#医生笔记#
非常病例——一个晚期肺癌患者,确诊后6年时间的治疗和生活经历
Uncommon case: experience of advanced lung cancer patient in 6 years after diagnosis
病因介绍:61岁女性,因刺激性咳嗽3月、痰中带血数天于2013年3月到某大型三甲医院就诊。胸部CT发现右肺门直径6.5厘米肿块,左肺直径1厘米左右小结节3个,多个肺门淋巴结长大,腹部CT发现肝脏内有多个直径1到2厘米的结节,同位素骨扫描发现全身多发骨破坏。右肺穿刺活检结果为腺癌。表皮生长因子受体(EGFR)检测发现21外显子L858R点位突变。诊断结果:右肺腺癌IV期,pT4N3M1,伴多发肝转移和骨转移。
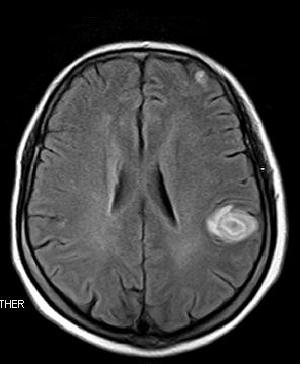
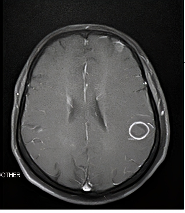
治疗过程:确诊后第3天进行经导管动脉化学栓塞治疗,也叫微创介入治疗。化学药物配伍方案为顺铂、长春瑞滨和羟基喜树碱。治疗后12小时有恶心,无呕吐,未作特殊处理。治疗后第3天出院,回家口服埃克替尼,每天3次每次125毫克,每月到门诊注射1次唑来膦酸控制骨转移。1月后复查,右肺肿瘤缩小至2厘米左右,左肺转移灶和肝转移灶基本消失。继续使用埃克替尼和唑来膦酸巩固治疗。患者行动自如,KPS评分100分,平时在家做家务,照看孙子。之后每3月复查一次,病情稳定。2年后,2015年3月,突然头晕,脑磁共振检查发现多个直径1到2厘米转移病灶。再次右肺穿刺活检基因检测发现T790M点位突变。停用埃克替尼,改用奥西替尼口服,每日1次80毫克。复查脑磁共振,1月后转移灶稳定,3月后出现中心坏死,半年后转移灶大部分消失,最大的一个几乎成为空壳。继续维持治疗4年,孙子也上学前班了。2019年初,家属打听到一种“新药”和“特效疗法”,就停止原有治疗,去吃“新药”和全身按摩。3月后体力明显下降,逐渐卧床不起,肿瘤再次开始扩散,患者及家属放弃希望,回乡看望众亲友后而终。

2年后出现脑多发转移(磁共振)
注意事项:患者和家属刚开始以科学为主,因此获得较好疗效。没有选择传统的放化疗,对于增强和保护患者的免疫力,具有很大意义。前6年的治疗,基本上是合理和适度的。介入治疗具有微创、住院时间短、对患者身心打击小和疗效明确的特点。而两次基因检测后,采取靶向精准药物治疗,是患者获得长期生存的重要原因。这6年中患者生活完全自理,还能够完全胜任家务,说明帶瘤生存的生活质量很高。6年之后突然改变方案,听信社会上的传言,致使免疫力大幅度下降,肿瘤进展,本来还可以延续的生存期就此终止。
医生感悟:患者在使用两种靶向药的过程中,始终没有出现皮疹,提示并非一定要出现皮疹才能预示靶向药有效。患者曾经长期生活在川北乡村,当地山清水秀,没有工业污染,空气清新,退耕还林之后的山野里面野鸡成群,而且患者不吸烟,偶尔接触二手烟的机会也少,不能说明是空气污染引起了肺癌。而作者认为可能与饮食和肺部感染有关,治疗前化验发现血糖偏高(7.5mmol/L)和结核菌素试验阳性,说明是高血糖导致了慢性结核感染,最终是炎症导致了肺癌。当地的饮食习惯值得关注,民众长期食用较多的红薯和米豆腐,可能有致癌作用。红薯使血糖升高,高血糖引起肺内发生结核感染,慢性感染导致癌症。而米豆腐的储存时间常常在半年以上,会形成各种致癌物质,比如亚硝酸盐等。

改变治疗方案后脑转移明显缓解(磁共振)
2名丹麦人,注射阿斯利康公司的疫苗后,发生脑出血,有1例死亡