惊闻我们喜爱的著名央视主持人朱迅不幸患上甲状腺癌,深感震惊。朱迅14岁就进入央视,她有着让人眼花缭乱的辉煌经历,《同乐五洲》、《民歌中国》、《正大综艺》。历年的央视春晚中担任主持人,给观众留下了深刻的印象。被广大观众称为央视一姐,可谓是、家喻户晓。

很不幸,朱迅在留学期间就两度患上了血管瘤,为了高昂的学费,手术伤口还没完全愈合就开始打工挣钱。在2007年,朱迅又被确诊为甲状腺肿瘤,不久前又被传出再次患上甲状腺癌。其实很多的央视节目主持人患过癌症:罗京、肖晓琳、方静,我们深感痛惜。笔者作为病理学专科医生,对甲状腺癌有一定的见解,今天就和大家谈谈甲状腺癌。

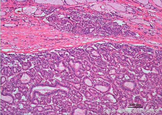
甲状腺癌是头颈部比较常见的恶性肿瘤,占全身恶性肿瘤的 1% -2%,女性多见,发病率为男性的2—3倍。甲状腺癌的病理类型较多,最常见的是乳头状癌和滤泡性癌。

甲状腺癌的发病原因及年龄分布:甲状腺癌可能与放射线和流行性甲状腺肿、家族遗传性有关;甲状腺癌的发病年龄因类型不同而异,绝大多数的甲状腺癌都发生在青壮年,乳头状 癌分布最广,可见于10岁以下儿童至百岁老人;滤泡状癌可见 于20 ~ 100岁患者;髓样癌多发生于40 -80岁;未分化癌多发 生于40~90岁。

甲状腺癌的临床表现:患者常首先颈部肿块,质 硬、固定、表面不平,吞咽时上下移动性小。晚期患者因肿块压迫 喉返神经、气管、食管和颈交感神 经,可出现声音嘶哑、呼吸困难、 吞咽困难和Homer综合征(瞳孔 缩小、眼球内陷、上睑下垂及患侧 面部无汗)等压迫症状。患者可出现颈部同侧淋巴结肿大。

甲状腺癌的治疗:手术切除是各型甲状腺癌(除未分化癌)的根本治疗方,根据病人情况再辅以内分泌及放射外照射等疗法:1.手术治疗:包括甲状腺本身的切除及颈淋巴结的清扫,甲状腺全切术切除范闱目前仍有分歧,范围较小的为腺叶加峡部切除,最大至甲状腺全部切除,疗效与肿瘤的病理类型有关,并根据病情及病理类型决定是否加行颈部淋巴结清扫术或放射性碘治疗 。

2.内分泌治疗:甲状腺癌作次全切除或全切除者,需终身服用甲状腺片,抑制TSH(促甲状腺激素);3.放射性核素治疗:适用于45岁以上的乳头状癌、滤泡性癌及转移者,放射外照射治疗主要用于未分化型甲状腺癌。

甲状腺癌的预后:甲状腺癌病理类型很多,最常见的是乳头状癌和滤泡性癌。恶性度最高的是未分化癌,最低的是微小癌。甲状腺癌的预后非常好,个别恶性度高的除外,低度恶性的甲状腺癌可生存10年以上,有的其至肺部转移后还能带病生存5年左右,但高度恶性的甲状腺癌会在短期内死亡。一般甲状腺癌10年生存率可达到90%,笔者曾经遇到一例甲状腺癌,到现在已经有23年了依然健在。

甲状腺癌的预防:目前对甲状腺癌病因及发病机制仍不很清楚,故尚不能很好预防其发病。需注意下列因素: 1.应避免或少接触放射线损伤。2.正常补碘,改善环境污染。3.少食致甲状腺肿大物质:马铃薯、大豆、豌豆和花生等不能长期吃。4.有家族遗传倾向者在未来应进行基因治疗。5.早期诊断甲状腺癌,早期彻底治疗,以防恶化与转移。6.尽量防止病毒感染,及时治疗病毒感染性疾病,如亚急性甲状腺炎等。7.加强锻炼,增强体质,提高自身免疫力,防治自身免疫性。8.保持身心健康和愉快心情,生活规律。

朱迅你依然美丽
朱迅别怕,你的甲状腺癌可以治愈,生存率很高,生存年限也很长,我们相信你一定会吉人天相,粉丝们一直在支持你,希望你早日康复重返你热爱的银屏,粉丝们非常希望早日看到你的银屏风采。