陆博 ,口腔医学博士,副主任医师。热衷于用简单明朗的文字,为市民普及口腔健康知识,在此呼吁:“口腔健康,预防大于治疗”!
心理学研究表明:当你在说话或微笑时对方有60%的注意力集中在你的牙齿和嘴唇上,可牙齿太黄总成为"微笑"的困扰。美颜先美牙,一口亮白的牙齿可以带来十分的自信。
今天就来聊聊牙齿美白三大神器——全瓷冠、冷光美白、贴面美白。

一、全瓷冠
如果你的牙齿有明显缺损且暗沉 ,比较推荐的美容方式就是做全瓷冠,相当于 把你原来缺损的牙齿用一个美观坚固的外壳“套”起来。
既保留了原来的牙齿,也不会产生损伤。
这也是目前效果最接近天然牙齿的美容方法。

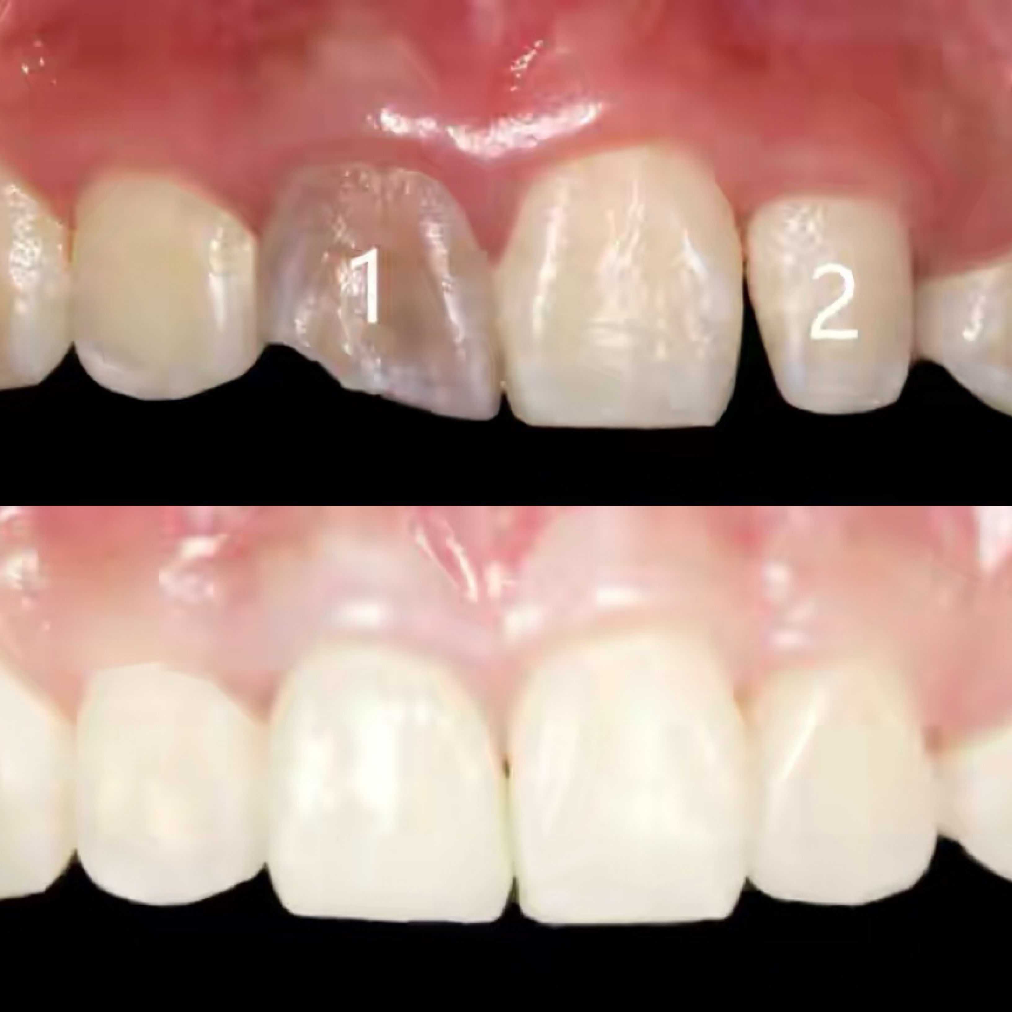
一例成功的全瓷冠美容案例,还你一口亮白牙齿
适宜人群: 适用于中、重度四环素牙、氟斑牙、釉质发育不全、牙齿有裂纹、残缺、坑洞的人群。
全瓷牙冠优点?
即做即白,效果明显,非常持久,爱护得当可保持十几年甚至终生。
相比起烤瓷牙冠它不含金属,不会影响以后做核磁。
价格方面,全瓷牙冠分为国产和进口,价格大约在2000-6000元左右,根据自身情况选择。
二、冷光美白
冷光美白也是近几年非常流行的产品了。便捷、快速、立竿见影,因此受到很多人的青睐。
牙齿情况健康,但是经常喝咖啡、喝茶、抽烟导致满口黄牙的朋友, 比较推荐做冷光美白。

冷光美白治疗效果图
它的主要原理就是利用美白剂中含的自由基,分解牙齿表面的暗沉物质,从而达到美白的效果。过程十分简单,在牙龈边缘涂上一层保护剂,然后在牙面涂美白剂,用冷光美白灯照射,反复操作几次即可。全程只要躺着就可以了。

冷光美白照射中,无痛、快捷、安全
不过需注意,美白后48小时内不宜食用过冷、过热、颜色较重的食物或饮料。不能抽烟。
但冷光美白不是永久性的 ,其效果大约可以保持2年左右,可能需要再次进行美白。
适宜人群: 外因性色素牙(咖啡、茶渍、烟渍沉积)、中轻度四环素牙、药物性变色牙及遗传性黄牙等。
冷光美白的优势?
冷光美白采用的低温冷光,避免了操作过程中对牙齿神经的损害;
操作过程完全不接触牙龈,对牙齿结构不会造成损害。
价格方面大概3000元左右。
三、贴面美白
贴面美白是在牙齿表面粘上一层贴面,相当于覆盖你原本的牙齿。
但是 贴面也有其缺点, 因为它 需要磨除部分牙齿, 对牙体有一定伤害。 只有当你有顽固的氟斑牙、四环素牙、牙齿受损、牙缝宽大等情况时医生一般才会考虑做贴面。

各类牙齿变色、受损、牙列不齐等情况可做贴面修复
适宜人群: 四环素牙、变色牙、牙齿断裂、牙缝宽大等。
牙齿贴面的优势?
贴面修复色泽自然、形态美观、维护得当可达十几年,是治疗牙体缺损、牙列缺失的主要方法。
一般比较推荐做 瓷贴面 ,效果最好、应用最广,价格大约在3000-6000元左右一颗。
4、美白牙贴(不推荐)
之前网上很火的一些美白牙贴类产品,相信很多朋友也都听过或者使用过。但其实站在牙医的角度, 我个人是非常不推荐的。
大家也能从很多评价里看到,顾客使用后普遍反映“使用牙贴后牙齿特别酸,使不上力”。
没错,美白牙贴确实能在短时间内美白牙齿,但 内含的漂白剂【高度过氧化物】会破坏牙釉质以及牙龈本质,对牙齿健康产生负面影响。

美白牙贴的本质是“漂白”,会损伤牙龈及牙釉质
四、日常牙齿美白,还需自身多注意
陆博在这里提醒大家, 如果你牙齿健康,也不想额外做美白项目, 那确保每天至少刷牙两次、饭后漱口、使用含氟牙膏,就是日常美白牙齿的最好途径。
如果你的黄牙单纯是因为牙石、烟斑、茶垢,则需要 定期(每半年或一年)洗牙 ,少喝茶、咖啡等深色饮料,饭后勤漱口, 一定要戒烟。

勤刷牙勤漱口,日常牙齿美白最佳手段
大家还有任何关于牙齿美白想咨询的问题, 都可以在评论区留言互动哦~!
还想了解
「拔牙 洗牙 种牙」等
更多口腔健康小知识吗?
关注我的头条号就告诉你!
知识不易,且看且记哈~