,随后行胸部CT每年随访1次
2、单个纯磨玻璃结节,大于5毫米,小于10毫米
- 建议在3个月随访胸部CT,随后行胸部CT每年随访1次
3、单个纯磨玻璃结节,大于10毫米
- 需非手术活检和(或)手术切除
在随访过程中,如果结节增大(特别是增大到10毫米以上的),提示可能恶性转化,需要非手术活检和(或)手术切除。

相隔1年,磨玻璃结节变成实性结节,为恶性
单个密度不均匀的部分实性结节
- 单个部分实性结节直径小于等于8毫米者,建议在 3、6、12 和 24 个月进行 CT 随访,无变化者随后转为常规每年随访。
- 部分实性结节直径大于8毫米者,建议在 3 个月重复胸部CT检查,适当考虑经验性抗菌治疗
- 若结节持续存在,随后建议使用 PET-CT、非手术活检和(或)手术切除进一步评估。
密度不均匀的部分实性结节,实性成分超过50%,提示恶性可能大。实性成分越多,发生侵袭和转移的可能性越大。
- 因此,对于6 mm 及以上实性成分的部分实性结节,应考虑 3~6 个月行CT扫描随访来评估结节。对于具有特别可疑形态(即分叶或囊性成分)、连续生长或实性成分大于8毫米的部分实性结节,建议采用 PET-CT、活检或切除术。

部分实性结节
总结:
查出肺结节既不要过于担惊受怕,也不要觉得无所谓。要本着有病治病,没病体检的心态,定期的复查。只有这样,即使不好的东西,也可以及时的发现。
针对网友5毫米的实性结节:
- 如果没有肺癌危险因素者,那么应该在12个月随访。如12个月后没有变化,后面转为常规年度随访。如果出现变化,那么根据相应的变化,进一步的处理。
- 如果存在一项或更多肺癌危险因素者,应在6~12个月之间随访。如果没有变化,则在18~24个月之间再次随访,其后转为常规年度随访。如果出现变化,那么根据相应的变化,进一步的处理。
#健康科普排位赛#
我是坚持医学科普的陈大夫,觉得我写的还可以的,请给我点赞和关注,你的支持是我创作最大的动力。
参考资料:肺结节诊治专家共识(2018版)
(此处已添加圈子卡片,请到*今条头日**客户端查看)