上周值夜班,一位60多岁的退休老人在家弹钢琴时,突然发现小指和无名指无力,按不动琴键。
急诊科医生说,先做颅脑CT吧,排除脑梗死。
结果却是脑转移瘤,是肺癌发生了脑转移,但老人还没有出现肺部症状。
家属很恐慌,一开始无法接受这个结果,怎么好端端的,突然就肺癌晚期了呢?
其实这种情况在医院里不算少见。
脑转移瘤常见的临床表现:
脑内转移瘤临床表现差异很大,甚至可以无症状。转移瘤有时可先于原发病灶被发现!尤其在肺癌脑转移时,很多病人都是先出现头部症状,后来检查出肺癌。
常见的脑转移瘤的症状有:
1.头晕头痛,恶心呕吐。

这位老人以前得过脑血栓,下午的时候开始头疼头晕,家里人以为脑血栓复发了。
结果做了CT发现可疑脑转移瘤,进一步检查胸部CT,发现了肺癌,但她没有肺部症状。
脑转移瘤可以单发,也可以多发,多发的更常见。
2.记忆力减退。
下图这位49岁的女性,说是最近记性不好,老忘事儿,以为是到更年期了?提前脑萎缩了?
神经内科医生说,做个脑CT看看吧:

结果发现了脑多发转移瘤。
紧接着做了胸部CT,发现左侧肺癌,肿瘤贴近胸部已经侵犯胸膜:

3.肢体活动不灵。
这个症状有时难以与脑血栓,脑出血鉴别,需要CT或者磁共振确诊。
下图就是上周夜班遇到的那位老人,老爷子是一位退休干部,喜欢音乐,在家里弹钢琴的时候突然感觉左侧小指和无名指使不上力,按不动琴键了。
来医院做了脑部核磁共振,发现了脑转移瘤:

紧接着做了胸部CT,证实为右侧肺癌,老人没有任何肺部症状:

4.视力下降,视野偏盲。
有些脑转移瘤发生在枕叶视觉中枢,可以引起视力下降视物模糊。

上图这位老人就是因为视物模糊,脑部核磁共振(MR)发现脑转移瘤。
脑转移瘤的发病原因?
脑、肺、肝、肾、骨是转移瘤的好发部位。几乎全身所有的恶性肿瘤都可以发生脑转移,最常见的是肺癌转移,其他的比如乳腺癌、胃癌、结直肠癌、肝癌等病人,随着病情进展,也常常可以发生脑转移瘤。
脑转移瘤的CT表现:
转移瘤在颅脑CT上,可呈等密度、低密度和高密度,其密度决定于肿瘤细胞成分、血供以及瘤组织有无坏死、囊变和出血、钙化等。
肺、乳腺、肾及结肠癌的转移多为低密度;淋巴瘤及黑色素瘤转移则常表现为高密度或等密度。转移瘤出血常见于肾癌、乳腺癌、黑色素瘤和绒癌,肿瘤有新鲜出血会呈高密度。转移瘤钙化常见于骨、软骨肉瘤转移。
转移瘤的一个显著特征是周围常见明显低密度水肿,影像上呈指状分布。
CT增强扫描会显示更多细节特征,还有助于小病灶的检出。绝大多数转移瘤血供丰富,且肿瘤血管没有血-脑屏障,强化明显。实质性肿瘤多呈明显均匀强化,而坏死囊变者多呈环形强化,可有结节状突起(壁结节)。
发生了脑转移,还能活多久?
我们知道,肿瘤发生了远处转移就已经属于晚期了。
多发脑转移瘤多预后不良,全脑放射治疗后平均存活时间大约为3〜6个月,但孤立性病灶可使用立体定向放射治疗或手术治疗,常常有更好的疗效。
此外,脑转移瘤最常用的治疗方法是放疗和靶向治疗,很多病人治疗效果不错,可以长期带瘤生存。

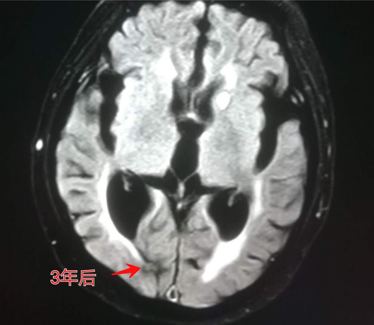
上面提到那位视力模糊的老人,做了脑部放疗和肺部化疗,3年后复查,脑转移瘤明显萎缩。
现在恶性肿瘤是比较常见的,尤其是发病率最高的肺癌。定期进行胸部健康体检,发现高危肺结节及时处理,可以有效预防中晚期肺癌。
这里是影像科豪大夫,感谢您的阅读和关注!
医学科普的目的不是危言耸听吸引眼球,而是希望大家珍爱生命,防患于未然!