作者:北京协和医院呼吸科 黄慧 徐作军
来源:中国呼吸医师在线
投稿邮箱:2519330936@qq.com
版主微信号:fsslong2
【病历简介】
患者,女性,64岁,主因“反复发热、咳嗽、咳痰1年余,气短8月,加重4天”于2007年5月23日入院。
既往史
既往于1960年代曾诊断“肺结核”,予抗结核治疗3月(具体不详)。1988年因“子宫肌瘤”行全子宫切除。2001年因“左乳腺癌”行乳腺癌切除术及淋巴结清扫术,术后行5周期化疗;此后每年复查一次,未见转移复发征象。患者在退休前于棉花纺织厂工作,工作环境中噪音较多,棉絮较多。不吸烟。
患者于2006年4月初无诱因出现间断咳嗽,少量黄痰,无咯血、胸闷、胸痛。2006年4月中下旬出现发热,最高体温38℃,当地血常规:WBC:6.7G/L,GR:78%,胸片示“右下肺纹理增粗,局部可见斑片索条影,右侧肋膈角钝”;考虑“肺部感染”,予拜复乐(莫西沙星)、罗氏芬(头孢曲松)治疗3天后体温降至正常,但仍有间断咳嗽、咯痰,遂于2006年5月中旬就诊某一上级医院,胸部CT“右下肺及胸膜下可见多发结节、斑片影,局部可见支气管扩张”(见图1-4),行胸腔镜肺活检,病理经多家医院综合会诊后考虑“淋巴组织增生性病变,但是诊断淋巴瘤证据不足”,未予特殊治疗。

2006年7月初后长期发热,最高体温TMAX37.7℃,间断有最高体温达38.8℃,予以抗生素(氟喹诺酮或三代头孢菌素)治疗1周许后最高体温可降至37.7℃左右,体温高峰多在夜间出现,仍咳嗽,咳白色泡沫痰,偶有痰中带血丝。2006年10月起出现活动后气短,步行100米左右即出现气短,休息后减轻,夜间能平卧。
2007年3月中旬因再次高热,最高体温达38.5℃,咳嗽、咯痰、呼吸困难症状加重,复查胸部CT,提示肺内病变较前明显加重(见图5-8),行CT引导下左肺阴影穿刺活检,但未能明确诊断而收住。起病以来,食欲差,乏力明显,出汗多,夜间能平卧。无皮疹、关节痛,体重下降近20Kg。
检查
入院查体:自然状态下指测氧饱和度92%,右侧腋下可及一直径约1.2cm淋巴结,质软,无压痛,活动可,余浅表淋巴结未及。口唇无紫绀。胸廓呈乳腺癌术后改变,胸骨、肋骨无压痛,双肺呼吸音清,双下肺闻及爆裂音。心律齐,腹(-),双下肢无浮肿。无杵状指。
入院后血常规:白细胞12-18×109/L,中性:75-90%,血色素10-12.3g/dL,PLT:126- 224×109/L;外周血涂片(-);骨穿提示“感染性骨髓象”,血生化:LDH: 296U/L,余(-);蛋白电泳:未见M蛋白。免疫球蛋白(-);血、尿β2-MG(-)、ANCA、ANA+dsDNA、ENA、抗结核抗体均(-);外周血T细胞亚群:CD4+ T细胞数正常,CD8+ T细胞比例增高且存在明显异常激活,CD4+/CD8+T比例倒置。
多次痰检:白色念珠菌×1;细菌(-),痰找抗酸杆菌(-)。
治疗
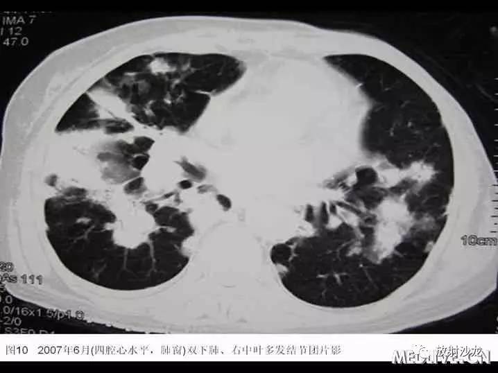
入院后患者最高体温在38℃左右,给予“拜复乐及大扶康”治疗后无显效,复查胸部CT提示肺内病变较2007年3月有加重(见图9-12),遂再次行CT引导下经皮肺穿。穿刺后患者最高体温维持在39℃左右,考虑感染不能完全除外,于2007年6月19日起加用稳可信0.5g Q8h及复达欣1.0g Q8h,6月21日加用口服大扶康200mg Qd,发热未见改善。结合两次肺穿及外院VATS的标本,病理科诊断“肺Castleman病(多中心型)(见图13)” 免疫组化:CD3(+)、CD20(+),AE1/AE3(+),CD21(+)”。6月21日转入血液科化疗,并于6月22日予CHOP方案化疗(CTX 600mg d1, 400mg d4, 西艾克4mg d1, 艾达生80mg d4, 强的松80mg d1-5)。化疗后未再发热,咳嗽、咳痰症状缓解,6月27日复查CXR示右下肺团块影较1月前吸收予以一疗程CHOP化疗后,患者体温正常,复查胸片提示右下肺阴影较前有明显吸收。后又间断予以CHOP方案化疗3程,2008年2月初,因受凉后发热,出现渐加重的气短,家属及患者放弃进一步诊疗,于2008年2月下旬去世。

最终诊断

肺Castleman病(多中心型),陈旧性肺结核,子宫肌瘤术后;左乳癌术后、化疗后。
【分析与讨论】
Castleman 病(CD) 属原因未明的慢性淋巴组织增生性疾病,属少见病;其命名也较多,又名“巨大淋巴结增生、血管滤泡性淋巴样增生、淋巴结错构瘤”等。由Castleman 于1956 年首次报告,Keller于1972 年对其病理改变作了进一步描述和分析。CD 的临床表现无特异性,主要依靠病理来诊断。一般以淋巴节内起病多见,绝大多数表现为淋巴结明显肿大或有巨大肿块。我院收治的1例患者,临床表现为发热、咳嗽、咳痰及活动后气短,胸部CT提示为双肺弥漫性结节、团块影,纵隔内小淋巴结,浅表淋巴结及肺门、腹膜后淋巴结无肿大,最终通过经皮肺穿及VATS肺活检诊断为肺Castleman病,这在国内外均很罕见,现将该病例及CD的肺部受累的文献复习报告如下。
CD是一少见病,目前主要是一些个案报道或小宗病例复习;病因仍不明,免疫调节异常可能是CD的始发因素,如AIDS可同时发生CD和Kaposi肉瘤,少数CD也可转化为 Kaposi肉瘤;也有认为与人类8型疱疹病毒(HHV-8)感染有关,也有学者提出与白介素-6的过度产生相关。
病理上,CD分为透明血管型(HV)、浆细胞型(PC)和混合型;临床上分为局限型和多中心型。Dham等把CD分为单中心型和多中心型,其中单中心型包括透明血管为主型和浆细胞为主型,多中心型包括浆细胞为主型和浆母细胞型。临床上,以局灶型或单中心型的CD为主。其中,70%-90%的单中心型为HV型,临床呈单个淋巴结无痛性缓慢肿大,形成巨大肿块,以纵隔淋巴结最多见,还可见于颈部、腋窝、肠系膜、软组织、三角肌等。大多不伴全身症状,10%-20%为PC型,腹腔淋巴结受累多见,常伴全身症状,临床过程与多中心型的CD类似。多中心性较少见,发病年龄较晚,有多部位淋巴结缓慢肿大,常伴有发热、乏力、盗汗、体重下降等全身症状,常有多系统累及的表现,如肾病综合征、淀粉样变、严重的周围神经病、重症肌无力、口腔炎、角膜炎等等,可出现贫血、多株性高免疫球蛋白血症、低白蛋白血症等,预后差。治疗上,对于单中心型的患者,一般可以经外科手术治愈,对于不能手术的此类患者,可以接受放疗。对于多中心型者,目前还没有公认的处理方案:对于HIV阴性的患者,一般按非霍奇金淋巴瘤(NHL)的治疗方法来治疗,采用CHOP或CVP方案化疗;但对于合并HIV感染的患者,可能在化疗前需要接受HAART的治疗,不过这一治疗可能增加化疗的副作用。另外,对于HHV-8标记物阳性的患者,不论是否有HIV感染,近来还推荐使用抗CD20的单抗治疗。还有一些报道提出使用抗IL-6的单抗及抗HHV-8的治疗,目前还没有得到公认。
CD最常发生的部位是胸腔,其中局限型占60%~70%。绝大多数表现为纵隔、肺门淋巴结的肿大,少部分表现为胸壁肿物,多中心型CD可侵犯肺实质,肺脏病理学以淋巴细胞性间质性肺炎(LIP)多见,有CD合并副肿瘤天疱疮及闭塞性细支气管炎的个案报道。
1、胸壁肿物:最近20年来,Pubmed上有十多例的散在病例报道,女性为主,以单中心型的CD多见,且绝大多数分布在右侧胸腔。胸部CT主要表现为与胸膜紧密相连的边界光滑的肿物,增强CT提示为富血管性的肿物,少部分可以有肿瘤内的钙化,有2例合并有同侧的胸腔积液。文献报道的病例中绝大多数是通过开胸或内窥镜活检诊断的,术中肿物出血多,与胸膜关系紧密。所有的报道病例均在手术后存活,且没有复发的报道)。
2、 LIP:多中心型CD可侵犯肺实质,肺脏病理学以淋巴细胞性间质性肺炎(LIP)多见,机理是大量淋巴细胞在肺实质内的浸润,胸部影像学上主要表现为磨玻璃样影、气腔实变、边缘模糊并呈小叶中心性分布的小结节、支气管血管束增厚、小叶间隔增厚及薄壁肺气囊等等。
3、 BO:BO 的发生机制考虑为肿瘤相关自身免疫抗体沉积在特定区域的细支气管粘膜所致,临床以进行性呼吸困难为主要表现,肺功能提示为阻塞性通气功能障碍,胸部HRCT可见双肺透亮度明显增加,弥漫性的支气管扩张,肺内有较多的囊腔。肺组织活检提示直径为 1~6 mm 的小支气管和细支气管的疤痕狭窄和闭塞,管腔内无肉芽组织,而且肺泡管和肺泡正常,Castleman 病合并 BO 是一种严重的不可逆的合并征;可并发纵隔气肿、肺间质气肿和皮下气肿等。
本例患者的肺内病变进行性进展,不过较一般的恶性肿瘤进展要慢些。该例有发热、乏力、体重下降等全身表现,其特别之处在于其胸部影像学表现为进行性加重的双肺团块、结节影,病变部分以胸膜下分布为主,部分沿支气管血管束走行;另外,患者的肺组织病理表现为典型的CD的表现,这在既往的报道中很罕见。曾在HIV阳性的CD患者中报道过,肺影像学表现为肺实质的结节团块影。该患者既往有乳癌手术、化疗的基础,且在化疗期间患带状疱疹,说明患者的机体抵抗力很低下,这可能与其肺部的影像学特殊有一定关系。该例患者无明显自觉症状,浅表淋巴结肿大又不显著,病理学家若对此少见病缺乏认识,易漏诊。该患就是在胸腔镜活检术后1年余才明确诊断并才开始接受治疗的,这可能也是影响患者预后的重要因素。
总之,Castleman属于少见病,虽然临床确诊需要依靠病理诊断,但如果临床医师对本病不了解,很难做出正确的诊断。由于Castleman最常受累的部位为胸内淋巴结,因此临床上需要与结节病、淋巴瘤、淋巴结结核以及肿瘤转移相鉴别。对于以LIP和BO为表现的Castleman病,需要与间质性肺病、肺内淋巴瘤相鉴别。由于Castleman为少见病,病理科医师对此病警惕性不高,当病理不具有典型特征时,很容易误诊、漏诊,因此若临床上怀疑该病时,应该及时与病理科医师沟通,提请病理科医师注意。
版权申明【本微信所有转载文章系出于传递更多信息之目的,且明确注明来源和作者,不希望被转载的媒体或个人可与我们联系,我们将立即进行删除处理】
点击阅读原文拥有自己的影像工作室