(结直肠肛门外科通讯员:高泰龙)
日前,湖南省人民医院结直肠肛门外科成功为多名结直肠癌患者施行腹腔镜结直肠癌NOSES手术(经自然腔道取标本,腹壁无切口),手术过程顺利,术后患者恢复良好,住院时间短。

来自湖南桑植县的周女士今年65岁,3个月前开始出现间断便血不适。在当地医院行腹部CT及肠镜活检后,考虑“乙状结肠腺上皮重度非典型增生”,建议转院进一步治疗。多方打听得知省人民医院结直肠肛门外科对结直肠复杂肿瘤诊治有成熟的经验后,周女士找到科主任肖志刚,随即被收入院。
通过多项检查诊断技术全面评估肿瘤部位及患者全身状况, CT及MRI(普美显)提示患者乙状结肠癌并肝脏寡转移瘤,结直肠肛门外科、肝胆外科、放射科、肿瘤科、病理科开展晚期结直肠癌MDT讨论认为,患者乙状结肠癌肝转移合并不完全性肠梗阻,暂不适合术前新辅助化疗,有乙状结肠癌和肝转移瘤同时R0切除手术机会,但同时切除手术难度及风险增加。

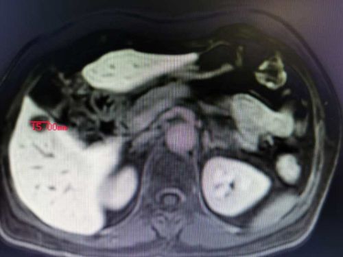
乙状结肠肿瘤

肝转移瘤
在与患者及家属充分沟通交流后,为患者制定术前处理、手术切除、术中监测、术后治疗和康复方案,由肖志刚主任团队施行目前结直肠癌专科最微创的手术方式——腹腔镜下乙状结肠癌根治性切除+肝S5段转移瘤切除,经阴道取出标本的NOSES手术(腹壁切口<1cm)。术中请肝胆外科杨建辉副主任医师同台行肝S5段转移瘤切除。手术过程顺利,患者术后无伤口疼痛,术后第1天下床活动,术后第2天肛门排气,第3天排便并恢复流质饮食,第6天复查CT腹腔干净并拔除腹腔引流管,第8天康复出院,电话随访患者状态良好。
目前,腹腔镜结直肠癌NOSES手术是手术治疗结直肠癌的前沿术式,国内外顶级医院都在积极开展。该术式进一步减轻患者的创伤,缩短患者术后恢复时间,以利于术后化疗等进一步治疗的尽早开展。

近年,湖南省人民医院结直肠肛门外科在学科顾问黄忠诚教授、科主任肖志刚教授等带领下,陆续开展系列结直肠肿瘤NOSES术。患者术后腹部无大手术切口,疼痛减少,术后恢复好,住院时间短,造福广大患者。