直肠癌早期和痔疮的症状有一些相似之处,有不少直肠癌患者在发病早期以为自己得的是痔疮,未予以治疗,等到症状严重了才来就诊,耽误了治疗的最佳时间。由于痔疮和直肠癌的发病部位相近,两者也都有便血的表现,故患者容易混淆,那么今天就来谈一下直肠癌与痔疮的鉴别。

首先看一下直肠癌的流行病学数据:
结直肠癌是世界范围内最常见的恶性肿瘤之一,根据中国国家癌症中心的数据统计显示2015年我国结直肠癌的新发病例属为37.63万人,直肠癌死亡患者19.10万人。结直肠癌在近10年间的发病率呈逐年上升趋势。我国结直肠癌在地域分布上东部地区发病率最高,此外依次是中部、南部、西南、东北、北部,发病率最低的是西北地区。(中华结直肠疾病电子杂志2017年12月)

2015年中国结直肠癌新发病例地域分布及城乡分布构成特征(中华结直肠疾病电子杂志2017年12月)
直肠癌与痔疮的鉴别
1. 便血。直肠癌和痔疮都可出现便血,但两者的便血是不同的。
痔疮的便血多是间歇性,通常在大便干结或进食辛辣刺激食物后出现,血色鲜红,量不多,随大便排出后滴下,血液与大便不相混合,多表现为大便表面带血,便后手纸带血。
直肠癌的便血多为暗红色或果酱色,一般为每次大便都带血,且因为癌细胞破坏直肠粘膜而有粘液分泌,粘液与大便相混,称之为粘液血便或脓血便。

2. 排便习惯的改变。
痔疮患者的排便习惯一般不会改变,可能会在进食辛辣刺激油腻食物导致痔疮加重的同时,会有便秘的情况出现,但调整饮食后往往可以恢复正常。
直肠癌患者排便习惯明显改变,表现为排便次数增多,里急后重,便意频繁,有排便不尽感,或便秘与腹泻交替出现,同时由于肿瘤在肠腔的占位,直肠癌患者大便会变细、变扁,或者大便性状改变(如大便表面带沟槽)。在病程后期,如果肿瘤完全堵住肠道,则大便不能下行,故中医称之为“锁肛痔”,同时会出现腹痛、腹胀、肠鸣音亢进等肠梗阻征象。

3. 发病年龄。
痔疮可发生在各个年龄段,多发生在20岁以上群体。
直肠癌的发病年龄近年来虽然有年轻化的趋势,但总体而言对于发病人群来讲,年龄呈现正态分布趋势,主要集中在60~74岁的年龄范围,占总体发病人数的41.23%,而45岁以上发病的患者占所有结直肠癌新发病例的93.28%。(中华结直肠疾病电子杂志2017年12月)

(2015年中国结直肠癌新发病例年龄分布)
4. 软硬程度及脱出。
痔疮便血多为间歇性,有时还会有肿块从肛门脱出,脱出的痔核,触之柔软,大多数情况下可以自行回纳或用手托回,少数情况下会发生嵌顿。
直肠癌作为恶性肿瘤,肿块位置固定且触之质地较硬,退指指套沾有血液、脓液、粘液等,一般不会从肛门脱出。
5. 短期内有无明显体重减轻。
痔疮患者如果没有其他合并疾病,一般情况下不会出现短期内体重明显下降的表现。
直肠癌患者由于肿瘤的消耗,会出现短期内不明原因的体重明显减轻,并伴有疲劳乏力、贫血等症状。

6. 有无转移征象。直肠癌至晚期会出现转移征象,侵犯膀胱、尿道、阴道等周围脏器时出现尿路刺激症状、阴道流出粪液、骶部及会阴部疼痛、下肢水肿等。转移到其他脏器会有相应的临床表现。
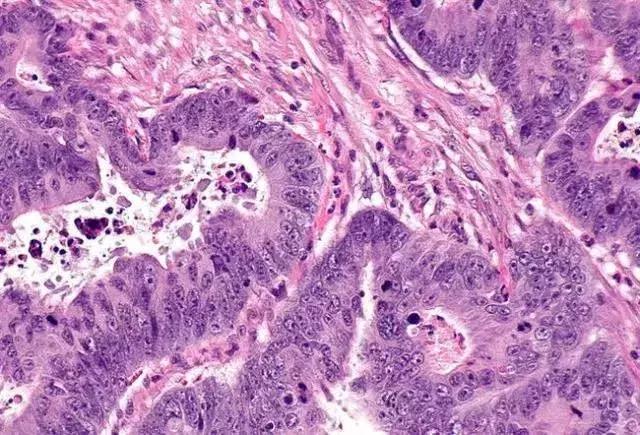
7. 鉴别金标准。病理活检,是鉴别痔疮和直肠癌的金标准。

筛查
1. 指诊。直肠指诊是最简单有效的筛查方法,也是初步诊断、早期发现直肠癌最重要的方法,80%以上的直肠癌(尤其是直肠下段癌)均可以在直肠指诊时触及。所以不要忽视直肠指诊,建议40岁以上人群每年至少做一次直肠指诊。

2. 肠镜。通过肠镜能直视结直肠内部,观察肿块的形态,上下缘及距肛门缘的距离,同时可取病理送检,确定肿块性质及分化程度。位于直肠中、上段癌肿,手指无法触到,采用乙状结肠镜检是一种较好的方法。同样建议有家族史或者年龄达到50岁以上的中老年人应该做定期筛查。

温馨提示:如有身体不适,请及时就医,同时要注意定期体检。
(文章来源于网络,如有侵权,请联系我们删除)