急性胆囊炎超声如何诊断?
急性胆囊炎是平常日常工作中非常常见的病,通常结合临床症状及超声表现就可确诊,接下来门墩儿整理了些学习笔记与您共享!
一、什么是急性胆囊炎?
急性胆囊炎(acute cholecvstitis)是常见的急腹症之一,细菌感染、胆石梗阻、缺血和胰液反流是本病的主要诱因。其中多数合并胆囊结石,由于胆结石梗阻引起的胆流淤滞、胆囊内压增高和血供障碍等综合作用引起。

急性胆囊炎视 炎症改变的程度不同 ,临床病理学可分为3种类型:
1、单纯性胆囊炎,也称卡他性胆囊炎,胆囊稍肿胀,壁轻度增厚黏膜充血水肿,胆汁正常或略混浊,常伴有黏膜腺分泌亢进。
2、化脓性胆囊炎,也称蜂窝织炎性胆囊炎,胆囊肿大,囊壁充血水肿,明显增厚,胆汁混浊或呈脓性。胆囊与周围组织粘连,或形成胆囊周围脓肿。

脓性胆汁
3、坏疽性胆囊炎,胆囊极度肿大,如胆囊壁血液循环发生障碍时该处可发生出血坏死,甚至穿孔而并发局限性或弥漫性腹膜炎。若有产气杆菌感染,胆囊内可积气,但较少见,好发于老年及糖尿病患者。
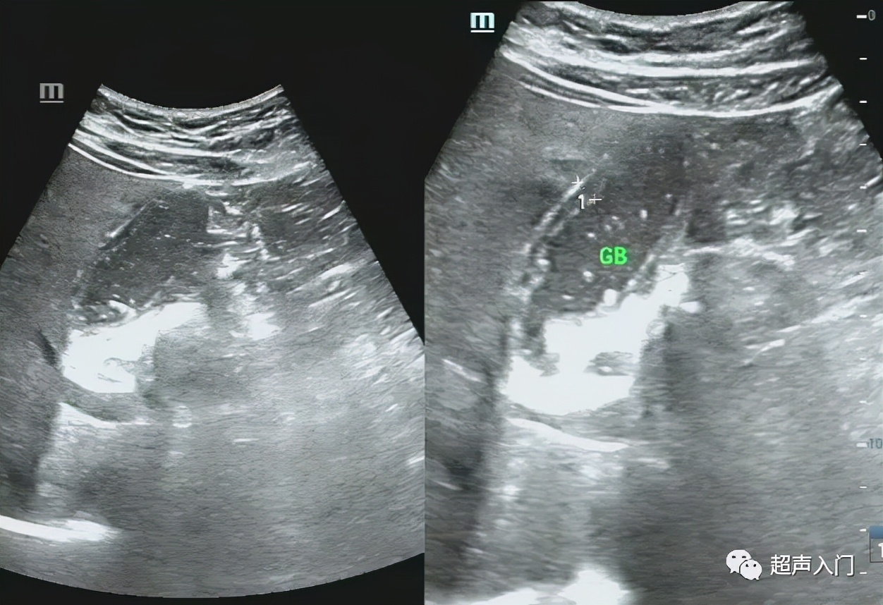
但常规超声往往很难对其进行准确分类,囊内透声好并不代表没有化脓,如上图,囊内透声很好,但患者持续发热,胆囊置管后,抽出脓性胆汁。
二、急性胆囊炎有哪些临床表现?
主要特征是上腹部持续性 疼痛 ,伴阵发性加剧,深压胆囊同时让病人深吸气可有触痛反应即 墨菲征(Murphysign)阳性 。严重感染时可有轻度 黄疸 。
实验室检查有 白细胞计数增高 ,血清胆红素或碱性磷酸酶增高。
本病发展迅速 ,可于数小时内出现严重并发症。因而及时确诊和了解病情的进展情况对于确定有效的治病方案是至关重要的。
三、超声检查特点有哪些?
单纯性胆囊炎初期超声显示胆囊稍大囊壁轻度增厚,缺乏诊断特征。形成化脓性胆囊炎后声像图特征较明显,主要表现如下:
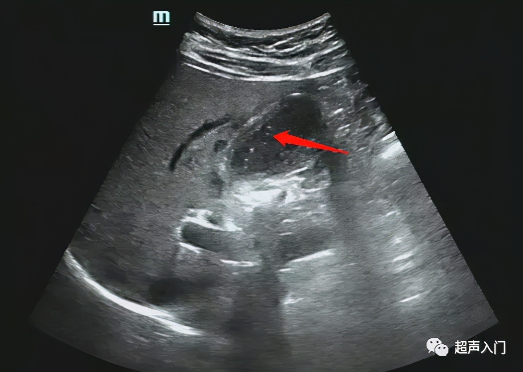
1、胆囊肿大常呈圆形或椭圆形,胆囊壁伸展呈饱满状,是胆囊张力增高所致,胆囊壁轮廓线模糊,外壁线不规则。

2、胆囊壁弥漫增厚,呈高回声,其间出现间断或连续的弱回声带,形成胆囊壁的“双边影”(double- laverecho)。

此征系浆膜下水肿、出血和炎性细胞浸润等改变所致。
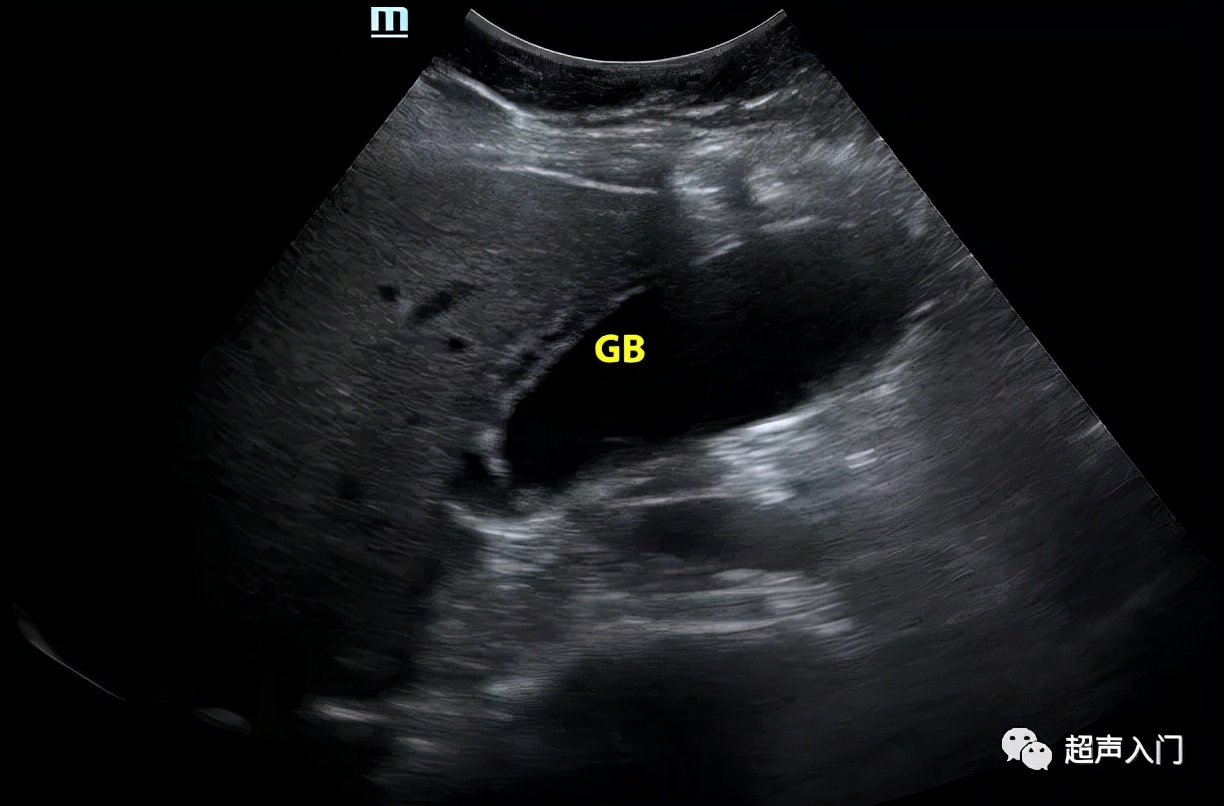
3、胆囊切面无回声区内出现稀疏或密集的分布不均的细小或粗大回声斑点,呈云雾状,为胆囊积脓的表现。

4、超声Murphy征阳性,将探头压迫胆囊体表区触痛加重,探头深压腹壁接近胆囊底部嘱病人深吸气,触痛加剧并突然屏住气不动。

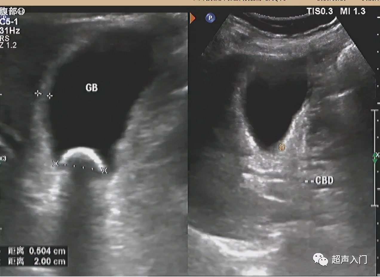
5、多伴有胆囊结石,往往嵌顿于胆囊颈管部。

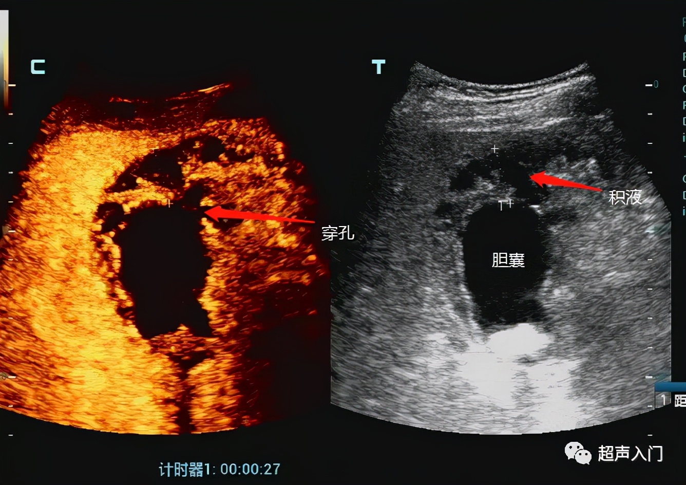
6、急性胆囊炎穿孔时,可显示胆囊壁的局部膨出或缺损,以及胆囊周围的限局性积液。

7、怀疑急性胆囊炎时,不应作胆囊收缩试验

四、急性胆囊炎鉴别诊断有哪些?
1.慢性胆囊炎
慢性胆囊炎也可以表现出壁增厚、壁内出现暗带、囊腔内出现回声等类似急性胆囊炎的表现,但往往是壁厚而腔小,张力状态不大,超声墨菲征为阴性再结合临床资料,则不难鉴别。

此外在肝硬化低蛋白血症和某些急性肝炎的病例,胆囊壁增厚、腔内可出现回声,但是胆囊并不肿大,超声墨菲征阴性,病史与临床表现亦不同,可资与急性胆囊炎相鉴别。
2、胆囊内沉积物的鉴别
胆囊内沉积性回声可以是病理性的,如脓液或脱落的细胞屑等,也可以是功能性的,如淤滞浓缩胆汁内形成的胆色素钙颗粒或胆固醇结晶、多发生有胆道梗阻患者。两者应注意鉴别,并应注意与泥沙样结石和胆囊内伪回声相鉴别。

3、胆囊壁增厚的鉴别
常见的非胆囊病变所致的胆囊壁增厚是低蛋白血症,以肝硬化腹水最显著。右心衰竭、肾脏疾病和糖尿病患者亦可见胆囊壁增厚呈“双边影”,多为胆囊壁 水肿 所致。
总结
急性胆囊炎的诊断思路:急性起病+腹痛(可伴发热)、墨菲氏征阳性+胆囊壁增厚、水肿(双边征)。
胆囊英汉对照: 胆囊(gallbladder) 缩写:GB
胆囊正常值: 长径≤9.0cm,横径≤4.0cm,胆囊壁厚度≤0.3cm,儿童胆囊长径<7cm,横径<3.5cm
欢迎关注:超声入门
参考书籍:
《超声诊断学》第3版