一个新生命的诞生:精子和卵子相遇,然后在子宫内着床,慢慢长大,成为胎儿,10个月后小宝宝出生。不管什么时候,都觉得生命的诞生太神奇了。

但是,这其中也会遇到各种各样的问题,比如,刚一开,受精卵待错了地方,然后,就没有然后了。
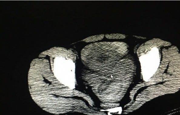
这就是我们常听说的宫外孕,也叫异位妊娠,比如在卵巢、在输卵管、在腹腔、在子宫颈等,受精卵没有在子宫内正常发育,就是宫外孕。
受精卵不在子宫内发育会怎样呢?一般情况下,如果受精卵在发育期间,绒毛影响输卵管壁,胚胎发育的同时输卵管壁膨胀造成破裂,患者容易出现大出血,未及时治疗的话会有生命危险。

其实,宫外孕是生殖健康方面较为常见的疾病,受精卵也不是故意走错了地方,有很多的因素阻挡了他的道路,才促成了宫外孕的发生。这些因素包括腹部手术、性病、盆腔炎、宫内节育器、药物避孕、流产史等。

今天门诊遇见了一位老病人,是一位29岁的年轻妈妈。因为在一年前她曾险些送命,所以我至今仍然清楚的记得当时的场景。今天他对我说:“如果没有经历过,永远不会体验其中的恐惧。

一年前的夜晚,气温很高,急诊室里等候就诊的病人也会多。突然,一位中年男士站在了我的面前:“医生,能先帮我老婆看看嘛?她吃坏了东西,肚子痛的快不行了。
我知道事情的真相很可能并没有如此简单:“可以,她人在哪里?”
中年男士回答到:“还在外面车里,我马上去把她抱过来。”
病人已经丧失了自己行走的能力,很可能生命体征已经不平稳。我赶紧通知了分诊台的护士和抢救室的医生,很快大家成功的将患者转运进入抢救室。

此时的患者面色苍白,精神极度萎靡,四肢厥冷,血压只有80/45mmHg,患者已经进入了休克状态!一位既往没有任何特殊病史的年轻女性患者突然之间出现休克,会是什么原因?一系列的疑问在医生的脑海中纠缠着。
感染性休克?过敏性休克?低血容量性休克?神经源性休克?失血性休克等等,这些都必须要在极短的时间内逐一排除,因为患者的病情在逐渐恶化,患者的生命和时间在无情的流逝着。
每一位医生都知道,育龄期女性突然发生的腹痛伴休克症状,首要要考虑的是:异位妊娠、卵巢蒂扭转等妇科危急重症。但是这位已经甚至模糊的患者根本无法回答医生的问题。而患者的丈夫却一直坚持说:“她不可能怀孕,只是今天中午在饭店里吃了不干净的东西。”
事情的真相绝对没有如此简单,因为患者的女儿同样食用了这些食物,却没有任何明显的不适。而且急性胃肠炎虽也会出现腹痛症状,却很少有休克的情况发生。更何况患者的下腹部有明显的压痛!医生决定为患者做尿妊娠试验,可是此时患者已经处于休克状态,根本没有任何小便。
沟通后患者的丈夫决绝医生为患者导尿化验小便的建议,勉强同意完善腹部CT!


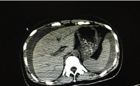
第一时间完善腹部CT,一切原因真相大白!
患者的腹腔内有大量的液体聚集,而据其丈夫代诉:“她之前好好的,没有任何疾病!”
妇产科医生会诊,予以阴道后穹隆穿刺,留置导尿查尿妊娠试验后,基本确定患者:宫外孕破裂出血。立刻将患者送进了手术室,妇产科医生为她在腹腔镜下作了手术。整个手术过程很顺利,但是却从她的腹腔内吸引出多达2450ml的鲜血!正因为如此多的出血,才导致她在腹痛2个小时后便出现了休克的症状!
宫外孕,不仅让她差点付出了生命,也让她付出了左侧输卵管被切除的代价!
而对于输卵管妊娠的患者来说,腹痛正是主要的症状!在发生破裂或流产之前,因为胚胎在输卵管内逐渐增大,患者常表现为下腹部的隐痛。这位患者在事发前几日便出现了间断的腹痛,但是她却一直以为只是肠炎,不肯就医。
随着胚胎的发展,输卵管妊娠部会发生破裂,患者可突然出现明显的腹痛,并且伴有恶性呕吐。随着出血量的增加,患者可逐渐出现休克的症状。如果没有及时发现或者就医,很可能会出现严重的后果,甚至为之付出生命代价!最后请分享给大家吧!