支气管扩张,其最主要的病因是炎症刺激(还包括先天遗传因素、免疫缺陷、异物吸入等原因,但相对少见,我们就不做相应赘述),长期的慢性炎症对支气管及其周围肺组织造成刺激,致使支气管壁肌肉和弹性组织破坏,支气管官腔形成不可逆转的扩张、变形,肌层和软骨遭到破坏后,会由纤维组织取代,致使管腔逐渐扩张,形成恶性循环。所以支气管扩张患者感冒后要及时就医,以免病情逐年加重。
(一)临床表现:简单总结为“咳嗽、咳脓痰、咯血”。
支气管扩张患者,慢性炎症刺激,纤毛柱状上皮鳞状化生(鳞状上皮化生在上次课程中提过,不明白的小伙伴可查阅),管腔内大量分泌物排出困难,便刺激人体咳嗽,痰液排出困难,积聚形成脓痰,血管遍布全身组织,包括支气管壁,管壁扩张牵拉血管,致使血管变形、管壁变薄,破裂后便引起咯血。也有个别患者发病部位位于肺部上叶,因引流好,几乎没有咳嗽、咳痰症状,仅有咯血,称为“干性支气管扩张”。
(二)体征:早期患者及上面提到的干性支气管扩张患者,肺部听诊可无明显异常。较为典型的患者可在病变部位听到固定、持久、局限性的湿罗音(似小水泡爆裂声),异物吸入的患者因气道受阻变窄,可闻及哮鸣音(似吹哨声)。病史较长,缺氧较重患者,可见杵状指/趾(手指或足趾末端增生、肥厚、呈杵状膨大)。

正常手指

杵状指
(三)诊断:
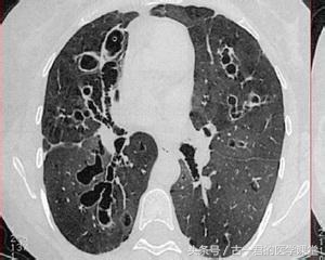
(1)胸部射线检查(为较常用诊断方法,包括胸部X线检查、胸部CT、MRI等):可见肺纹理增粗紊乱,典型表现“蜂窝状”、“卷发状”阴影(正常支气管如同树根,向下越分越细,支气管扩张后向下本应逐渐变细的细支气管扩张,形成上述阴影,如下图)。但因胸部X线检查对中末细支气管观察存在局限,CT为断层扫描,也存在遗漏病变部位的情况,所以引申出了支气管造影检查。

气管、支气管、细支气管结构图

支气管扩张
(2)支气管造影:

支气管造影
上图是一张支气管造影图片,支气管情况一目了然,可现实支气管扩张的部位、范围,为手术提供重要参考价值,故被称为支气管扩张诊断“金标准”。
但造影肯定会用到造影剂,属于有创性检查,所以X线或CT、MRI能确诊的不建议做支气管造影。
(3)支气管镜检查:在可视情况下可观察支气管病变,抽排分泌物,发现出血部位进行止血,但由于支气管镜有一定粗细,对于较远端的病变不易直接窥见,所以此检查存在一定局限性。
(四)治疗(预防和发病治疗):
(1)预防为主:积极预防呼吸道感染,增强体质,提高机体免疫力,改善生活习惯:戒烟、避免尘埃吸入等;
(2)治疗以控制感染为主:而清除痰液是控制感染的关键,可通过机器吸痰或体位引流(水往低处流,体位引流即患侧肺在上侧卧,通过重力作用,给分泌物一个向下的力,促使痰液排出,干性支气管扩张就是这个原理),但要注意,若合并咯血,应先止血,体位正好与之前相反,患侧肺在下侧卧,限制出血肺活动度,利用对侧肺代偿呼吸!!!
(3)对症治疗:痰液粘稠不易可出者应用祛痰剂,如氨溴索、溴已新,或者雾化吸入稀释痰液促排痰;因支气管痉挛痰液排出困难者可适当使用支气管舒张剂,但咯血患者禁用,会加重出血;咯血患者出血量少者需做好心理疏导,让患者镇静并予以止血药物,大咯血患者首要环节是防止患者窒息,应迅速清除口腔及呼吸道积血,必要时紧急插管抽排积血,同时予以止血治疗,内科止血无效者,可行支气管动脉造影,找到出血部位止血,或急症手术治疗。切记大咯血为危急重症,莫在家自行处理,及时就医,为抢救赢得宝贵时间。
谢谢大家的关注,有不明白的大家可以提出来,一起研究讨论互相学习。