在以往人们的观念中,认为矫正牙齿要等到十二岁,殊不知,这个观念是错误的,耽误了很多孩子,给他们带来了莫大的遗憾。有一些畸形是需要早期治疗的,也就是在乳牙期(4岁左右)或者替牙期(7岁左右)就需要治疗的。

哪些畸形需要早期治疗呢?
1.反颌
俗称“地包天”,即下牙齿包住上牙齿。“地包天”不仅影响面容美观、影响发音,还会导致咀嚼功能下降,加重胃肠负担。“地包天”畸形会随着孩子年龄的增加越来越严重,极其严重者,需要正颌手术才可以解决。因此,“地包天”一定要早期矫治。

2.偏颌
由于牙齿磨耗不均匀或者孩子偏侧咀嚼,引起上下牙列中线不一致、双侧脸型不对称,严重影响美观和心理健康。“偏颌”也会随着年龄增加而加重,严重者也需要正颌手术治疗。因此,“偏颌”也要尽量早期矫治。


3.上牙前突
俗称“大龅牙”,“龅牙”即上颌牙齿过度前突,经常露在嘴唇外面。有“龅牙”的孩子在玩耍或体育活动时易引起外伤折断,而且“龅牙”非常影响美观,会造成孩子自卑心理,极大程度地影响了孩子的学业和社交,应及时矫正。

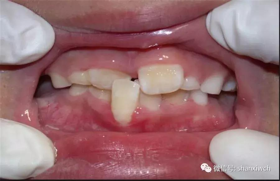
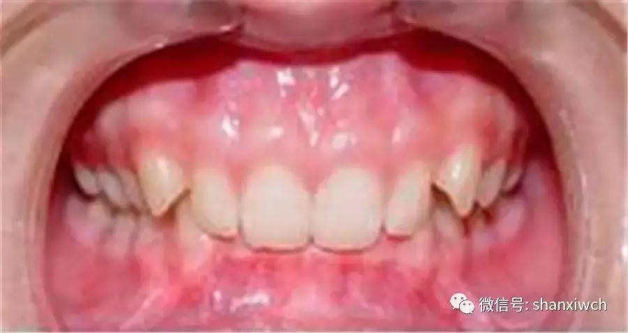
4.个别牙反颌
即个别门牙或两颗牙反颌。其危害是有可能导致儿童成长到30至40岁时出现颞下颌关节紊乱病;个别反颌的牙齿出现咬合创伤,导致过早脱落。

5.恒牙不萌出
或埋伏阻生
阻生牙是指牙齿部分萌出或完全不能萌出,并且以后也不能萌出的牙。儿童期门牙多见。可通过助萌或牵引等方法改善。

6.口腔
不良习惯
口腔不良习惯主要有:咬嘴唇、吮指、吐舌、张嘴呼吸等等,如果这些习惯持续到3岁以后甚至更大的年龄,都会导致骨骼和牙齿的错颌畸形,所以也应该及时来医院进行阻断矫治。



7.开合
即上下前牙没有咬合。开合的孩子由于前牙没有咬合,不能行使切割功能,影响发音和面容美观,还会引起颞下颌关节紊乱,必须尽早治疗。

8.个别牙扭转

9.深覆合
俗称“咬合深”

10.上中切牙
间隙




2011年,美国正畸协会在其颁布的儿童错颌畸形的早期矫治指南中明确提出:
当儿童出现替牙问题、咬合障碍、前牙反颌、前牙前突、口腔不良习惯、牙列拥挤或排列不齐、面部不对称、紧咬牙和夜磨牙等症状时,就应到专业医生处进行错颌畸形的咨询及矫治,并且儿童错颌畸形的检查不应迟于7岁。



儿童 早期矫治 错颌畸形有什么好处
1.上、下颌骨更协调的生长
2.避免因牙齿的前突造成前牙外伤
3.去除影响颅面牙合发育的口腔不良习惯
4.更早更好地改善面部美观
5.更好地引导恒牙的萌出与替换
6.更好地形成牙、唇及面部的协调和美观

述
我院口腔正畸团队给您几点建议
1.积极预防龋齿的发生,预防乳牙及恒牙早失,保持牙弓长度,可防止错颌发生。
2.拔除多生牙及滞留乳牙,预防恒牙错位萌出。
3.破除口腔各种不良习惯,阻断错颌。
4.重视和观察替牙期牙列拥挤。
5.尽早矫治妨碍牙、颌、面生长发育的畸形。